tel 400-6027-270
Main Image
Anti-RAP2C 兔多克隆抗体
¥1900
加入对比
货号: K1337272-100
亚细胞定位: 细胞质, 内体
别名: Rap2c
应用 | 种属
IHC/IF H,M,R
规格:
产品信息
蛋白质全称 Ras相关蛋白Rap-2c
别名 Rap2c
Uniprot ID Q8BU31
免疫原 KLH偶联的小鼠RAP2C合成肽
抗体亚型 IgG
纯化方式 亲和纯化
亚细胞定位 细胞质, 内体
应用
IHC/IF 免疫组织化学/免疫荧光
物种:人,小鼠,大鼠
稀释比:1:700-1:4000
阳性样品:前列腺, 甲状腺癌, 膀胱
背景
Small GTP-binding protein which cycles between a GDP-bound inactive and a GTP-bound active form. May play a role in cytoskeletal rearrangements and regulate cell spreading through activation of the effector TNIK. May play a role in SRE-mediated gene transcription.
储存条件
储存条件:储存条件在:-20℃下储存一年, 避免反复冻融.
储存缓冲液:含0.15% ProClin300防腐剂, 100 μg/mL牛血清白蛋白和50%甘油的磷酸盐缓冲液.
图像
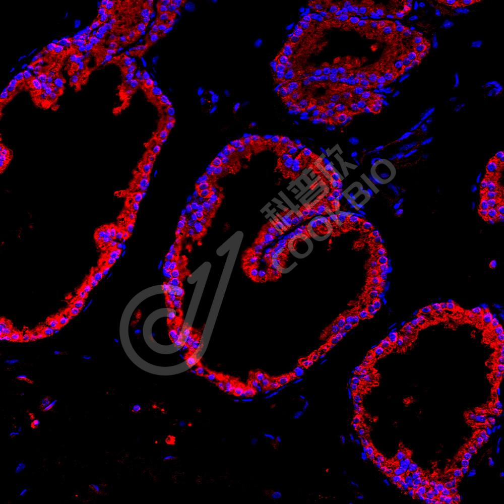
IF检测RAP2C蛋白(货号 K1337272)(红色).
样品: 人甲状腺癌, 4%多聚甲醛 (货号KSG1101) 固定12-24小时.
抗原修复: Tris-EDTA抗原修复液(pH 9.0) (KSG1203), 98℃, 20分钟.
封闭: 3% BSA(货号KSGC305010)的PBS溶液, 室温孵育30分钟.
—抗: 1: 2400稀释, 4℃ 孵育过夜.
二抗: Cy3标记山羊抗兔IgG (H+L) (货号KB63909), 1: 300稀释, 室温孵育1小时.
IF检测RAP2C蛋白(货号 K1337272)(红色).
样品: 小鼠膀胱, 4%多聚甲醛 (货号KSG1101) 固定12-24小时.
抗原修复: Tris-EDTA抗原修复液(pH 9.0) (KSG1203), 98℃, 20分钟.
封闭: 3% BSA(货号KSGC305010)的PBS溶液, 室温孵育30分钟.
—抗: 1: 2400稀释, 4℃ 孵育过夜.
二抗: Cy3标记山羊抗兔IgG (H+L) (货号KB63909), 1: 300稀释, 室温孵育1小时.
IF检测RAP2C蛋白(货号 K1337272)(红色).
样品: 大鼠前列腺, 4%多聚甲醛 (货号KSG1101) 固定12-24小时.
抗原修复: Tris-EDTA抗原修复液(pH 9.0) (KSG1203), 98℃, 20分钟.
封闭: 3% BSA(货号KSGC305010)的PBS溶液, 室温孵育30分钟.
—抗: 1: 2400稀释, 4℃ 孵育过夜.
二抗: Cy3标记山羊抗兔IgG (H+L) (货号KB63909), 1: 300稀释, 室温孵育1小时.

需要技术支持?

如果您有任何问题或如果您在实验过程中遇到问题,或需要更详细的技术指导,请联系我们的技术支持团队
电话 400-6027-270

联系我们

如果您对我们的公司或产品有任何疑问,欢迎随时联系我们