tel 400-6027-270
Main Image
Anti-Fibronectin 小鼠单克隆抗体
¥1900
加入对比
货号: K236273-100
亚细胞定位: 分泌型, 胞外空间, 胞外基质
别名: FN,Fn1,CIG,Cold-insoluble globulin,FINC,GFND2,LETS,MSF,Migration stimulating factor,ED-B,FNZ,GFND,LETS,MSF,fibronectin 1,Cold insoluble globulin,ED B,Fibronectin,FN1,FNZ
应用 | 种属
IHC/IF H
规格:
产品信息
蛋白质全称 纤连蛋白
别名 FN,Fn1,CIG,Cold-insoluble globulin,FINC,GFND2,LETS,MSF,Migration stimulating factor,ED-B,FNZ,GFND,LETS,MSF,fibronectin 1,Cold insoluble globulin,ED B,Fibronectin,FN1,FNZ
Uniprot ID P11276, P04937,P02751
免疫原 KLH偶联的人plasma-derived Fibronectin protein合成肽
抗体亚型 IgG2b, κ
克隆号 1B11D1
纯化方式 亲和纯化
亚细胞定位 分泌型, 胞外空间, 胞外基质
应用
IHC/IF 免疫组织化学/免疫荧光
物种:人
稀释比:1:200-1:400
阳性样品:食管癌, 胃癌
背景
Fibronectins bind cell surfaces and various compounds including collagen, fibrin, heparin, DNA, and actin. Fibronectins are involved in cell adhesion, cell motility, opsonization, wound healing, and maintenance of cell shape. Involved in osteoblast compaction through the fibronectin fibrillogenesis cell-mediated matrix assembly process, essential for osteoblast mineralization. Participates in the regulation of type I collagen deposition by osteoblasts.
储存条件
储存条件:储存条件在:-20℃下储存一年, 避免反复冻融.
储存缓冲液:含0.15% ProClin300防腐剂, 100 μg/mL牛血清白蛋白和50%甘油的磷酸盐缓冲液.
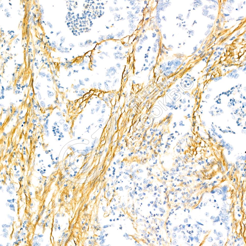
图像
IHC检测Fibronectin蛋白(货号 K236273).
样品: 人食管癌, 4%多聚甲醛 (货号KSG1101) 固定12-24小时.
抗原修复: 蛋白酶K(KSG1234)(200微克/毫升)在55℃条件下用于抗原修复20分钟.
—抗: 1: 300稀释, 4℃ 孵育过夜.
二抗: S-vision免疫组化多聚二抗(山羊抗小鼠), 即用型(货号KB3903), 室温孵育20分钟.
IHC检测Fibronectin蛋白(货号 K236273).
样品: 人胃癌, 4%多聚甲醛 (货号KSG1101) 固定12-24小时.
抗原修复: 蛋白酶K(KSG1234)(200微克/毫升)在55℃条件下用于抗原修复20分钟.
—抗: 1: 300稀释, 4℃ 孵育过夜.
二抗: S-vision免疫组化多聚二抗(山羊抗小鼠), 即用型(货号KB3903), 室温孵育20分钟.

需要技术支持?

如果您有任何问题或如果您在实验过程中遇到问题,或需要更详细的技术指导,请联系我们的技术支持团队
电话 400-6027-270

联系我们

如果您对我们的公司或产品有任何疑问,欢迎随时联系我们