tel 400-6027-270
Main Image
Anti-FOXL2 兔多克隆抗体
¥1900
加入对比
货号: K1340581-100
亚细胞定位: 细胞核
别名: Pituitary forkhead factor,P-Frk,Foxl2,Pfrk,BPES1,Blepharophimosis,PINTO,POF3
应用 | 种属
IHC/IF M
规格:
产品信息
蛋白质全称 叉头框蛋白L2
别名 Pituitary forkhead factor,P-Frk,Foxl2,Pfrk,BPES1,Blepharophimosis,PINTO,POF3
Uniprot ID O88470
免疫原 小鼠FOXL2重组蛋白
抗体亚型 IgG
纯化方式 亲和纯化
亚细胞定位 细胞核
应用
IHC/IF 免疫组织化学/免疫荧光
物种:小鼠
稀释比:1:3000-1:6000
阳性样品:卵巢
背景
Transcriptional regulator. Critical factor essential for ovary differentiation and maintenance, and repression of the genetic program for somatic testis determination. Prevents trans-differentiation of ovary to testis throught transcriptional repression of the Sertoli cell-promoting gene SOX9 (By similarity). Has apoptotic activity in ovarian cells. Suppresses ESR1-mediated transcription of PTGS2/COX2 stimulated by tamoxifen (By similarity). Is a regulator of CYP19 expression (By similarity). Participates in SMAD3-dependent transcription of FST via the intronic SMAD-binding element (By similarity). Is a transcriptional repressor of STAR.
储存条件
储存条件:储存条件在:-20℃下储存一年, 避免反复冻融.
储存缓冲液:含0.15% ProClin300防腐剂, 100 μg/mL牛血清白蛋白和50%甘油的磷酸盐缓冲液.
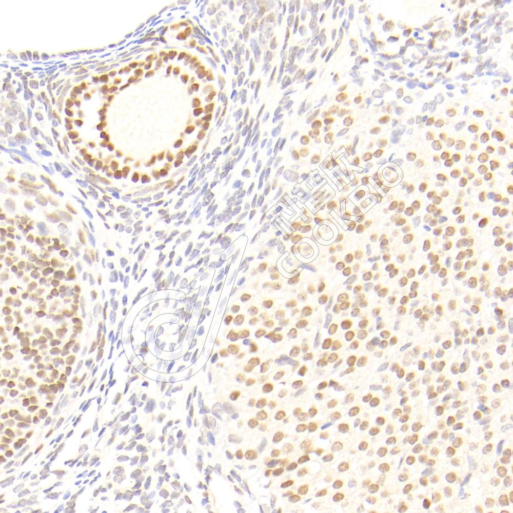
图像
IHC检测FOXL2蛋白(货号 K1340581).
样品: 小鼠卵巢, 4%多聚甲醛 (货号KSG1101) 固定12-24小时.
抗原修复: 柠檬酸抗原修复液(干粉, pH 6.0) (KSG1201), 98℃, 20分钟.
—抗: 1: 4500稀释, 4℃ 孵育过夜.
二抗: S-vision免疫组化多聚二抗(山羊抗兔),即用型 (货号KB3906), 室温孵育20分钟.
IHC检测FOXL2蛋白(货号 K1340581).
样品: 小鼠卵巢, 4%多聚甲醛 (货号KSG1101) 固定12-24小时.
抗原修复: 柠檬酸抗原修复液(干粉, pH 6.0) (KSG1201), 98℃, 20分钟.
—抗: 1: 4500稀释, 4℃ 孵育过夜.
二抗: S-vision免疫组化多聚二抗(山羊抗兔),即用型 (货号KB3906), 室温孵育20分钟.

需要技术支持?

如果您有任何问题或如果您在实验过程中遇到问题,或需要更详细的技术指导,请联系我们的技术支持团队
电话 400-6027-270

联系我们

如果您对我们的公司或产品有任何疑问,欢迎随时联系我们