tel 400-6027-270
Main Image
Anti-Caldesmon/CDM 兔多克隆抗体
¥1900
加入对比
货号: K135877-100
亚细胞定位: 细胞质, 细胞骨架
别名: CDM,L-caldesmon,Cald1,CAD,CALD1,Caldesmon 1,H CAD,LCAD,NAG22,Caldesmon 1 Isoform 1
应用 | 种属
IHC/IF R
规格:
产品信息
蛋白质全称 非肌钙调结合蛋白
别名 CDM,L-caldesmon,Cald1,CAD,CALD1,Caldesmon 1,H CAD,LCAD,NAG22,Caldesmon 1 Isoform 1
Uniprot ID Q62736
免疫原 KLH偶联的人Caldesmon合成肽
抗体亚型 IgG
纯化方式 亲和纯化
亚细胞定位 细胞质, 细胞骨架
应用
IHC/IF 免疫组织化学/免疫荧光
物种:大鼠
稀释比:1:1000-1:4000
阳性样品:子宫
背景
Actin- and myosin-binding protein implicated in the regulation of actomyosin interactions in smooth muscle and nonmuscle cells (could act as a bridge between myosin and actin filaments). Stimulates actin binding of tropomyosin which increases the stabilization of actin filament structure. In muscle tissues, inhibits the actomyosin ATPase by binding to F-actin. This inhibition is attenuated by calcium-calmodulin and is potentiated by tropomyosin. Interacts with actin, myosin, two molecules of tropomyosin and with calmodulin. Also plays an essential role during cellular mitosis and receptor capping. Involved in Schwann cell migration during peripheral nerve regeneration (By similarity).
储存条件
储存条件:储存条件在:-20℃下储存一年, 避免反复冻融.
储存缓冲液:含0.15% ProClin300防腐剂, 100 μg/mL牛血清白蛋白和50%甘油的磷酸盐缓冲液.
图像
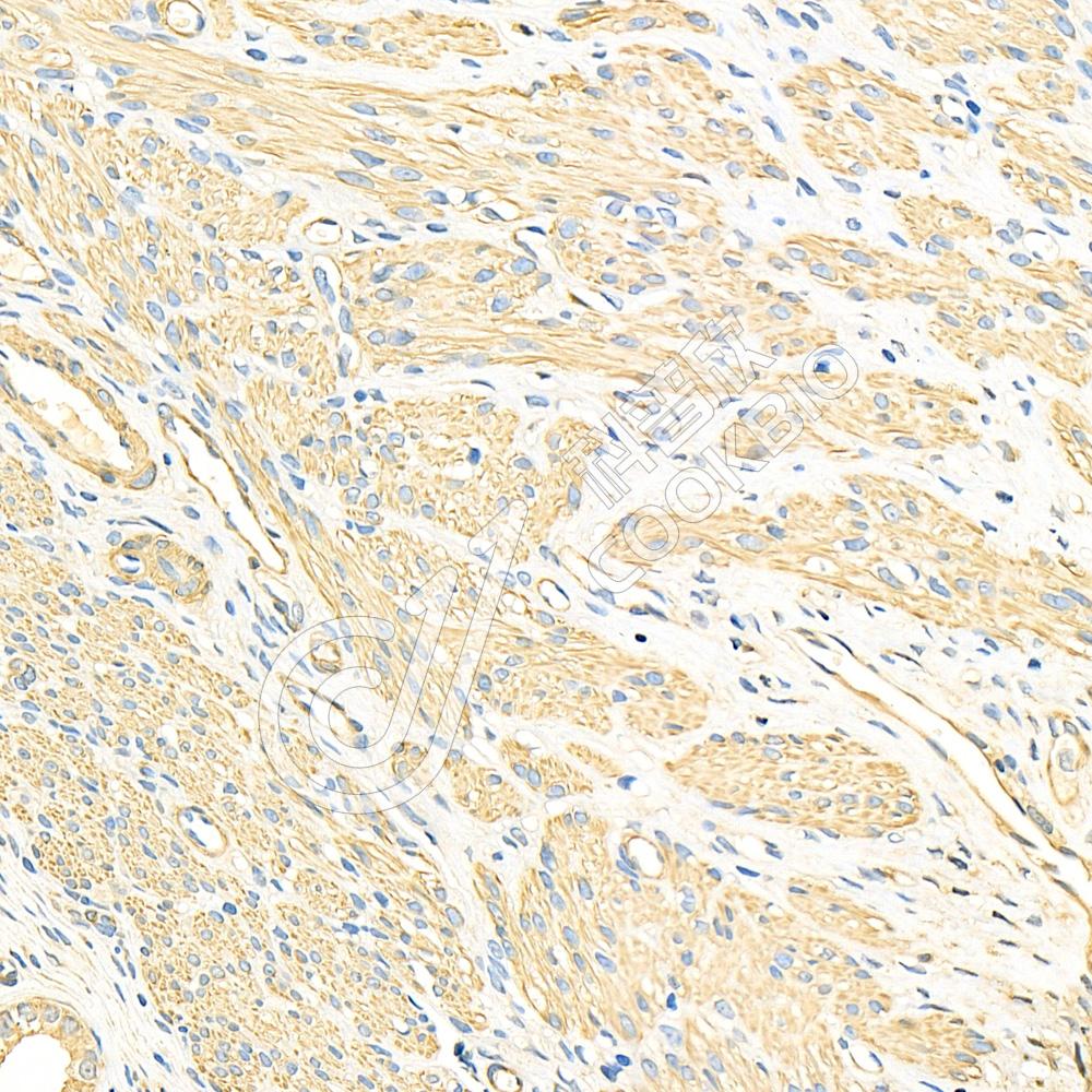
IHC检测Caldesmon/CDM蛋白(货号 K135877).
样品: 大鼠子宫, 4%多聚甲醛 (货号KSG1101) 固定12-24小时.
抗原修复: 柠檬酸抗原修复液(干粉, pH 6.0) (KSG1201), 98℃, 20分钟.
—抗: 1: 2500稀释, 4℃ 孵育过夜.
二抗: S-vision免疫组化多聚二抗(山羊抗兔),即用型 (货号KB3906), 室温孵育20分钟.
IHC检测Caldesmon/CDM蛋白(货号 K135877).
样品: 大鼠子宫, 4%多聚甲醛 (货号KSG1101) 固定12-24小时.
抗原修复: 柠檬酸抗原修复液(干粉, pH 6.0) (KSG1201), 98℃, 20分钟.
—抗: 1: 2500稀释, 4℃ 孵育过夜.
二抗: S-vision免疫组化多聚二抗(山羊抗兔),即用型 (货号KB3906), 室温孵育20分钟.

需要技术支持?

如果您有任何问题或如果您在实验过程中遇到问题,或需要更详细的技术指导,请联系我们的技术支持团队
电话 400-6027-270

联系我们

如果您对我们的公司或产品有任何疑问,欢迎随时联系我们