tel 400-6027-270
Main Image
Anti-RAP1 兔多克隆抗体
¥1900
加入对比
货号: K134824-100
预测分子量: 45 kDa
观测分子量: 46 kDa
亚细胞定位: 细胞核, 细胞质
别名: TERF2IP,DRIP5,RAP1,TERF2 interacting protein
应用 | 种属
WB H,M
IHC/IF M,R
规格:
产品信息
蛋白质全称 端粒重复序列结合因子2相互作用蛋白1
别名 TERF2IP,DRIP5,RAP1,TERF2 interacting protein
Uniprot ID Q91VL8
免疫原 小鼠RAP1重组蛋白
抗体亚型 IgG
纯化方式 亲和纯化
亚细胞定位 细胞核, 细胞质
预测分子量./观测分子量. 45 kDa / 46 kDa
应用
WB 免疫印迹
物种:人,小鼠
稀释比:1:500-1:1000
阳性样品:—
IHC/IF 免疫组织化学/免疫荧光
物种:小鼠,大鼠
稀释比:1:500-1:3000
阳性样品:脑, 脾
背景
Telomeric repeat-binding factor 2-interacting protein 1 acts both as a regulator of telomere function and as a transcription regulator. it is involved in the regulation of telomere length and protection as a component of the shelterin complex (telosome). In contrast to other components of the shelterin complex, it is dispensible for telomere capping and does not participate in the protection of telomeres against non-homologous end-joining (NHEJ)-mediated repair. Instead, it is required to negatively regulate telomere recombination and is essential for repressing homology-directed repair (HDR), which can affect telomere length.
储存条件
储存条件:储存条件在:-20℃下储存一年, 避免反复冻融.
储存缓冲液:含0.15% ProClin300防腐剂, 100 μg/mL牛血清白蛋白和50%甘油的磷酸盐缓冲液.
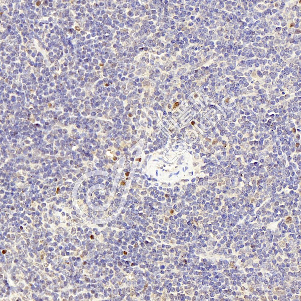
图像
IHC检测RAP1蛋白(货号 K134824).
样品: 小鼠脾, 4%多聚甲醛 (货号KSG1101) 固定12-24小时.
抗原修复: 柠檬酸抗原修复液(干粉, pH 6.0) (KSG1201), 98℃, 20分钟.
—抗: 1: 1800稀释, 4℃ 孵育过夜.
二抗: S-vision免疫组化多聚二抗(山羊抗兔),即用型 (货号KB3906), 室温孵育20分钟.
IHC检测RAP1蛋白(货号 K134824).
样品: 大鼠脑, 4%多聚甲醛 (货号KSG1101) 固定12-24小时.
抗原修复: 柠檬酸抗原修复液(干粉, pH 6.0) (KSG1201), 98℃, 20分钟.
—抗: 1: 1800稀释, 4℃ 孵育过夜.
二抗: S-vision免疫组化多聚二抗(山羊抗兔),即用型 (货号KB3906), 室温孵育20分钟.
IHC检测RAP1蛋白(货号 K134824).
样品: 大鼠脾, 4%多聚甲醛 (货号KSG1101) 固定12-24小时.
抗原修复: 柠檬酸抗原修复液(干粉, pH 6.0) (KSG1201), 98℃, 20分钟.
—抗: 1: 1800稀释, 4℃ 孵育过夜.
二抗: S-vision免疫组化多聚二抗(山羊抗兔),即用型 (货号KB3906), 室温孵育20分钟.

需要技术支持?

如果您有任何问题或如果您在实验过程中遇到问题,或需要更详细的技术指导,请联系我们的技术支持团队
电话 400-6027-270

联系我们

如果您对我们的公司或产品有任何疑问,欢迎随时联系我们