tel 400-6027-270
Main Image
Anti-Rab5 兔多克隆抗体
¥1900
加入对比
货号: K1333312-100
预测分子量: 24 kDa
观测分子量: 24 kDa
亚细胞定位: 细胞质, 细胞膜
别名: Rab5a,NnyRab5a,Ubiquitin-protein ligase D3
应用 | 种属
WB H,M,R
IHC/IF H
规格:
产品信息
蛋白质全称 Ras相关蛋白Rab-5A
别名 Rab5a,NnyRab5a,Ubiquitin-protein ligase D3
Uniprot ID P20339
免疫原 KLH偶联的人Rab5合成肽
抗体亚型 IgG
纯化方式 亲和纯化
亚细胞定位 细胞质, 细胞膜
预测分子量./观测分子量. 24 kDa / 24 kDa
应用
WB 免疫印迹
物种:人,小鼠,大鼠
稀释比:1:500-1:1000
阳性样品:—
IHC/IF 免疫组织化学/免疫荧光
物种:人
稀释比:1:500-1:2000
阳性样品:肺, 肺癌
背景
Rab5 is a 24 kDa GTP-binding protein that regulates the fusion of plasma membrane -derived clathrin-coated vesicles with early endosomes, and homotypic fusion among early endosomes1. Localized to the cytoplasmic side of the plasma membrane, clathrin -coated vesicles and early endosomes, Rab5 appears to regulate vesicle fusion through a cycle of GDP/GTP e xchange and GTP hydrolysis. The different guanine nucleotide binding states of Rab5 may affect its ability to associate or dissociate with membranes during endocytotic membrane traffic.
储存条件
储存条件:储存条件在:-20℃下储存一年, 避免反复冻融.
储存缓冲液:含0.15% ProClin300防腐剂, 100 μg/mL牛血清白蛋白和50%甘油的磷酸盐缓冲液.
图像
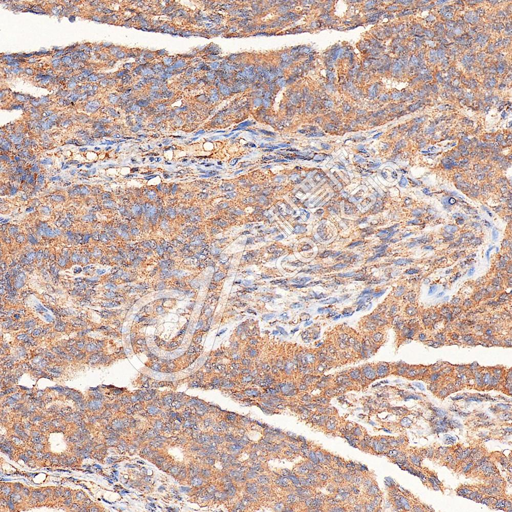
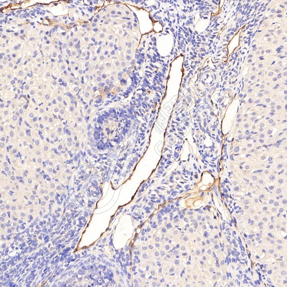
IHC检测Rab5蛋白(货号 K1333312).
样品: 人肺癌, 4%多聚甲醛 (货号KSG1101) 固定12-24小时.
抗原修复: 柠檬酸抗原修复液(干粉, pH 6.0) (KSG1201), 98℃, 20分钟.
—抗: 1: 1300稀释, 4℃ 孵育过夜.
二抗: S-vision免疫组化多聚二抗(山羊抗兔),即用型 (货号KB3906), 室温孵育20分钟.
IHC检测Rab5蛋白(货号 K1333312).
样品: 人肺, 4%多聚甲醛 (货号KSG1101) 固定12-24小时.
抗原修复: 柠檬酸抗原修复液(干粉, pH 6.0) (KSG1201), 98℃, 20分钟.
—抗: 1: 1300稀释, 4℃ 孵育过夜.
二抗: S-vision免疫组化多聚二抗(山羊抗兔),即用型 (货号KB3906), 室温孵育20分钟.

需要技术支持?

如果您有任何问题或如果您在实验过程中遇到问题,或需要更详细的技术指导,请联系我们的技术支持团队
电话 400-6027-270

联系我们

如果您对我们的公司或产品有任何疑问,欢迎随时联系我们