tel 400-6027-270
Main Image
Anti-POM121 兔多克隆抗体
¥1900
加入对比
货号: K1341052-100
预测分子量: 121 kDa
观测分子量: 121 kDa
亚细胞定位: 细胞核, 内质网
别名: KIAA0618,Nucleoporin Nup121,NUP121,POM121,POM121A,Pore membrane protein of 121 kDa
应用 | 种属
WB H
IHC/IF H
规格:
产品信息
蛋白质全称 核孔膜蛋白POM121
别名 KIAA0618,Nucleoporin Nup121,NUP121,POM121,POM121A,Pore membrane protein of 121 kDa
Uniprot ID Q8K3Z9
免疫原 KLH偶联的小鼠POM121合成肽
抗体亚型 IgG
纯化方式 亲和纯化
亚细胞定位 细胞核, 内质网
预测分子量./观测分子量. 121 kDa / 121 kDa
应用
WB 免疫印迹
物种:人
稀释比:1:300-1:600
阳性样品:—
IHC/IF 免疫组织化学/免疫荧光
物种:人
稀释比:1:200-1:400
阳性样品:宫颈鳞状细胞癌群, 喉癌
背景
Essential component of the nuclear pore complex (NPC). The repeat-containing domain may be involved in anchoring components of the pore complex to the pore membrane. When overexpressed in cells induces the formation of cytoplasmic annulate lamellae .
储存条件
储存条件:储存条件在:-20℃下储存一年, 避免反复冻融.
储存缓冲液:含0.15% ProClin300防腐剂, 100 μg/mL牛血清白蛋白和50%甘油的磷酸盐缓冲液.
图像
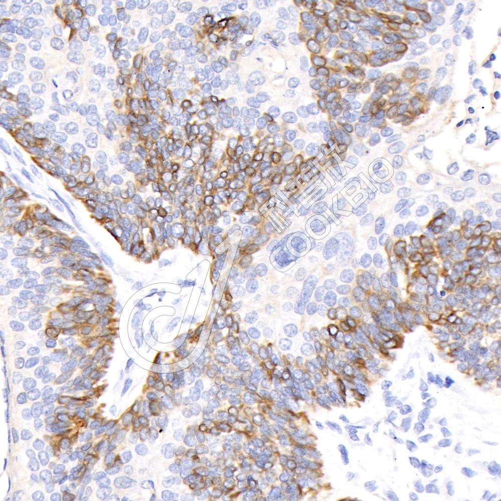
IHC检测POM121蛋白(货号 K1341052).
样品: 人宫颈鳞状细胞癌群, 4%多聚甲醛 (货号KSG1101) 固定12-24小时.
抗原修复: 柠檬酸抗原修复液(干粉, pH 6.0) (KSG1201), 98℃, 20分钟.
—抗: 1: 300稀释, 4℃ 孵育过夜.
二抗: S-vision免疫组化多聚二抗(山羊抗兔),即用型 (货号KB3906), 室温孵育20分钟.
IHC检测POM121蛋白(货号 K1341052).
样品: 人喉癌, 4%多聚甲醛 (货号KSG1101) 固定12-24小时.
抗原修复: 柠檬酸抗原修复液(干粉, pH 6.0) (KSG1201), 98℃, 20分钟.
—抗: 1: 300稀释, 4℃ 孵育过夜.
二抗: S-vision免疫组化多聚二抗(山羊抗兔),即用型 (货号KB3906), 室温孵育20分钟.

需要技术支持?

如果您有任何问题或如果您在实验过程中遇到问题,或需要更详细的技术指导,请联系我们的技术支持团队
电话 400-6027-270

联系我们

如果您对我们的公司或产品有任何疑问,欢迎随时联系我们