tel 400-6027-270
Main Image
Anti-HRPT2/Parafibromin 兔多克隆抗体
¥1900
加入对比
货号: K1337587-100
亚细胞定位: 细胞核
别名: Cell division cycle protein 73 homolog,Hyperparathyroidism 2 protein homolog,Cdc73,C1orf28,FIHP,HYX,HRPT1,HRPT2,HPT JT
应用 | 种属
IHC/IF M
规格:
产品信息
蛋白质全称 Parafibromin蛋白
别名 Cell division cycle protein 73 homolog,Hyperparathyroidism 2 protein homolog,Cdc73,C1orf28,FIHP,HYX,HRPT1,HRPT2,HPT JT
Uniprot ID Q8JZM7
免疫原 KLH偶联的小鼠Parafibromin合成肽
抗体亚型 IgG
纯化方式 亲和纯化
亚细胞定位 细胞核
应用
IHC/IF 免疫组织化学/免疫荧光
物种:小鼠
稀释比:1:600-1:2000
阳性样品:脑, 睾丸
背景
Parafibromin is a product of the hyperparathyroidism-jaw tumor syndrome gene HRPT2/CDC73, a putative tumor suppressor gene recently implicated in the autosomal dominant hyperparathyroidism-jaw tumor familial cancer syndrome, sporadic parathyroid cancer, and a minority of families with isolated hyperparathyroidism . Defects in CDC73 are causes of hyperparathyroidism type 1 (HRPT1) and hyperparathyroidism type 2 (HRPT2) as well as parathyroid carcinoma (PRTC) .
储存条件
储存条件:储存条件在:-20℃下储存一年, 避免反复冻融.
储存缓冲液:含0.15% ProClin300防腐剂, 100 μg/mL牛血清白蛋白和50%甘油的磷酸盐缓冲液.
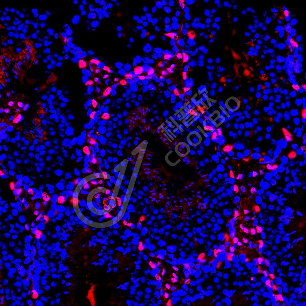
图像
IF检测HRPT2/Parafibromin蛋白(货号 K1337587)(红色).
样品: 小鼠脑, 4%多聚甲醛 (货号KSG1101) 固定12-24小时.
抗原修复: Tris-EDTA抗原修复液(pH 9.0) (KSG1203), 98℃, 20分钟.
封闭: 3% BSA(货号KSGC305010)的PBS溶液, 室温孵育30分钟.
—抗: 1: 1300稀释, 4℃ 孵育过夜.
二抗: Cy3标记山羊抗兔IgG (H+L) (货号KB63909), 1: 300稀释, 室温孵育1小时.
IF检测HRPT2/Parafibromin蛋白(货号 K1337587)(红色).
样品: 小鼠睾丸, 4%多聚甲醛 (货号KSG1101) 固定12-24小时.
抗原修复: Tris-EDTA抗原修复液(pH 9.0) (KSG1203), 98℃, 20分钟.
封闭: 3% BSA(货号KSGC305010)的PBS溶液, 室温孵育30分钟.
—抗: 1: 1300稀释, 4℃ 孵育过夜.
二抗: Cy3标记山羊抗兔IgG (H+L) (货号KB63909), 1: 300稀释, 室温孵育1小时.

需要技术支持?

如果您有任何问题或如果您在实验过程中遇到问题,或需要更详细的技术指导,请联系我们的技术支持团队
电话 400-6027-270

联系我们

如果您对我们的公司或产品有任何疑问,欢迎随时联系我们