tel 400-6027-270
Main Image
Anti-14-3-3 zeta 兔多克隆抗体
¥1900
加入对比
货号: K1333069-100
预测分子量: 28 kDa
观测分子量: 28 kDa
亚细胞定位: 细胞质
别名: Protein kinase C inhibitor protein 1,KCIP-1,SEZ-2,Ywhaz,14-3-3 Delta,14-3-3 Zeta
应用 | 种属
WB H,M,R
IHC/IF M,R
规格:
产品信息
蛋白质全称 14-3-3蛋白ζ/δ亚型
别名 Protein kinase C inhibitor protein 1,KCIP-1,SEZ-2,Ywhaz,14-3-3 Delta,14-3-3 Zeta
Uniprot ID P63101
免疫原 小鼠14-3-3 zeta重组蛋白
抗体亚型 IgG
纯化方式 亲和纯化
亚细胞定位 细胞质
预测分子量./观测分子量. 28 kDa / 28 kDa
应用
WB 免疫印迹
物种:人,小鼠,大鼠
稀释比:1:500-1:1000
阳性样品:脑
IHC/IF 免疫组织化学/免疫荧光
物种:小鼠,大鼠
稀释比:1:500-1:2000
阳性样品:脑
背景
YWHAZ belongs to the 14-3-3 family of proteins which are in charge for checkpoint control, apoptotic & nutrient sensing pathways as well as signal transduction by binding to phosphoserine-containing proteins. This highly conserved and ubiquitously expressed protein family is found in both plants and mammals, and this protein is 99% identical to the mouse, rat and sheep orthologs. It interacts with IRS1 protein,signifying a role in regulating insulin. YWHAZ function as an adapter protein involved in the regulation of a large spectrum of both general and specialized signaling pathway.
储存条件
储存条件:储存条件在:-20℃下储存一年, 避免反复冻融.
储存缓冲液:含0.15% ProClin300防腐剂, 100 μg/mL牛血清白蛋白和50%甘油的磷酸盐缓冲液.
图像
WB检测14-3-3 zeta蛋白(货号 K1333069).
样品: 经RIPA裂解液(货号KSG2002)处理的蛋白质.
封闭: 3%脱脂牛奶(货号KSGC310001)溶于TBST溶液, 室温孵育1小时.
—抗: 1: 1000稀释, 4℃ 孵育过夜.
二抗: HRP标记山羊抗兔IgG (H+L) (货号KB69909), 1: 5000稀释, 室温孵育1小时.
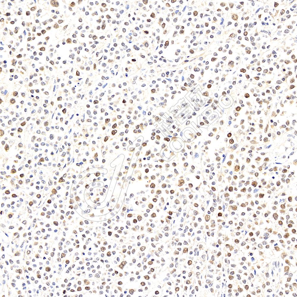
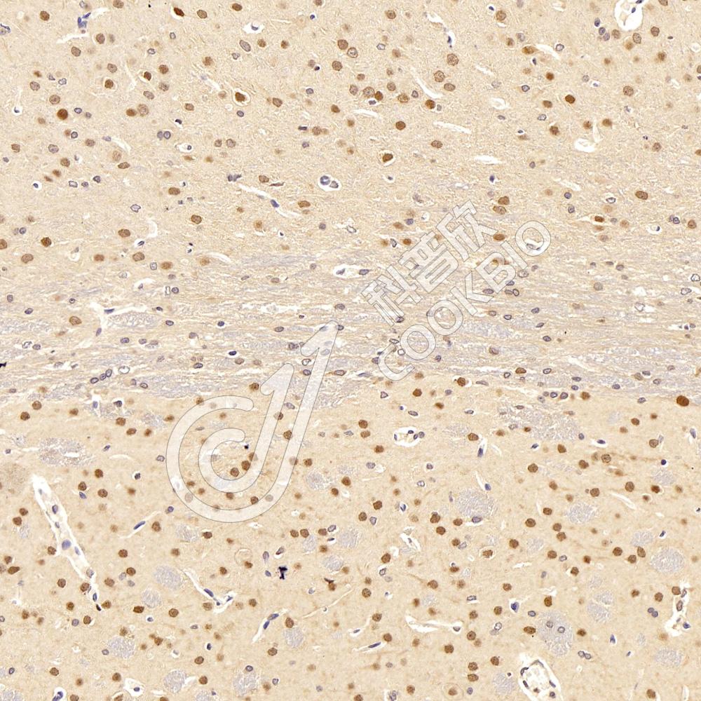
IHC检测14-3-3 zeta蛋白(货号 K1333069).
样品: 小鼠脑, 4%多聚甲醛 (货号KSG1101) 固定12-24小时.
抗原修复: 柠檬酸抗原修复液(干粉, pH 6.0) (KSG1201), 98℃, 20分钟.
—抗: 1: 1300稀释, 4℃ 孵育过夜.
二抗: S-vision免疫组化多聚二抗(山羊抗兔),即用型 (货号KB3906), 室温孵育20分钟.
IHC检测14-3-3 zeta蛋白(货号 K1333069).
样品: 大鼠脑, 4%多聚甲醛 (货号KSG1101) 固定12-24小时.
抗原修复: 柠檬酸抗原修复液(干粉, pH 6.0) (KSG1201), 98℃, 20分钟.
—抗: 1: 1300稀释, 4℃ 孵育过夜.
二抗: S-vision免疫组化多聚二抗(山羊抗兔),即用型 (货号KB3906), 室温孵育20分钟.

需要技术支持?

如果您有任何问题或如果您在实验过程中遇到问题,或需要更详细的技术指导,请联系我们的技术支持团队
电话 400-6027-270

联系我们

如果您对我们的公司或产品有任何疑问,欢迎随时联系我们