tel 400-6027-270
Main Image
Anti-Orai2 兔多克隆抗体
¥1900
加入对比
货号: K1340692-100
亚细胞定位:
别名: C7orf19,CBCIP2,ORAI2,TMEM142B,Transmembrane protein 142B,CAP binding protein complex interacting protein 2,MEM142B,ORAI calcium release activated calcium modulator 2
应用 | 种属
IHC/IF H
规格:
产品信息
蛋白质全称 Orai-2钙通道蛋白
别名 C7orf19,CBCIP2,ORAI2,TMEM142B,Transmembrane protein 142B,CAP binding protein complex interacting protein 2,MEM142B,ORAI calcium release activated calcium modulator 2
Uniprot ID Q8BH10
免疫原 小鼠Orai2重组蛋白
抗体亚型 IgG
纯化方式 亲和纯化
亚细胞定位
应用
IHC/IF 免疫组织化学/免疫荧光
物种:人
稀释比:1:1600-1:3200
阳性样品:肾
背景
ORAI2, also named as C7orf19, CBCIP2, TMEM142B and PP1729, is a Ca2+ release-activated Ca2+-like (CRAC-like) channel subunit. The MW of ORAI2 is about 36 kDa for glycosylation.
储存条件
储存条件:储存条件在:-20℃下储存一年, 避免反复冻融.
储存缓冲液:含0.15% ProClin300防腐剂, 100 μg/mL牛血清白蛋白和50%甘油的磷酸盐缓冲液.
图像
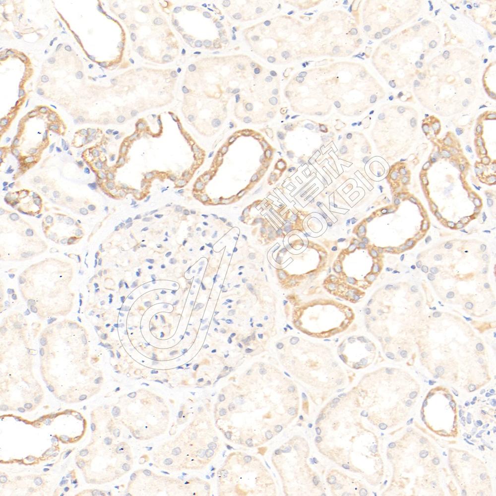
IHC检测Orai2蛋白(货号 K1340692).
样品: 人肾, 4%多聚甲醛 (货号KSG1101) 固定12-24小时.
抗原修复: 柠檬酸抗原修复液(干粉, pH 6.0) (KSG1201), 98℃, 20分钟.
—抗: 1: 2400稀释, 4℃ 孵育过夜.
二抗: S-vision免疫组化多聚二抗(山羊抗兔),即用型 (货号KB3906), 室温孵育20分钟.
IHC检测Orai2蛋白(货号 K1340692).
样品: 人肾, 4%多聚甲醛 (货号KSG1101) 固定12-24小时.
抗原修复: 柠檬酸抗原修复液(干粉, pH 6.0) (KSG1201), 98℃, 20分钟.
—抗: 1: 2400稀释, 4℃ 孵育过夜.
二抗: S-vision免疫组化多聚二抗(山羊抗兔),即用型 (货号KB3906), 室温孵育20分钟.

需要技术支持?

如果您有任何问题或如果您在实验过程中遇到问题,或需要更详细的技术指导,请联系我们的技术支持团队
电话 400-6027-270

联系我们

如果您对我们的公司或产品有任何疑问,欢迎随时联系我们