tel 400-6027-270
Main Image
Anti-Cyclin D1 兔多克隆抗体
¥1900
加入对比
货号: K1334116-100
预测分子量: 33 kDa
观测分子量: 33 kDa
亚细胞定位: 细胞核, 细胞质, 核膜
别名: Ccnd1,Cyl-1,B-cell lymphoma 1 protein,BCL-1,Parathyroid adenomatosis 1,PRAD1,BCL1,CCND1,D11S287E,U21B31,cyclin D1
应用 | 种属
WB H,M,R
IHC/IF M,R
规格:
产品信息
蛋白质全称 G1/S期特异性周期蛋白D1
别名 Ccnd1,Cyl-1,B-cell lymphoma 1 protein,BCL-1,Parathyroid adenomatosis 1,PRAD1,BCL1,CCND1,D11S287E,U21B31,cyclin D1
Uniprot ID P25322
免疫原 KLH偶联的小鼠Cyclin D1合成肽
抗体亚型 IgG
纯化方式 亲和纯化
亚细胞定位 细胞核, 细胞质, 核膜
预测分子量./观测分子量. 33 kDa / 33 kDa
应用
WB 免疫印迹
物种:人,小鼠,大鼠
稀释比:1:300-1:800
阳性样品:—
IHC/IF 免疫组织化学/免疫荧光
物种:小鼠,大鼠
稀释比:1:600-1:1200
阳性样品:结肠, 皮肤
背景
The protein belongs to the highly conserved cyclin family, whose members are characterized by a dramatic periodicity in protein abundance throughout the cell cycle. Cyclins function as regulators of CDKs (Cyclin-dependent kinase). Different cyclins exhibit distinct expression and degradation patterns which contribute to the temporal coordination of each mitotic event. This cyclin forms a complex with and functions as a regulatory subunit of CDK4 or CDK6, whose activity is required for cell cycle G1/S transition. This protein has been shown to interact with tumor suppressor protein Rb and the expression of this gene is regulated positively by Rb.
储存条件
储存条件:储存条件在:-20℃下储存一年, 避免反复冻融.
储存缓冲液:含0.15% ProClin300防腐剂, 100 μg/mL牛血清白蛋白和50%甘油的磷酸盐缓冲液.
图像
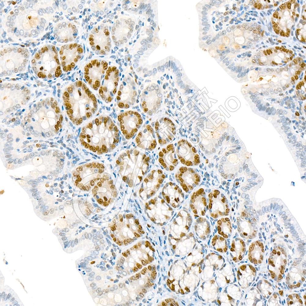
IHC检测Cyclin D1蛋白(货号 K1334116).
样品: 小鼠结肠, 4%多聚甲醛 (货号KSG1101) 固定12-24小时.
抗原修复: Tris-EDTA抗原修复液(pH 9.0) (KSG1203), 98℃, 20分钟.
—抗: 1: 900稀释, 4℃ 孵育过夜.
二抗: S-vision免疫组化多聚二抗(山羊抗兔),即用型 (货号KB3906), 室温孵育20分钟.
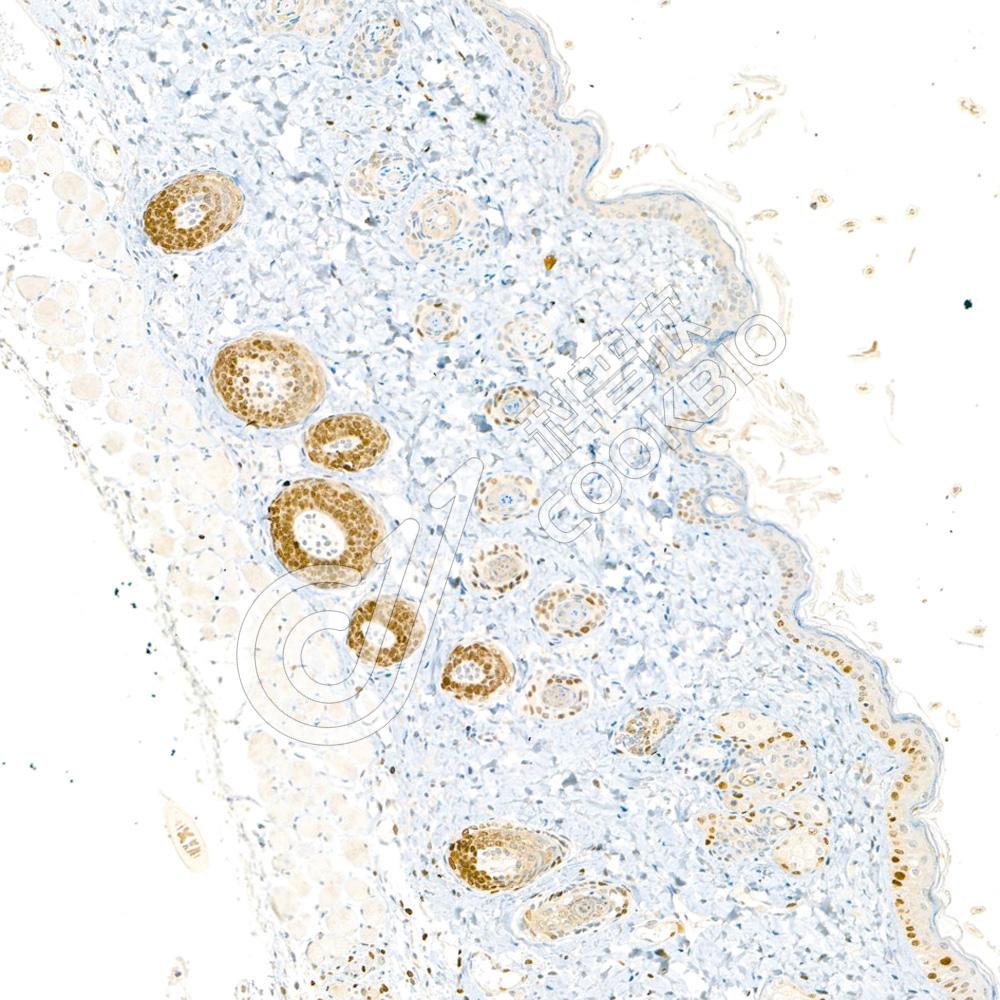
IHC检测Cyclin D1蛋白(货号 K1334116).
样品: 小鼠皮肤, 4%多聚甲醛 (货号KSG1101) 固定12-24小时.
抗原修复: Tris-EDTA抗原修复液(pH 9.0) (KSG1203), 98℃, 20分钟.
—抗: 1: 900稀释, 4℃ 孵育过夜.
二抗: S-vision免疫组化多聚二抗(山羊抗兔),即用型 (货号KB3906), 室温孵育20分钟.
IHC检测Cyclin D1蛋白(货号 K1334116).
样品: 大鼠结肠, 4%多聚甲醛 (货号KSG1101) 固定12-24小时.
抗原修复: Tris-EDTA抗原修复液(pH 9.0) (KSG1203), 98℃, 20分钟.
—抗: 1: 900稀释, 4℃ 孵育过夜.
二抗: S-vision免疫组化多聚二抗(山羊抗兔),即用型 (货号KB3906), 室温孵育20分钟.

需要技术支持?

如果您有任何问题或如果您在实验过程中遇到问题,或需要更详细的技术指导,请联系我们的技术支持团队
电话 400-6027-270

联系我们

如果您对我们的公司或产品有任何疑问,欢迎随时联系我们