tel 400-6027-270
Main Image
Anti-MYBPC3 兔多克隆抗体
¥1900
加入对比
货号: K1341208-100
亚细胞定位: 细胞质
别名: Cardiac MyBP C,CMH4,FHC,MYBP C,MYBPC3
应用 | 种属
IHC/IF M,R
规格:
产品信息
蛋白质全称 心肌肌球蛋白结合蛋白C
别名 Cardiac MyBP C,CMH4,FHC,MYBP C,MYBPC3
Uniprot ID O70468
免疫原 KLH偶联的小鼠MYBPC3合成肽
抗体亚型 IgG
纯化方式 亲和纯化
亚细胞定位 细胞质
应用
IHC/IF 免疫组织化学/免疫荧光
物种:小鼠,大鼠
稀释比:1:1000-1:2000
阳性样品:心
背景
MYBPC3 belongs to the immunoglobulin superfamily and MyBP family. MYBPC3 located in the crossbridge region of vertebrate striated muscle a bands. In vitro it binds MHC, F-actin and native thin filaments, and modifies the activity of actin-activated myosin ATPase. It may modulate muscle contraction or may play a more structural role. Defects in MYBPC3 are the cause of cardiomyopathy familial hypertrophic type 4 (CMH4). The antibody detects the full length form and the degradation bands around 28-54 kDa in SDS-PAGE.
储存条件
储存条件:储存条件在:-20℃下储存一年, 避免反复冻融.
储存缓冲液:含0.15% ProClin300防腐剂, 100 μg/mL牛血清白蛋白和50%甘油的磷酸盐缓冲液.
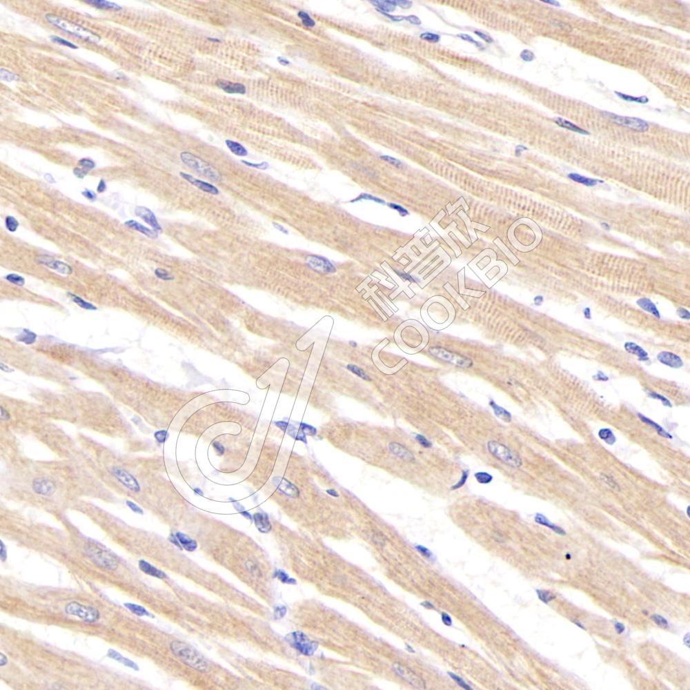
图像
IHC检测MYBPC3蛋白(货号 K1341208).
样品: 小鼠心, 4%多聚甲醛 (货号KSG1101) 固定12-24小时.
抗原修复: 柠檬酸抗原修复液(干粉, pH 6.0) (KSG1201), 98℃, 20分钟.
—抗: 1: 1500稀释, 4℃ 孵育过夜.
二抗: S-vision免疫组化多聚二抗(山羊抗兔),即用型 (货号KB3906), 室温孵育20分钟.
IHC检测MYBPC3蛋白(货号 K1341208).
样品: 大鼠心, 4%多聚甲醛 (货号KSG1101) 固定12-24小时.
抗原修复: 柠檬酸抗原修复液(干粉, pH 6.0) (KSG1201), 98℃, 20分钟.
—抗: 1: 1500稀释, 4℃ 孵育过夜.
二抗: S-vision免疫组化多聚二抗(山羊抗兔),即用型 (货号KB3906), 室温孵育20分钟.

需要技术支持?

如果您有任何问题或如果您在实验过程中遇到问题,或需要更详细的技术指导,请联系我们的技术支持团队
电话 400-6027-270

联系我们

如果您对我们的公司或产品有任何疑问,欢迎随时联系我们