tel 400-6027-270
Main Image
Anti-Rab33a 兔多克隆抗体
¥1900
加入对比
货号: K1339831-100
预测分子量: 27 kDa
观测分子量: 30 kDa
亚细胞定位: 细胞膜
别名: RAB33A,RabS10,Ras related protein Rab 33A,Small GTP binding protein S10
应用 | 种属
WB H
IHC/IF H,M
规格:
产品信息
蛋白质全称 Ras相关蛋白Rab-33A
别名 RAB33A,RabS10,Ras related protein Rab 33A,Small GTP binding protein S10
Uniprot ID P97950
免疫原 KLH偶联的小鼠Rab33a合成肽
抗体亚型 IgG
纯化方式 亲和纯化
亚细胞定位 细胞膜
预测分子量./观测分子量. 27 kDa / 30 kDa
应用
WB 免疫印迹
物种:人
稀释比:1:300-1:600
阳性样品:—
IHC/IF 免疫组织化学/免疫荧光
物种:人,小鼠
稀释比:1:1600-1:3200
阳性样品:脑, 结肠
背景
The protein encoded by this gene belongs to the small GTPase superfamily, Rab family. It is GTP-binding protein and may be involved in vesicle transport.
储存条件
储存条件:储存条件在:-20℃下储存一年, 避免反复冻融.
储存缓冲液:含0.15% ProClin300防腐剂, 100 μg/mL牛血清白蛋白和50%甘油的磷酸盐缓冲液.
图像
IHC检测Rab33a蛋白(货号 K1339831).
样品: 人结肠, 4%多聚甲醛 (货号KSG1101) 固定12-24小时.
抗原修复: 柠檬酸抗原修复液(干粉, pH 6.0) (KSG1201), 98℃, 20分钟.
—抗: 1: 2400稀释, 4℃ 孵育过夜.
二抗: S-vision免疫组化多聚二抗(山羊抗兔),即用型 (货号KB3906), 室温孵育20分钟.
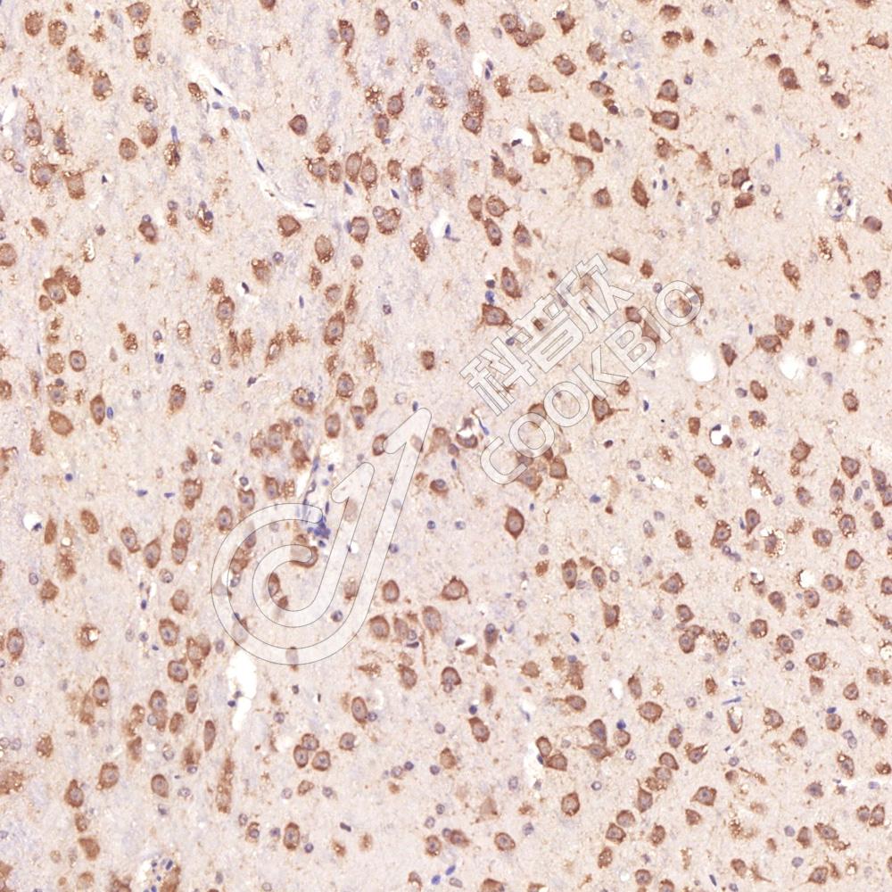
IHC检测Rab33a蛋白(货号 K1339831).
样品: 小鼠脑, 4%多聚甲醛 (货号KSG1101) 固定12-24小时.
抗原修复: 柠檬酸抗原修复液(干粉, pH 6.0) (KSG1201), 98℃, 20分钟.
—抗: 1: 2400稀释, 4℃ 孵育过夜.
二抗: S-vision免疫组化多聚二抗(山羊抗兔),即用型 (货号KB3906), 室温孵育20分钟.

需要技术支持?

如果您有任何问题或如果您在实验过程中遇到问题,或需要更详细的技术指导,请联系我们的技术支持团队
电话 400-6027-270

联系我们

如果您对我们的公司或产品有任何疑问,欢迎随时联系我们