tel 400-6027-270
Main Image
Anti-MED12 兔多克隆抗体
¥1900
加入对比
货号: K1346071-100
预测分子量: 243 kDa
观测分子量: 243 kDa
亚细胞定位: 细胞核
别名: ARC240,CAG repeat protein 45,CAGH45,FGS1,HOPA,KIAA0192,MED12,mediator complex subunit 12,OKS,OPA containing protein,OPA1,TNRC11,TRAP230
应用 | 种属
WB M
IHC/IF M
规格:
产品信息
蛋白质全称 RNA聚合酶II中介体亚基12
别名 ARC240,CAG repeat protein 45,CAGH45,FGS1,HOPA,KIAA0192,MED12,mediator complex subunit 12,OKS,OPA containing protein,OPA1,TNRC11,TRAP230
Uniprot ID A2AGH6
免疫原 小鼠MED12重组蛋白
抗体亚型 IgG
纯化方式 亲和纯化
亚细胞定位 细胞核
预测分子量./观测分子量. 243 kDa / 243 kDa
应用
WB 免疫印迹
物种:小鼠
稀释比:1:1000-1:1500
阳性样品:—
IHC/IF 免疫组织化学/免疫荧光
物种:小鼠
稀释比:1:1000-1:2000
阳性样品:睾丸
背景
Component of the Mediator complex, a coactivator involved in the regulated transcription of nearly all RNA polymerase II-dependent genes. Mediator functions as a bridge to convey information from gene-specific regulatory proteins to the basal RNA polymerase II transcription machinery. Mediator is recruited to promoters by direct interactions with regulatory proteins and serves as a scaffold for the assembly of a functional preinitiation complex with RNA polymerase II and the general transcription factors. This subunit may specifically regulate transcription of targets of the Wnt signaling pathway and SHH signaling pathway.
储存条件
储存条件:储存条件在:-20℃下储存一年, 避免反复冻融.
储存缓冲液:含0.15% ProClin300防腐剂, 100 μg/mL牛血清白蛋白和50%甘油的磷酸盐缓冲液.
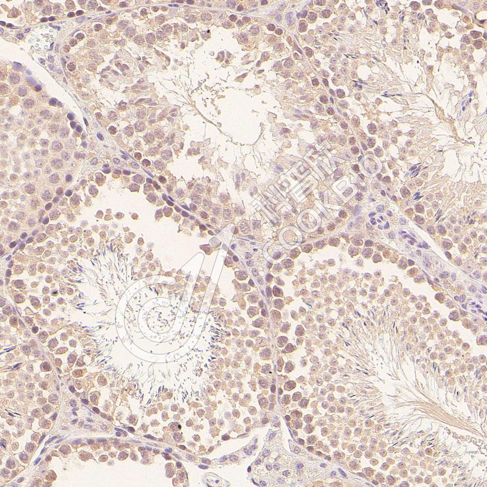
图像
IHC检测MED12蛋白(货号 K1346071).
样品: 小鼠睾丸, 4%多聚甲醛 (货号KSG1101) 固定12-24小时.
抗原修复: Tris-EDTA抗原修复液(pH 9.0) (KSG1203), 98℃, 20分钟.
—抗: 1: 1500稀释, 4℃ 孵育过夜.
二抗: S-vision免疫组化多聚二抗(山羊抗兔),即用型 (货号KB3906), 室温孵育20分钟.
IHC检测MED12蛋白(货号 K1346071).
样品: 小鼠睾丸, 4%多聚甲醛 (货号KSG1101) 固定12-24小时.
抗原修复: Tris-EDTA抗原修复液(pH 9.0) (KSG1203), 98℃, 20分钟.
—抗: 1: 1500稀释, 4℃ 孵育过夜.
二抗: S-vision免疫组化多聚二抗(山羊抗兔),即用型 (货号KB3906), 室温孵育20分钟.

需要技术支持?

如果您有任何问题或如果您在实验过程中遇到问题,或需要更详细的技术指导,请联系我们的技术支持团队
电话 400-6027-270

联系我们

如果您对我们的公司或产品有任何疑问,欢迎随时联系我们