tel 400-6027-270
Main Image
Anti-PSIP1/LEDGF 兔多克隆抗体
¥1900
加入对比
货号: K1340413-100
亚细胞定位: 细胞核
别名: CLL associated antigen KW 7,DFS 70,DFS70,LEDGF,p52,p75,PAIP,PSIP1,PSIP2,Lens epithelium-derived growth factor,mLEDGF
应用 | 种属
IHC/IF M,R
规格:
产品信息
蛋白质全称 PC4/SFRS1互作蛋白
别名 CLL associated antigen KW 7,DFS 70,DFS70,LEDGF,p52,p75,PAIP,PSIP1,PSIP2,Lens epithelium-derived growth factor,mLEDGF
Uniprot ID Q99JF8
免疫原 小鼠PSIP1/LEDGF重组蛋白
抗体亚型 IgG
纯化方式 亲和纯化
亚细胞定位 细胞核
应用
IHC/IF 免疫组织化学/免疫荧光
物种:小鼠,大鼠
稀释比:1:1500-1:3000
阳性样品:睾丸
背景
Transcriptional coactivator involved in neuroepithelial stem cell differentiation and neurogenesis. Involved in particular in lens epithelial cell gene regulation and stress responses. May play an important role in lens epithelial to fiber cell terminal differentiation. May play a protective role during stress-induced apoptosis. Isoform 2 is a more general and stronger transcriptional coactivator. Isoform 2 may also act as an adapter to coordinate pre-mRNA splicing. Cellular cofactor for lentiviral integration.. This protein has 2 isoforms produced by alternative splicing.
储存条件
储存条件:储存条件在:-20℃下储存一年, 避免反复冻融.
储存缓冲液:含0.15% ProClin300防腐剂, 100 μg/mL牛血清白蛋白和50%甘油的磷酸盐缓冲液.
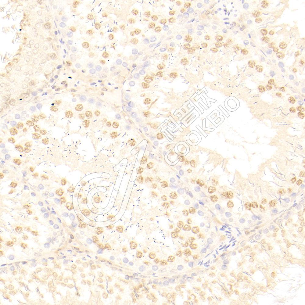
图像
IHC检测PSIP1/LEDGF蛋白(货号 K1340413).
样品: 小鼠睾丸, 4%多聚甲醛 (货号KSG1101) 固定12-24小时.
抗原修复: Tris-EDTA抗原修复液(pH 9.0) (KSG1203), 98℃, 20分钟.
—抗: 1: 2300稀释, 4℃ 孵育过夜.
二抗: S-vision免疫组化多聚二抗(山羊抗兔),即用型 (货号KB3906), 室温孵育20分钟.
IHC检测PSIP1/LEDGF蛋白(货号 K1340413).
样品: 大鼠睾丸, 4%多聚甲醛 (货号KSG1101) 固定12-24小时.
抗原修复: Tris-EDTA抗原修复液(pH 9.0) (KSG1203), 98℃, 20分钟.
—抗: 1: 2300稀释, 4℃ 孵育过夜.
二抗: S-vision免疫组化多聚二抗(山羊抗兔),即用型 (货号KB3906), 室温孵育20分钟.

需要技术支持?

如果您有任何问题或如果您在实验过程中遇到问题,或需要更详细的技术指导,请联系我们的技术支持团队
电话 400-6027-270

联系我们

如果您对我们的公司或产品有任何疑问,欢迎随时联系我们