tel 400-6027-270
Main Image
Anti-Collagen I 小鼠单克隆抗体
¥1900
加入对比
货号: K2372591-100
亚细胞定位: 胞外基质, 细胞质
别名: COL1A1,EDSC,OI1,OI2,OI3,OI4,collagen type I alpha 1,collagen type I alpha 1 chain
应用 | 种属
IHC/IF H,M,R
规格:
产品信息
蛋白质全称 I 型胶原蛋白α1链
别名 COL1A1,EDSC,OI1,OI2,OI3,OI4,collagen type I alpha 1,collagen type I alpha 1 chain
Uniprot ID P02452
免疫原 KLH偶联的人COL1A1合成肽
抗体亚型 IgG2a, κ
克隆号 2D2D6
纯化方式 亲和纯化
亚细胞定位 胞外基质, 细胞质
应用
IHC/IF 免疫组织化学/免疫荧光
物种:人,小鼠,大鼠
稀释比:1:500-1:1000
阳性样品:结肠, 肺
背景
This gene encodes the pro-alpha1 chains of type I collagen whose triple helix comprises two alpha1 chains and one alpha2 chain. Type I is a fibril-forming collagen found in most connective tissues and is abundant in bone, cornea, dermis and tendon. Mutations in this gene are associated with osteogenesis imperfecta types I-IV, Ehlers-Danlos syndrome type VIIA, Ehlers-Danlos syndrome Classical type, Caffey Disease and idiopathic osteoporosis.
储存条件
储存条件:储存条件在:-20℃下储存一年, 避免反复冻融.
储存缓冲液:含0.15% ProClin300防腐剂, 100 μg/mL牛血清白蛋白和50%甘油的磷酸盐缓冲液.
图像
IHC检测Collagen I蛋白(货号 K2372591).
样品: 人结肠, 4%多聚甲醛 (货号KSG1101) 固定12-24小时.
抗原修复: 柠檬酸抗原修复液(干粉, pH 6.0) (KSG1201), 高压锅均匀喷气计时2分钟.
—抗: 1: 800稀释, 4℃ 孵育过夜.
二抗: S-vision免疫组化多聚二抗(山羊抗小鼠), 即用型(货号KB3903), 室温孵育20分钟.
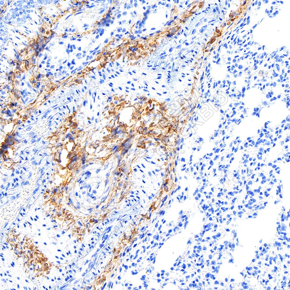
IHC检测Collagen I蛋白(货号 K2372591).
样品: 小鼠肺, 4%多聚甲醛 (货号KSG1101) 固定12-24小时.
抗原修复: 柠檬酸抗原修复液(干粉, pH 6.0) (KSG1201), 高压锅均匀喷气计时2分钟.
—抗: 1: 800稀释, 4℃ 孵育过夜.
二抗: S-vision免疫组化多聚二抗(山羊抗小鼠), 即用型(货号KB3903), 室温孵育20分钟.
IHC检测Collagen I蛋白(货号 K2372591).
样品: 大鼠肺, 4%多聚甲醛 (货号KSG1101) 固定12-24小时.
抗原修复: 柠檬酸抗原修复液(干粉, pH 6.0) (KSG1201), 高压锅均匀喷气计时2分钟.
—抗: 1: 800稀释, 4℃ 孵育过夜.
二抗: S-vision免疫组化多聚二抗(山羊抗小鼠), 即用型(货号KB3903), 室温孵育20分钟.

需要技术支持?

如果您有任何问题或如果您在实验过程中遇到问题,或需要更详细的技术指导,请联系我们的技术支持团队
电话 400-6027-270

联系我们

如果您对我们的公司或产品有任何疑问,欢迎随时联系我们