tel 400-6027-270
Main Image
Anti-Arg2 兔多克隆抗体
¥1900
加入对比
货号: K1341088-100
预测分子量: 39 kDa
观测分子量: 39 kDa
亚细胞定位: 线粒体
别名: ARG2,Arginase 2,mitochondrial,arginase,type II,Kidney type arginase,Non hepatic arginase,Type II arginase
应用 | 种属
WB M,R
IHC/IF M
规格:
产品信息
蛋白质全称 精氨酸酶2(线粒体)
别名 ARG2,Arginase 2,mitochondrial,arginase,type II,Kidney type arginase,Non hepatic arginase,Type II arginase
Uniprot ID O08691
免疫原 KLH偶联的小鼠Arg2合成肽
抗体亚型 IgG
纯化方式 亲和纯化
亚细胞定位 线粒体
预测分子量./观测分子量. 39 kDa / 39 kDa
应用
WB 免疫印迹
物种:小鼠,大鼠
稀释比:1:300-1:600
阳性样品:—
IHC/IF 免疫组织化学/免疫荧光
物种:小鼠
稀释比:1:300-1:600
阳性样品:十二指肠, 心
背景
ARG2(Arginase-2, mitochondrial) is also named as kidney-type arginase, non-hepatic arginase and belongs to the arginase family. It may play a role in the regulation of extra-urea cycle arginine metabolism and also in down-regulation of nitric oxide synthesis.
储存条件
储存条件:储存条件在:-20℃下储存一年, 避免反复冻融.
储存缓冲液:含0.15% ProClin300防腐剂, 100 μg/mL牛血清白蛋白和50%甘油的磷酸盐缓冲液.
图像
IHC检测Arg2蛋白(货号 K1341088).
样品: 小鼠十二指肠, 4%多聚甲醛 (货号KSG1101) 固定12-24小时.
抗原修复: 柠檬酸抗原修复液(干粉, pH 6.0) (KSG1201), 98℃, 20分钟.
—抗: 1: 500稀释, 4℃ 孵育过夜.
二抗: S-vision免疫组化多聚二抗(山羊抗兔),即用型 (货号KB3906), 室温孵育20分钟.
Arg2_d500_WB
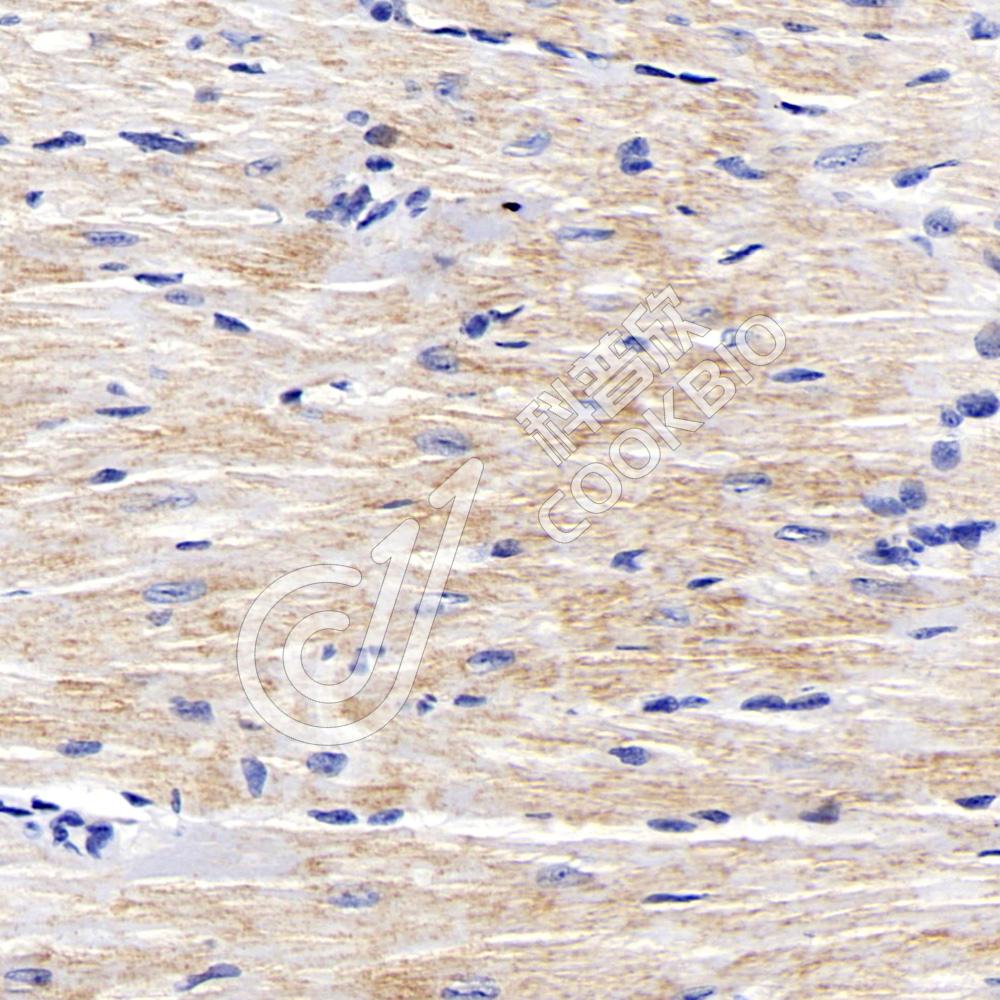
IHC检测Arg2蛋白(货号 K1341088).
样品: 小鼠心, 4%多聚甲醛 (货号KSG1101) 固定12-24小时.
抗原修复: 柠檬酸抗原修复液(干粉, pH 6.0) (KSG1201), 98℃, 20分钟.
—抗: 1: 500稀释, 4℃ 孵育过夜.
二抗: S-vision免疫组化多聚二抗(山羊抗兔),即用型 (货号KB3906), 室温孵育20分钟.

需要技术支持?

如果您有任何问题或如果您在实验过程中遇到问题,或需要更详细的技术指导,请联系我们的技术支持团队
电话 400-6027-270

联系我们

如果您对我们的公司或产品有任何疑问,欢迎随时联系我们