tel 400-6027-270
Main Image
Anti-CDK4 兔多克隆抗体
¥1900
加入对比
货号: K133714-2-100
亚细胞定位: 细胞质, 细胞核, 膜
别名: Cell division protein kinase 4,PSK-J3,CDK4,Crk3,Cyclin dependent kinase 4,MGC14458,p34 cdk4,PSK-J3,CMM3,cyclin-dependent
应用 | 种属
IHC/IF H,R
规格:
产品信息
蛋白质全称 细胞周期蛋白依赖性激酶4
别名 Cell division protein kinase 4,PSK-J3,CDK4,Crk3,Cyclin dependent kinase 4,MGC14458,p34 cdk4,PSK-J3,CMM3,cyclin-dependent
Uniprot ID P30285
免疫原 KLH偶联的小鼠CDK4合成肽
抗体亚型 IgG
纯化方式 亲和纯化
亚细胞定位 细胞质, 细胞核, 膜
应用
IHC/IF 免疫组织化学/免疫荧光
物种:人,大鼠
稀释比:1:100-1:200
阳性样品:乳腺癌, 结肠, 卵巢
背景
CDK4 is a member of the Ser/Thr protein kinase family. This protein is highly similar to the gene products of S. cerevisiae cdc28 and S. pombe cdc2. It is a catalytic subunit of the protein kinase complex that is important for cell cycle G1 phase progression.
储存条件
储存条件:储存条件在:-20℃下储存一年, 避免反复冻融.
