tel 400-6027-270
Main Image
Anti-PI 3 Kinase p85 alpha 兔多克隆抗体
¥1900
加入对比
货号: K134578-100
亚细胞定位: 细胞质
别名: PIK3R1,AGM7,GRB1,IMD36,P85,p85-ALPHA,Phosphoinositide-3-kinase regulatory subunit 1,PI 3 Kinase p85 alpha,pi3k,PI3K
应用 | 种属
IHC/IF M,R
ICC/IF H
规格:
产品信息
蛋白质全称 磷脂酰肌醇3-激酶调节亚基α
别名 PIK3R1,AGM7,GRB1,IMD36,P85,p85-ALPHA,Phosphoinositide-3-kinase regulatory subunit 1,PI 3 Kinase p85 alpha,pi3k,PI3K
Uniprot ID P26450
免疫原 人PI 3 Kinase p85 alpha重组蛋白
抗体亚型 IgG
纯化方式 亲和纯化
亚细胞定位 细胞质
应用
IHC/IF 免疫组织化学/免疫荧光
物种:小鼠,大鼠
稀释比:1:2000-1:4000
阳性样品:脑
ICC/IF 免疫细胞化学/免疫荧光
物种:人
稀释比:1:500-1:1000
阳性样品:MCF-7细胞
背景
Phosphatidylinositol 3-kinase phosphorylates the inositol ring of phosphatidylinositol at the 3-prime position. The enzyme comprises a 110 kD catalytic subunit and a regulatory subunit of either 85, 55, or 50 kD. PIK3R1 encodes the 85 kD regulatory subunit. Phosphatidylinositol 3-kinase plays an important role in the metabolic actions of insulin, and a mutation in this gene has been associated with insulin resistance.
储存条件
储存条件:储存条件在:-20℃下储存一年, 避免反复冻融.
储存缓冲液:含0.15% ProClin300防腐剂, 100 μg/mL牛血清白蛋白和50%甘油的磷酸盐缓冲液.
图像
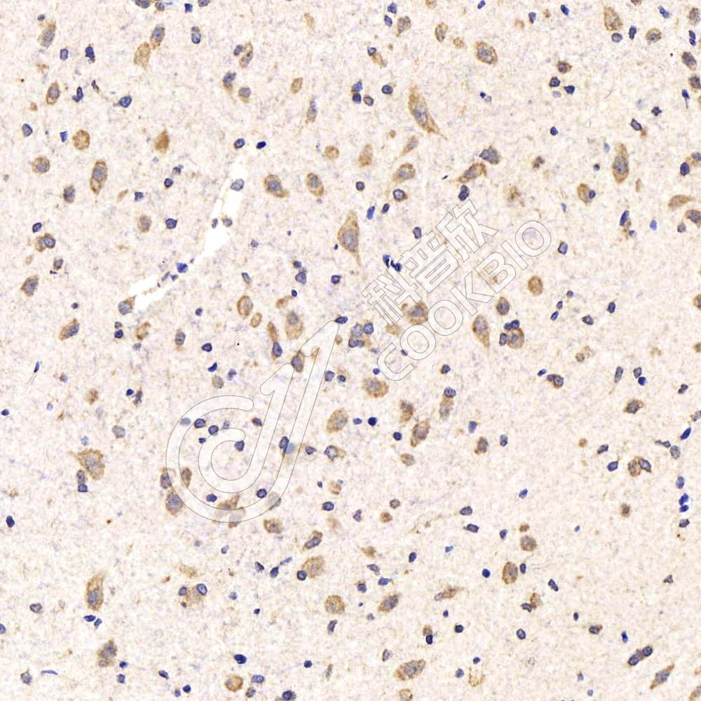
IHC检测PI 3 Kinase p85 alpha蛋白(货号 K134578).
样品: 小鼠脑, 4%多聚甲醛 (货号KSG1101) 固定12-24小时.
抗原修复: Tris-EDTA抗原修复液(pH 9.0) (KSG1203), 98℃, 20分钟.
—抗: 1: 3000稀释, 4℃ 孵育过夜.
二抗: S-vision免疫组化多聚二抗(山羊抗兔),即用型 (货号KB3906), 室温孵育20分钟.
IHC检测PI 3 Kinase p85 alpha蛋白(货号 K134578).
样品: 大鼠脑, 4%多聚甲醛 (货号KSG1101) 固定12-24小时.
抗原修复: Tris-EDTA抗原修复液(pH 9.0) (KSG1203), 98℃, 20分钟.
—抗: 1: 3000稀释, 4℃ 孵育过夜.
二抗: S-vision免疫组化多聚二抗(山羊抗兔),即用型 (货号KB3906), 室温孵育20分钟.
ICC检测PI 3 Kinase p85 alpha蛋白(货号 K134578)(红色).
样品: MCF-7细胞, 4%多聚甲醛 (货号KSG1101) 固定20分钟.
封闭: 3% BSA(货号KSGC305010)的PBS溶液, 室温孵育30分钟.
—抗: 1: 500稀释, 4℃ 孵育过夜.
二抗: Cy3标记山羊抗兔IgG (H+L) (货号KB63909), 1: 300稀释, 室温孵育1小时.

需要技术支持?

如果您有任何问题或如果您在实验过程中遇到问题,或需要更详细的技术指导,请联系我们的技术支持团队
电话 400-6027-270

联系我们

如果您对我们的公司或产品有任何疑问,欢迎随时联系我们