tel 400-6027-270
Main Image
Anti-Chk2 兔多克隆抗体
¥1900
加入对比
货号: K134725-100
预测分子量: 61 kDa
观测分子量: 61 kDa
亚细胞定位: 细胞核
别名: CHEK2,CDS1,CHK2,HuCds1,LFS2,PP1425,RAD53,hCds1,Checkpoint kinase 2
应用 | 种属
WB H,M,R
IHC/IF H,M,R
规格:
产品信息
蛋白质全称 丝氨酸/苏氨酸蛋白激酶Chk2
别名 CHEK2,CDS1,CHK2,HuCds1,LFS2,PP1425,RAD53,hCds1,Checkpoint kinase 2
Uniprot ID Q9Z265
免疫原 小鼠Chk2重组蛋白
抗体亚型 IgG
纯化方式 亲和纯化
亚细胞定位 细胞核
预测分子量./观测分子量. 61 kDa / 61 kDa
应用
WB 免疫印迹
物种:人,小鼠,大鼠
稀释比:1:500-1:1000
阳性样品:肾
IHC/IF 免疫组织化学/免疫荧光
物种:人,小鼠,大鼠
稀释比:1:500-1:2000
阳性样品:结肠
背景
CHEK2 (Checkpoint kinase 2) is a tumor suppressor gene that encodes the protein CHK2, a serine-threonine kinase. CHK2 regulates cell division, and has the ability to prevent cells from dividing too rapidly or in an uncontrolled manner, So CHK2 is mainly involved in DNA repair, cell cycle arrest or apoptosis in response to DNA damage. When DNA undergoes a double-strand break, CHK2 is activated. Specifically, DNA damage-activated phosphatidylinositol kinase family protein (PIKK) ATM phosphorylates site Thr68 and activates CHK2.
储存条件
储存条件:储存条件在:-20℃下储存一年, 避免反复冻融.
储存缓冲液:含0.15% ProClin300防腐剂, 100 μg/mL牛血清白蛋白和50%甘油的磷酸盐缓冲液.
图像
WB检测Chk2蛋白(货号 K134725).
样品: 经RIPA裂解液(货号KSG2002)处理的蛋白质.
封闭: 3%脱脂牛奶(货号KSGC310001)溶于TBST溶液, 室温孵育1小时.
—抗: 1: 500稀释, 4℃ 孵育过夜.
二抗: HRP标记山羊抗兔IgG (H+L) (货号KB69909), 1: 5000稀释, 室温孵育1小时.
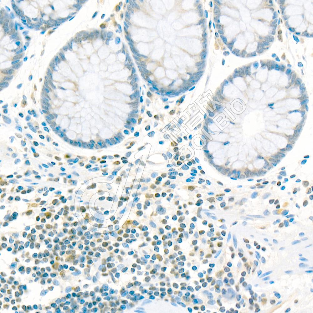
IHC检测Chk2蛋白(货号 K134725).
样品: 人结肠, 4%多聚甲醛 (货号KSG1101) 固定12-24小时.
抗原修复: Tris-EDTA抗原修复液(pH 9.0) (KSG1203), 98℃, 20分钟.
—抗: 1: 1300稀释, 4℃ 孵育过夜.
二抗: S-vision免疫组化多聚二抗(山羊抗兔),即用型 (货号KB3906), 室温孵育20分钟.
IHC检测Chk2蛋白(货号 K134725).
样品: 小鼠结肠, 4%多聚甲醛 (货号KSG1101) 固定12-24小时.
抗原修复: Tris-EDTA抗原修复液(pH 9.0) (KSG1203), 98℃, 20分钟.
—抗: 1: 1300稀释, 4℃ 孵育过夜.
二抗: S-vision免疫组化多聚二抗(山羊抗兔),即用型 (货号KB3906), 室温孵育20分钟.

需要技术支持?

如果您有任何问题或如果您在实验过程中遇到问题,或需要更详细的技术指导,请联系我们的技术支持团队
电话 400-6027-270

联系我们

如果您对我们的公司或产品有任何疑问,欢迎随时联系我们