tel 400-6027-270
Main Image
Anti-EVI1 兔多克隆抗体
¥1900
加入对比
货号: K1337740-100
预测分子量: 138 kDa
观测分子量: 118 kDa
亚细胞定位: 细胞质, 细胞核
别名: Ecotropic virus integration site 1 protein,EVI-1,MDS1 and EVI1 complex locus protein,Myelodysplasia syndrome 1 protein homolog,Mecom,Evi1,Mds1,Prdm3
应用 | 种属
WB H,M
IHC/IF M,R
规格:
产品信息
蛋白质全称 组蛋白赖氨酸N-甲基转移酶MECOM
别名 Ecotropic virus integration site 1 protein,EVI-1,MDS1 and EVI1 complex locus protein,Myelodysplasia syndrome 1 protein homolog,Mecom,Evi1,Mds1,Prdm3
Uniprot ID P14404
免疫原 KLH偶联的小鼠EVI1合成肽
抗体亚型 IgG
纯化方式 亲和纯化
亚细胞定位 细胞质, 细胞核
预测分子量./观测分子量. 138 kDa / 118 kDa
应用
WB 免疫印迹
物种:人,小鼠
稀释比:1:500-1:1000
阳性样品:—
IHC/IF 免疫组织化学/免疫荧光
物种:小鼠,大鼠
稀释比:1:700-1:4000
阳性样品:肾, 胃
背景
The protein encoded by this gene is a transcriptional regulator and oncoprotein that may be involved in hematopoiesis, apoptosis, development, and cell differentiation and proliferation. The encoded protein can interact with CTBP1, SMAD3, CREBBP, KAT2B, MAPK8, and MAPK9. This gene can undergo translocation with the AML1 gene, resulting in overexpression of this gene and the onset of leukemia. Several transcript variants encoding a few different isoforms have been found for this gene.
储存条件
储存条件:储存条件在:-20℃下储存一年, 避免反复冻融.
储存缓冲液:含0.15% ProClin300防腐剂, 100 μg/mL牛血清白蛋白和50%甘油的磷酸盐缓冲液.
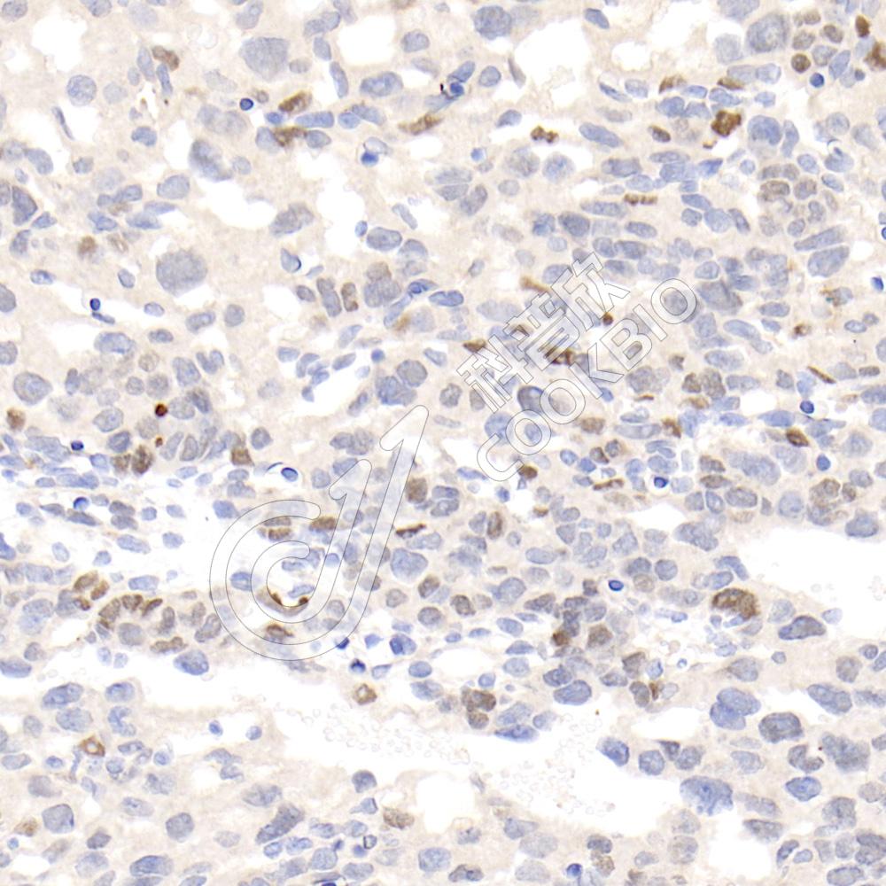
图像
IHC检测EVI1蛋白(货号 K1337740).
样品: 小鼠胃, 4%多聚甲醛 (货号KSG1101) 固定12-24小时.
抗原修复: 柠檬酸抗原修复液(干粉, pH 6.0) (KSG1201), 98℃, 20分钟.
—抗: 1: 2400稀释, 4℃ 孵育过夜.
二抗: S-vision免疫组化多聚二抗(山羊抗兔),即用型 (货号KB3906), 室温孵育20分钟.
IF检测EVI1蛋白(货号 K1337740)(红色).
样品: 大鼠肾, 4%多聚甲醛 (货号KSG1101) 固定12-24小时.
抗原修复: Tris-EDTA抗原修复液(pH 9.0) (KSG1203), 98℃, 20分钟.
封闭: 3% BSA(货号KSGC305010)的PBS溶液, 室温孵育30分钟.
—抗: 1: 2400稀释, 4℃ 孵育过夜.
二抗: Cy3标记山羊抗兔IgG (H+L) (货号KB63909), 1: 300稀释, 室温孵育1小时.

需要技术支持?

如果您有任何问题或如果您在实验过程中遇到问题,或需要更详细的技术指导,请联系我们的技术支持团队
电话 400-6027-270

联系我们

如果您对我们的公司或产品有任何疑问,欢迎随时联系我们