储存缓冲液:含0.15% ProClin300防腐剂, 100 μg/mL牛血清白蛋白和50%甘油的磷酸盐缓冲液.
图像
IHC检测CDK4蛋白(货号 K133714-2).
样品: 人乳腺癌, 4%多聚甲醛 (货号KSG1101) 固定12-24小时.
抗原修复: 柠檬酸抗原修复液(干粉, pH 6.0) (KSG1201), 98℃, 20分钟.
—抗: 1: 200稀释, 4℃ 孵育过夜.
二抗: S-vision免疫组化多聚二抗(山羊抗兔),即用型 (货号KB3906), 室温孵育20分钟.
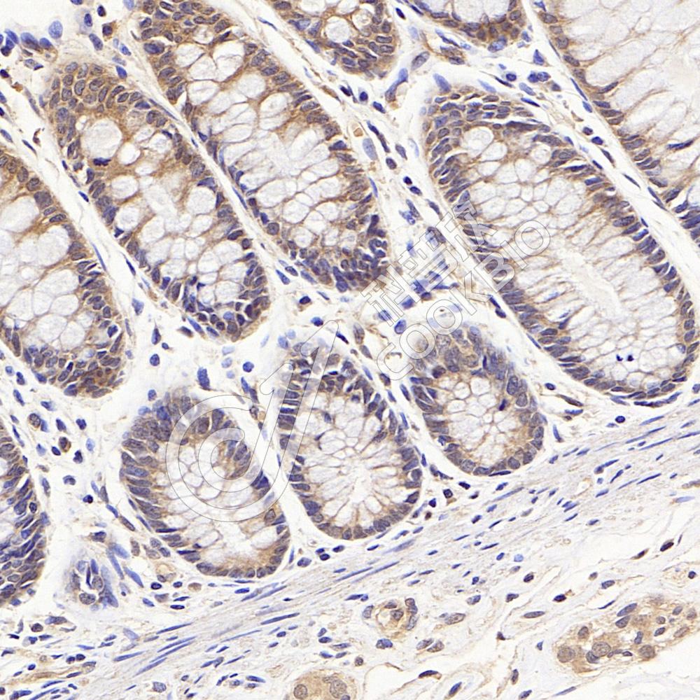
IHC检测CDK4蛋白(货号 K133714-2).
样品: 人结肠, 4%多聚甲醛 (货号KSG1101) 固定12-24小时.
抗原修复: 柠檬酸抗原修复液(干粉, pH 6.0) (KSG1201), 98℃, 20分钟.
—抗: 1: 200稀释, 4℃ 孵育过夜.
二抗: S-vision免疫组化多聚二抗(山羊抗兔),即用型 (货号KB3906), 室温孵育20分钟.
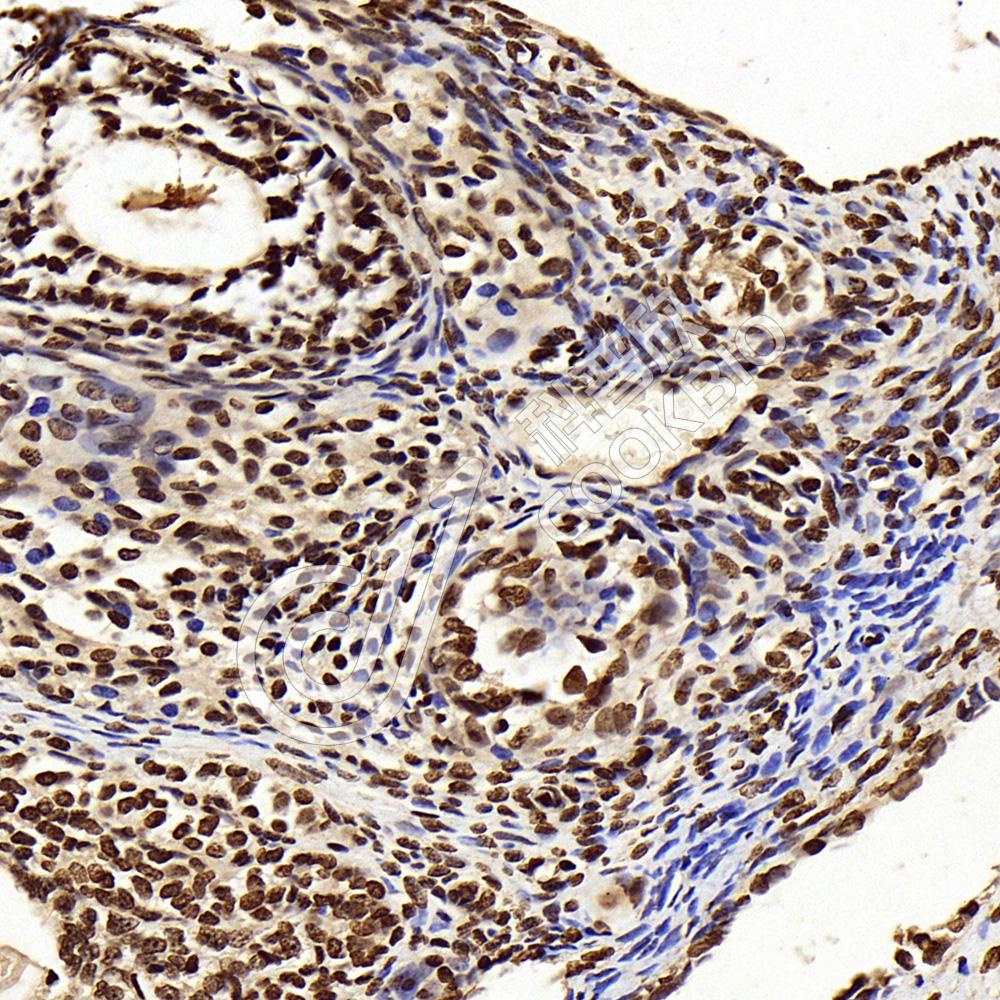
IHC检测CDK4蛋白(货号 K133714-2).
样品: 大鼠卵巢, 4%多聚甲醛 (货号KSG1101) 固定12-24小时.
抗原修复: 柠檬酸抗原修复液(干粉, pH 6.0) (KSG1201), 98℃, 20分钟.
—抗: 1: 200稀释, 4℃ 孵育过夜.
二抗: S-vision免疫组化多聚二抗(山羊抗兔),即用型 (货号KB3906), 室温孵育20分钟.

需要技术支持?

如果您有任何问题或如果您在实验过程中遇到问题,或需要更详细的技术指导,请联系我们的技术支持团队
电话 400-6027-270

联系我们

如果您对我们的公司或产品有任何疑问,欢迎随时联系我们