tel 400-6027-270
Main Image
Anti-GRP78 BiP 小鼠单克隆抗体
¥1900
加入对比
货号: K236294-100
预测分子量: 78 kDa
观测分子量: 78 kDa
亚细胞定位: 内质网腔, 黑素体, 细胞质
别名: HSPA5,BIP,GRP78,HEL-S-89n,MIF2,Binding immunoglobulin protein,heat shock protein family A (Hsp70) member 5
应用 | 种属
WB H,M,R
IHC/IF H,M,R
规格:
产品信息
蛋白质全称 内质网伴侣蛋白BiP
别名 HSPA5,BIP,GRP78,HEL-S-89n,MIF2,Binding immunoglobulin protein,heat shock protein family A (Hsp70) member 5
Uniprot ID P20029
免疫原 小鼠GRP78 BiP重组蛋白
抗体亚型 IgG2a, κ
克隆号 2A6C7
纯化方式 亲和纯化
亚细胞定位 内质网腔, 黑素体, 细胞质
预测分子量./观测分子量. 78 kDa / 78 kDa
应用
WB 免疫印迹
物种:人,小鼠,大鼠
稀释比:1:500-1:1000
阳性样品:—
IHC/IF 免疫组织化学/免疫荧光
物种:人,小鼠,大鼠
稀释比:1:1000-1:2000
阳性样品:脑, 乳腺癌
背景
Probably plays a role in facilitating the assembly of multimeric protein complexes inside the endoplasmic reticulum. Involved in the correct folding of proteins and degradation of misfolded proteins via its interaction with DNAJC10, probably to facilitate the release of DNAJC10 from its substrate.
储存条件
储存条件:储存条件在:-20℃下储存一年, 避免反复冻融.
储存缓冲液:含0.15% ProClin300防腐剂, 100 μg/mL牛血清白蛋白和50%甘油的磷酸盐缓冲液.
图像
IHC检测GRP78 BiP蛋白(货号 K236294).
样品: 人乳腺癌, 4%多聚甲醛 (货号KSG1101) 固定12-24小时.
抗原修复: 柠檬酸抗原修复液(干粉, pH 6.0) (KSG1201), 98℃, 20分钟.
—抗: 1: 1500稀释, 4℃ 孵育过夜.
二抗: S-vision免疫组化多聚二抗(山羊抗小鼠), 即用型(货号KB3903), 室温孵育20分钟.
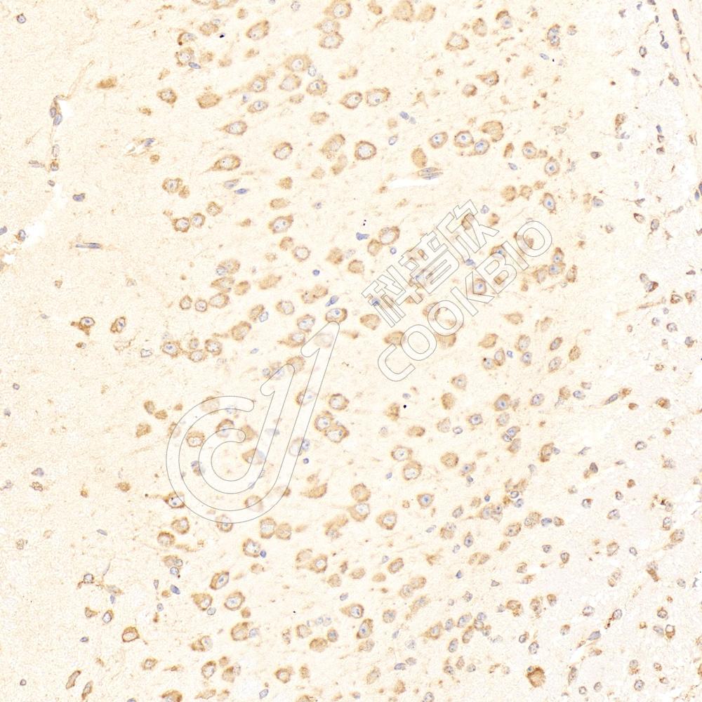
IHC检测GRP78 BiP蛋白(货号 K236294).
样品: 小鼠脑, 4%多聚甲醛 (货号KSG1101) 固定12-24小时.
抗原修复: 柠檬酸抗原修复液(干粉, pH 6.0) (KSG1201), 98℃, 20分钟.
—抗: 1: 1500稀释, 4℃ 孵育过夜.
二抗: S-vision免疫组化多聚二抗(山羊抗小鼠), 即用型(货号KB3903), 室温孵育20分钟.
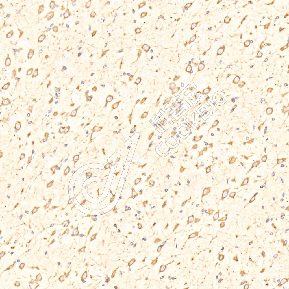
IHC检测GRP78 BiP蛋白(货号 K236294).
样品: 大鼠脑, 4%多聚甲醛 (货号KSG1101) 固定12-24小时.
抗原修复: 柠檬酸抗原修复液(干粉, pH 6.0) (KSG1201), 98℃, 20分钟.
—抗: 1: 1500稀释, 4℃ 孵育过夜.
二抗: S-vision免疫组化多聚二抗(山羊抗小鼠), 即用型(货号KB3903), 室温孵育20分钟.

需要技术支持?

如果您有任何问题或如果您在实验过程中遇到问题,或需要更详细的技术指导,请联系我们的技术支持团队
电话 400-6027-270

联系我们

如果您对我们的公司或产品有任何疑问,欢迎随时联系我们