tel 400-6027-270
Main Image
Anti-GLS2 兔多克隆抗体
¥1900
加入对比
货号: K1335058-100
亚细胞定位: 线粒体
别名: GLS,L-glutaminase,L-glutamine amidohydrolase,LGA,Gls2,Kiaa4146,breast cell glutaminase,phosphate activated glutaminase,glutaminase GA
应用 | 种属
IHC/IF M,R
规格:
产品信息
蛋白质全称 线粒体谷氨酰胺酶肝型
别名 GLS,L-glutaminase,L-glutamine amidohydrolase,LGA,Gls2,Kiaa4146,breast cell glutaminase,phosphate activated glutaminase,glutaminase GA
Uniprot ID Q571F8
免疫原 小鼠GLS2重组蛋白
抗体亚型 IgG
纯化方式 亲和纯化
亚细胞定位 线粒体
应用
IHC/IF 免疫组织化学/免疫荧光
物种:小鼠,大鼠
稀释比:1:600-1:3500
阳性样品:肾
背景
The protein encoded by this gene is a mitochondrial phosphate-activated glutaminase that catalyzes the hydrolysis of glutamine to stoichiometric amounts of glutamate and ammonia. This protein is functionally similar to the kidney glutaminase but is a little smaller in size. Originally thought to be liver-specific, this protein has been found in other tissues as well. At least one transcribed pseudogene has been found for this gene.
储存条件
储存条件:储存条件在:-20℃下储存一年, 避免反复冻融.
储存缓冲液:含0.15% ProClin300防腐剂, 100 μg/mL牛血清白蛋白和50%甘油的磷酸盐缓冲液.
图像
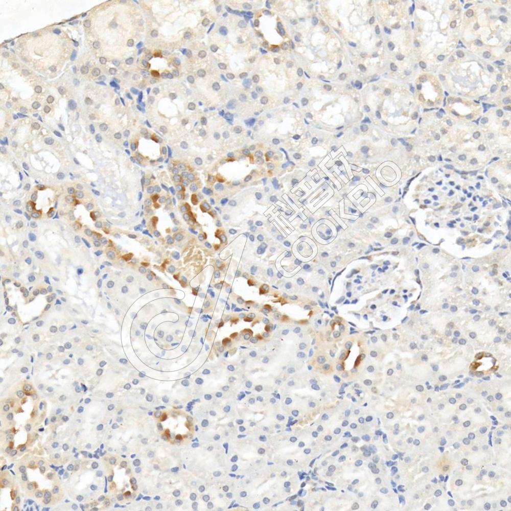
IHC检测GLS2蛋白(货号 K1335058).
样品: 小鼠肾, 4%多聚甲醛 (货号KSG1101) 固定12-24小时.
抗原修复: 柠檬酸抗原修复液(干粉, pH 6.0) (KSG1201), 98℃, 20分钟.
—抗: 1: 2100稀释, 4℃ 孵育过夜.
二抗: S-vision免疫组化多聚二抗(山羊抗兔),即用型 (货号KB3906), 室温孵育20分钟.
IHC检测GLS2蛋白(货号 K1335058).
样品: 大鼠肾, 4%多聚甲醛 (货号KSG1101) 固定12-24小时.
抗原修复: 柠檬酸抗原修复液(干粉, pH 6.0) (KSG1201), 98℃, 20分钟.
—抗: 1: 2100稀释, 4℃ 孵育过夜.
二抗: S-vision免疫组化多聚二抗(山羊抗兔),即用型 (货号KB3906), 室温孵育20分钟.

需要技术支持?

如果您有任何问题或如果您在实验过程中遇到问题,或需要更详细的技术指导,请联系我们的技术支持团队
电话 400-6027-270

联系我们

如果您对我们的公司或产品有任何疑问,欢迎随时联系我们