tel 400-6027-270
Main Image
Anti-MTHFD1 兔多克隆抗体
¥1900
加入对比
货号: K1336093-100
预测分子量: 101 kDa
观测分子量: 101 kDa
亚细胞定位: 细胞质
别名: C1-THF synthase,Mthfd1,C1TC,MTHFD,Cytoplasmic C 1 tetrahydrofolate synthase,Methylenetetrahydrofolate dehydrogenase
应用 | 种属
WB H,M,R
IHC/IF H
规格:
产品信息
蛋白质全称 胞质C-1四氢叶酸合成酶
别名 C1-THF synthase,Mthfd1,C1TC,MTHFD,Cytoplasmic C 1 tetrahydrofolate synthase,Methylenetetrahydrofolate dehydrogenase
Uniprot ID Q922D8
免疫原 小鼠MTHFD1重组蛋白
抗体亚型 IgG
纯化方式 亲和纯化
亚细胞定位 细胞质
预测分子量./观测分子量. 101 kDa / 101 kDa
应用
WB 免疫印迹
物种:人,小鼠,大鼠
稀释比:1:1000-1:2000
阳性样品:—
IHC/IF 免疫组织化学/免疫荧光
物种:人
稀释比:1:500-1:1400
阳性样品:肝, 肝癌
背景
This gene encodes a protein that possesses three distinct enzymatic activities, 5,10-methylenetetrahydrofolate dehydrogenase, 5,10-methenyltetrahydrofolate cyclohydrolase and 10-formyltetrahydrofolate synthetase. Each of these activities catalyzes one of three sequential reactions in the interconversion of 1-carbon derivatives of tetrahydrofolate, which are substrates for methionine, thymidylate, and de novo purine syntheses.
储存条件
储存条件:储存条件在:-20℃下储存一年, 避免反复冻融.
储存缓冲液:含0.15% ProClin300防腐剂, 100 μg/mL牛血清白蛋白和50%甘油的磷酸盐缓冲液.
图像
IHC检测MTHFD1蛋白(货号 K1336093).
样品: 人肝癌, 4%多聚甲醛 (货号KSG1101) 固定12-24小时.
抗原修复: 柠檬酸抗原修复液(干粉, pH 6.0) (KSG1201), 98℃, 20分钟.
—抗: 1: 1000稀释, 4℃ 孵育过夜.
二抗: S-vision免疫组化多聚二抗(山羊抗兔),即用型 (货号KB3906), 室温孵育20分钟.
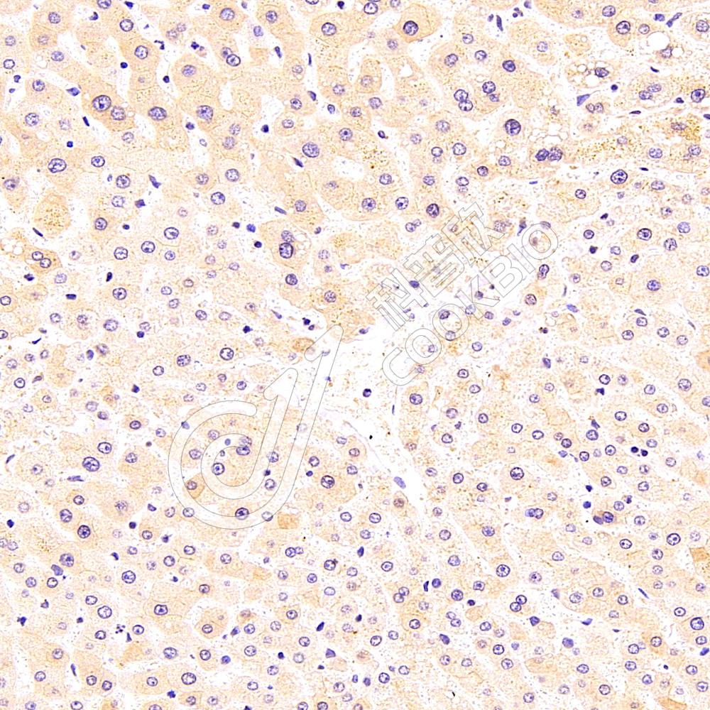
IHC检测MTHFD1蛋白(货号 K1336093).
样品: 人肝, 4%多聚甲醛 (货号KSG1101) 固定12-24小时.
抗原修复: 柠檬酸抗原修复液(干粉, pH 6.0) (KSG1201), 98℃, 20分钟.
—抗: 1: 1000稀释, 4℃ 孵育过夜.
二抗: S-vision免疫组化多聚二抗(山羊抗兔),即用型 (货号KB3906), 室温孵育20分钟.

需要技术支持?

如果您有任何问题或如果您在实验过程中遇到问题,或需要更详细的技术指导,请联系我们的技术支持团队
电话 400-6027-270

联系我们

如果您对我们的公司或产品有任何疑问,欢迎随时联系我们