tel 400-6027-270
Main Image
Anti-c-Fos 小鼠单克隆抗体
¥1900
加入对比
货号: K236207-100
预测分子量: 41 kDa
观测分子量: 50-65 kDa
亚细胞定位: 细胞核, 内质网, 细胞质
别名: FOS,AP-1,C-p55,Fos proto-oncogene,AP-1 transcription factor subunit
应用 | 种属
WB H,M,R
IHC/IF H,M,R
规格:
产品信息
蛋白质全称 c-Fos蛋白
别名 FOS,AP-1,C-p55,Fos proto-oncogene,AP-1 transcription factor subunit
Uniprot ID P01100
免疫原 KLH偶联的人c-Fos合成肽
抗体亚型 IgG1, κ
克隆号 4B4F11
纯化方式 亲和纯化
亚细胞定位 细胞核, 内质网, 细胞质
预测分子量./观测分子量. 41 kDa / 50-65 kDa
应用
WB 免疫印迹
物种:人,小鼠,大鼠
稀释比:1:500-1:2000
阳性样品:—
IHC/IF 免疫组织化学/免疫荧光
物种:人,小鼠,大鼠
稀释比:1:200-1:2000
阳性样品:脑
背景
The Fos gene family consists of 4 members: FOS, FOSB, FOSL1, and FOSL2. These genes encode leucine zipper proteins that can dimerize with proteins of the JUN family, thereby forming the transcription factor complex AP-1. As such, the FOS proteins have been implicated as regulators of cell proliferation, differentiation, and transformation. In some cases, expression of the FOS gene has also been associated with apoptotic cell death.
储存条件
储存条件:储存条件在:-20℃下储存一年, 避免反复冻融.
储存缓冲液:含0.15% ProClin300防腐剂, 100 μg/mL牛血清白蛋白和50%甘油的磷酸盐缓冲液.
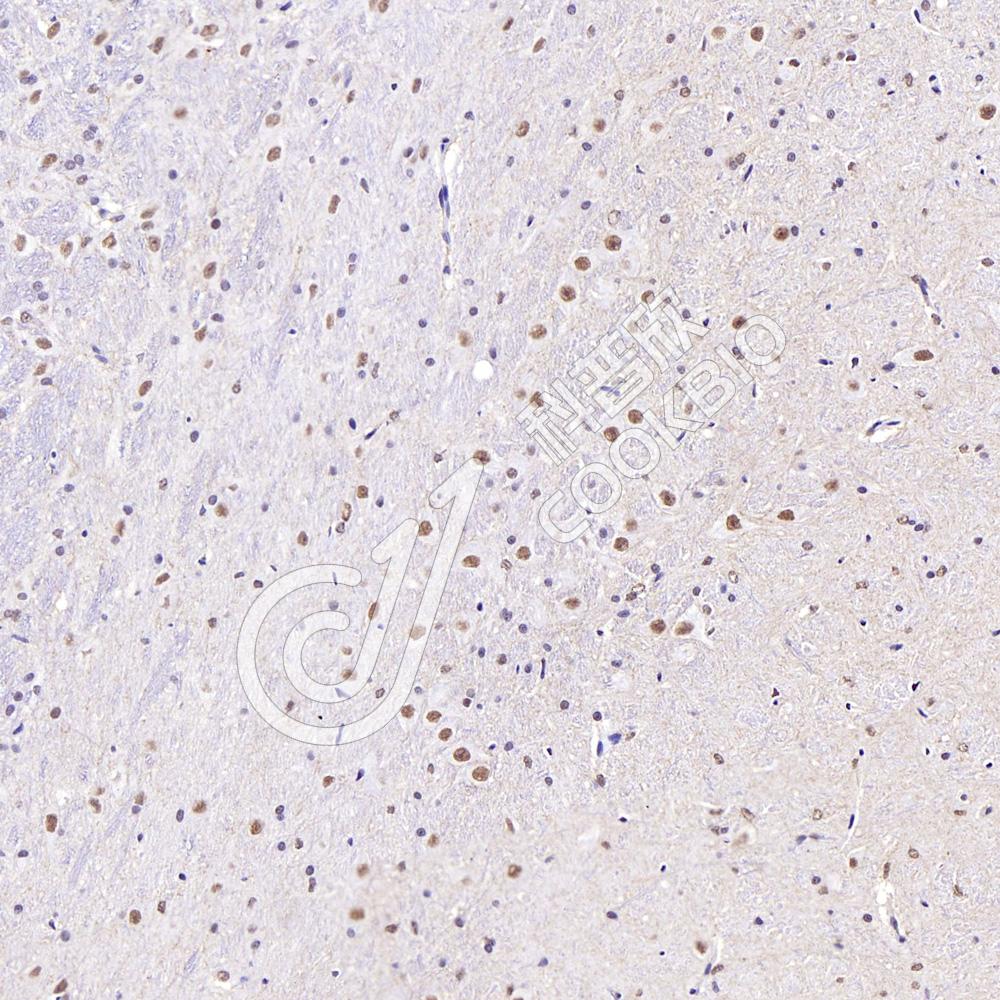
图像
IHC检测c-Fos蛋白(货号 K236207).
样品: 小鼠脑, 4%多聚甲醛 (货号KSG1101) 固定12-24小时.
抗原修复: 柠檬酸抗原修复液(干粉, pH 6.0) (KSG1201), 98℃, 20分钟.
—抗: 1: 1100稀释, 4℃ 孵育过夜.
二抗: S-vision免疫组化多聚二抗(山羊抗小鼠), 即用型(货号KB3903), 室温孵育20分钟.
IHC检测c-Fos蛋白(货号 K236207).
样品: 大鼠脑, 4%多聚甲醛 (货号KSG1101) 固定12-24小时.
抗原修复: 柠檬酸抗原修复液(干粉, pH 6.0) (KSG1201), 98℃, 20分钟.
—抗: 1: 1100稀释, 4℃ 孵育过夜.
二抗: S-vision免疫组化多聚二抗(山羊抗小鼠), 即用型(货号KB3903), 室温孵育20分钟.

需要技术支持?

如果您有任何问题或如果您在实验过程中遇到问题,或需要更详细的技术指导,请联系我们的技术支持团队
电话 400-6027-270

联系我们

如果您对我们的公司或产品有任何疑问,欢迎随时联系我们