tel 400-6027-270
Main Image
Anti-Dlx4/BP1 兔多克隆抗体
¥1900
加入对比
货号: K1335778-100
亚细胞定位: 细胞核
别名: Homeobox protein DLX-7,Dlx4,Dlx7,Beta protein 1,BP1,Distal less homeo box 9,DLX9
应用 | 种属
IHC/IF H
规格:
产品信息
蛋白质全称 同源框蛋白DLX-4
别名 Homeobox protein DLX-7,Dlx4,Dlx7,Beta protein 1,BP1,Distal less homeo box 9,DLX9
Uniprot ID P70436
免疫原 小鼠Dlx4重组蛋白
抗体亚型 IgG
纯化方式 亲和纯化
亚细胞定位 细胞核
应用
IHC/IF 免疫组织化学/免疫荧光
物种:人
稀释比:1:500-1:2000
阳性样品:胎盘
背景
Many vertebrate homeo box-containing genes have been identified on the basis of their sequence similarity with Drosophila developmental genes. Members of the Dlx gene family contain a homeobox that is related to that of Distal-less (Dll), a gene expressed in the head and limbs of the developing fruit fly. The Distal-less (Dlx) family of genes comprises at least 6 different members, DLX1-DLX6. The DLX proteins are postulated to play a role in forebrain and craniofacial development. Three transcript variants have been described for this gene, however, the full length nature of one variant has not been described.
储存条件
储存条件:储存条件在:-20℃下储存一年, 避免反复冻融.
储存缓冲液:含0.15% ProClin300防腐剂, 100 μg/mL牛血清白蛋白和50%甘油的磷酸盐缓冲液.
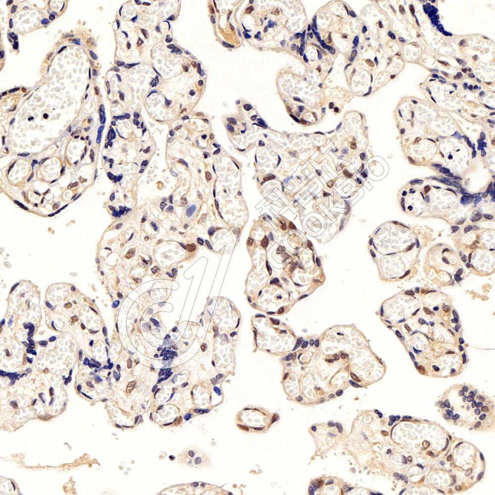
图像
IHC检测Dlx4/BP1蛋白(货号 K1335778).
样品: 人胎盘, 4%多聚甲醛 (货号KSG1101) 固定12-24小时.
抗原修复: Tris-EDTA抗原修复液(pH 9.0) (KSG1203), 98℃, 20分钟.
—抗: 1: 1300稀释, 4℃ 孵育过夜.
二抗: S-vision免疫组化多聚二抗(山羊抗兔),即用型 (货号KB3906), 室温孵育20分钟.

需要技术支持?

如果您有任何问题或如果您在实验过程中遇到问题,或需要更详细的技术指导,请联系我们的技术支持团队
电话 400-6027-270

联系我们

如果您对我们的公司或产品有任何疑问,欢迎随时联系我们