tel 400-6027-270
Main Image
Anti-IgM Chain C 兔多克隆抗体
¥1900
加入对比
货号: K1336120-100
预测分子量: 50 kDa
观测分子量: 72 kDa
亚细胞定位: 细胞膜, 分泌型
别名: Ighm,Igh-6,AGM1,Constant region of heavy chain of IgM,VH,MU
应用 | 种属
WB M,R
IHC/IF H,M,R
规格:
产品信息
蛋白质全称 免疫球蛋白重链恒定区μ
别名 Ighm,Igh-6,AGM1,Constant region of heavy chain of IgM,VH,MU
Uniprot ID P01872
免疫原 小鼠IgM Chain C重组蛋白
抗体亚型 IgG
纯化方式 亲和纯化
亚细胞定位 细胞膜, 分泌型
预测分子量./观测分子量. 50 kDa / 72 kDa
应用
WB 免疫印迹
物种:小鼠,大鼠
稀释比:1:500-1:1000
阳性样品:—
IHC/IF 免疫组织化学/免疫荧光
物种:人,小鼠,大鼠
稀释比:1:350-1:1500
阳性样品:霍奇金淋巴瘤, LPS诱导的脓毒症模型脾脏
背景
IgM antibodies play an important role in primary defense mechanisms. They have been shown to be involved in early recognition of external invaders like bacteria and viruses, cellular waste and modified self, as well as in recognition and elimination of precancerous and cancerous lesions.
储存条件
储存条件:储存条件在:-20℃下储存一年, 避免反复冻融.
储存缓冲液:含0.15% ProClin300防腐剂, 100 μg/mL牛血清白蛋白和50%甘油的磷酸盐缓冲液.
图像
IHC检测IgM Chain C蛋白(货号 K1336120).
样品: 小鼠LPS诱导的脓毒症模型脾脏, 4%多聚甲醛 (货号KSG1101) 固定12-24小时.
抗原修复: 柠檬酸抗原修复液(干粉, pH 6.0) (KSG1201), 98℃, 20分钟.
—抗: 1: 900稀释, 4℃ 孵育过夜.
二抗: S-vision免疫组化多聚二抗(山羊抗兔),即用型 (货号KB3906), 室温孵育20分钟.
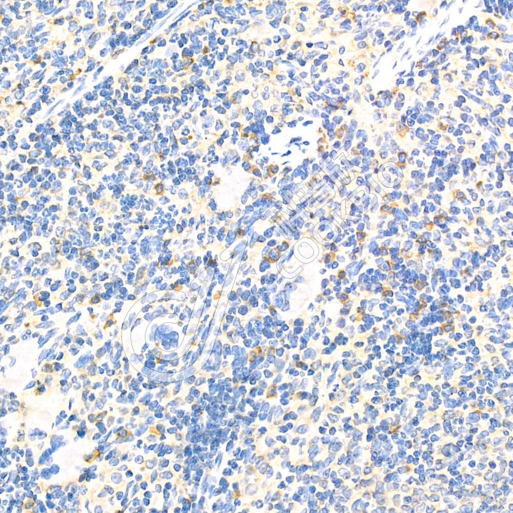
IHC检测IgM Chain C蛋白(货号 K1336120).
样品: 大鼠LPS诱导的脓毒症模型脾脏, 4%多聚甲醛 (货号KSG1101) 固定12-24小时.
抗原修复: 柠檬酸抗原修复液(干粉, pH 6.0) (KSG1201), 98℃, 20分钟.
—抗: 1: 900稀释, 4℃ 孵育过夜.
二抗: S-vision免疫组化多聚二抗(山羊抗兔),即用型 (货号KB3906), 室温孵育20分钟.
IF检测IgM Chain C蛋白(货号 K1336120)(红色).
样品: 人霍奇金淋巴瘤, 4%多聚甲醛 (货号KSG1101) 固定12-24小时.
抗原修复: Tris-EDTA抗原修复液(pH 9.0) (KSG1203), 98℃, 20分钟.
封闭: 3% BSA(货号KSGC305010)的PBS溶液, 室温孵育30分钟.
—抗: 1: 900稀释, 4℃ 孵育过夜.
二抗: Cy3标记山羊抗兔IgG (H+L) (货号KB63909), 1: 300稀释, 室温孵育1小时.

需要技术支持?

如果您有任何问题或如果您在实验过程中遇到问题,或需要更详细的技术指导,请联系我们的技术支持团队
电话 400-6027-270

联系我们

如果您对我们的公司或产品有任何疑问,欢迎随时联系我们