tel 400-6027-270
Main Image
Anti-WBP2 兔多克隆抗体
¥1900
加入对比
货号: K1338046-100
亚细胞定位: 细胞质, 细胞核
别名: WBP-2,WBP2
应用 | 种属
IHC/IF H
规格:
产品信息
蛋白质全称 WW结构域结合蛋白2
别名 WBP-2,WBP2
Uniprot ID P97765
免疫原 小鼠WBP2重组蛋白
抗体亚型 IgG
纯化方式 亲和纯化
亚细胞定位 细胞质, 细胞核
应用
IHC/IF 免疫组织化学/免疫荧光
物种:人
稀释比:1:2100-1:4200
阳性样品:结肠, 多形性胶质母细胞瘤
背景
The globular WW domain is composed of 38 to 40 semiconserved amino acids shared by proteins of diverse functions including structural, regulatory, and signaling proteins. The domain is involved in mediating protein-protein interactions through the binding of polyproline ligands. This gene encodes a WW domain binding protein, which binds to the WW domain of Yes kinase-associated protein by its PY motifs. The function of this protein has not been determined.
储存条件
储存条件:储存条件在:-20℃下储存一年, 避免反复冻融.
储存缓冲液:含0.15% ProClin300防腐剂, 100 μg/mL牛血清白蛋白和50%甘油的磷酸盐缓冲液.
图像
IHC检测WBP2蛋白(货号 K1338046).
样品: 人结肠, 4%多聚甲醛 (货号KSG1101) 固定12-24小时.
抗原修复: 柠檬酸抗原修复液(干粉, pH 6.0) (KSG1201), 98℃, 20分钟.
—抗: 1: 3200稀释, 4℃ 孵育过夜.
二抗: S-vision免疫组化多聚二抗(山羊抗兔),即用型 (货号KB3906), 室温孵育20分钟.
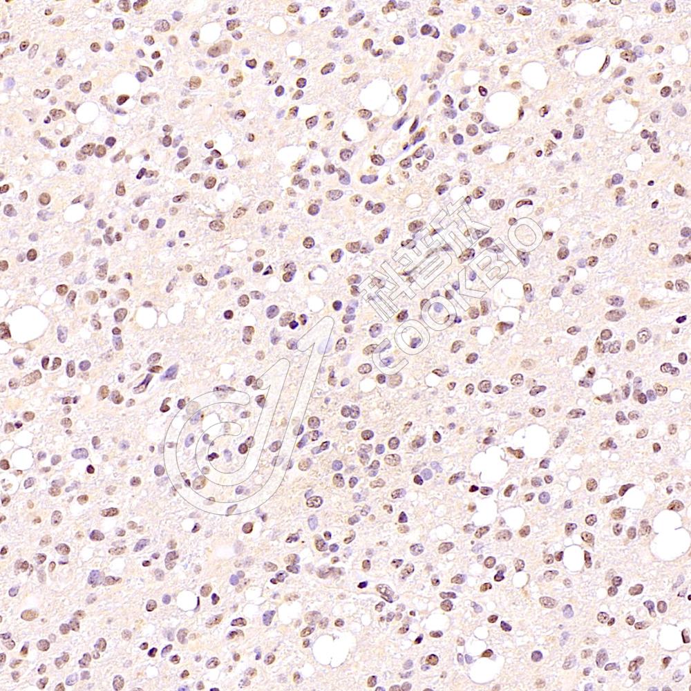
IHC检测WBP2蛋白(货号 K1338046).
样品: 人多形性胶质母细胞瘤, 4%多聚甲醛 (货号KSG1101) 固定12-24小时.
抗原修复: 柠檬酸抗原修复液(干粉, pH 6.0) (KSG1201), 98℃, 20分钟.
—抗: 1: 3200稀释, 4℃ 孵育过夜.
二抗: S-vision免疫组化多聚二抗(山羊抗兔),即用型 (货号KB3906), 室温孵育20分钟.

需要技术支持?

如果您有任何问题或如果您在实验过程中遇到问题,或需要更详细的技术指导,请联系我们的技术支持团队
电话 400-6027-270

联系我们

如果您对我们的公司或产品有任何疑问,欢迎随时联系我们