tel 400-6027-270
Main Image
Anti-HLA Class II DRB1 兔多克隆抗体
¥1900
加入对比
货号: K1346569-100
亚细胞定位: 细胞膜
别名: DR4,DRB1,DW2.2/DR2.2,HLA DR1B,HLA DRB,HLA DRB1,HLA DRB1*,HLA DRB2,HLA-DRB1,MHC class II antigen DRB1*15,SS1
应用 | 种属
IHC/IF H
规格:
产品信息
蛋白质全称 HLA II类组织相容性抗原DRB1 β链
别名 DR4,DRB1,DW2.2/DR2.2,HLA DR1B,HLA DRB,HLA DRB1,HLA DRB1*,HLA DRB2,HLA-DRB1,MHC class II antigen DRB1*15,SS1
Uniprot ID P01911
免疫原 KLH偶联的人HLA Class II DRB1合成肽
抗体亚型 IgG
纯化方式 亲和纯化
亚细胞定位 细胞膜
应用
IHC/IF 免疫组织化学/免疫荧光
物种:人
稀释比:1:300-1:600
阳性样品:结肠, 肝
背景
A beta chain of antigen-presenting major histocompatibility complex class II (MHCII) molecule. In complex with the alpha chain HLA-DRA, displays antigenic peptides on professional antigen presenting cells (APCs) for recognition by alpha-beta T cell receptor (TCR) on HLA-DRB1-restricted CD4-positive T cells. This guides antigen-specific T-helper effector functions, both antibody-mediated immune response and macrophage activation, to ultimately eliminate the infectious agents and transformed cells Typically presents extracellular peptide antigens of 10 to 30 amino acids that arise from proteolysis of endocytosed antigens in lysosomes In the tumor microenvironment, presents antigenic peptides that are primarily generated in tumor-resident APCs likely via phagocytosis of apoptotic tumor cells or macropinocytosis of secreted tumor proteins
储存条件
储存条件:储存条件在:-20℃下储存一年, 避免反复冻融.
储存缓冲液:含0.15% ProClin300防腐剂, 100 μg/mL牛血清白蛋白和50%甘油的磷酸盐缓冲液.
图像
IHC检测HLA Class II DRB1蛋白(货号 K1346569).
样品: 人结肠, 4%多聚甲醛 (货号KSG1101) 固定12-24小时.
抗原修复: Tris-EDTA抗原修复液(pH 9.0) (KSG1203), 98℃, 20分钟.
—抗: 1: 500稀释, 4℃ 孵育过夜.
二抗: S-vision免疫组化多聚二抗(山羊抗兔),即用型 (货号KB3906), 室温孵育20分钟.
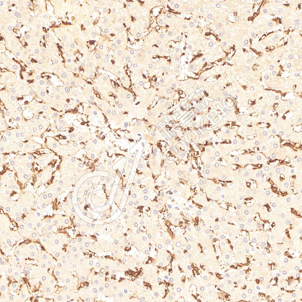
IHC检测HLA Class II DRB1蛋白(货号 K1346569).
样品: 人肝, 4%多聚甲醛 (货号KSG1101) 固定12-24小时.
抗原修复: Tris-EDTA抗原修复液(pH 9.0) (KSG1203), 98℃, 20分钟.
—抗: 1: 500稀释, 4℃ 孵育过夜.
二抗: S-vision免疫组化多聚二抗(山羊抗兔),即用型 (货号KB3906), 室温孵育20分钟.

需要技术支持?

如果您有任何问题或如果您在实验过程中遇到问题,或需要更详细的技术指导,请联系我们的技术支持团队
电话 400-6027-270

联系我们

如果您对我们的公司或产品有任何疑问,欢迎随时联系我们