tel 400-6027-270
Main Image
Anti-Spinophilin/Neurabin 2 兔多克隆抗体
¥1900
加入对比
货号: K134959-100
亚细胞定位: 细胞膜, 细胞核, 细胞骨架
别名: PPP1R9B,PPP1R6,PPP1R9,SPINO,Spn,protein phosphatase 1 regulatory subunit 9B,p130,Spinophilin,PP1bp134,Neurabin II,Neural tissue specific F actin binding protein II,Neurabin-II,Ppp1r9b
应用 | 种属
IHC/IF H
规格:
产品信息
蛋白质全称 神经束缚蛋白-2
别名 PPP1R9B,PPP1R6,PPP1R9,SPINO,Spn,protein phosphatase 1 regulatory subunit 9B,p130,Spinophilin,PP1bp134,Neurabin II,Neural tissue specific F actin binding protein II,Neurabin-II,Ppp1r9b
Uniprot ID Q96SB3
免疫原 人Neurabin 2重组蛋白
抗体亚型 IgG
纯化方式 亲和纯化
亚细胞定位 细胞膜, 细胞核, 细胞骨架
应用
IHC/IF 免疫组织化学/免疫荧光
物种:人
稀释比:1:500-1:2000
阳性样品:胃癌
背景
Neurabin-2 is a protein that in humans is encoded by the PPP1R9B gene. PPP1R9B has been shown to interact with PPP1CB, PPP1CA, Dopamine receptor D2, P16, PPP1CC, T-cell lymphoma invasion and metastasis-inducing protein 1 and PPP1R2. Neurabin-2, also known as Spinophilin, is a regulatory subunit of protein phosphatase-1 catalytic subunit and is highly enriched in dendritic spines, specialized protrusions from dendritic shafts that receive most of the excitatory input in the central nervous system.
储存条件
储存条件:储存条件在:-20℃下储存一年, 避免反复冻融.
储存缓冲液:含0.15% ProClin300防腐剂, 100 μg/mL牛血清白蛋白和50%甘油的磷酸盐缓冲液.
图像
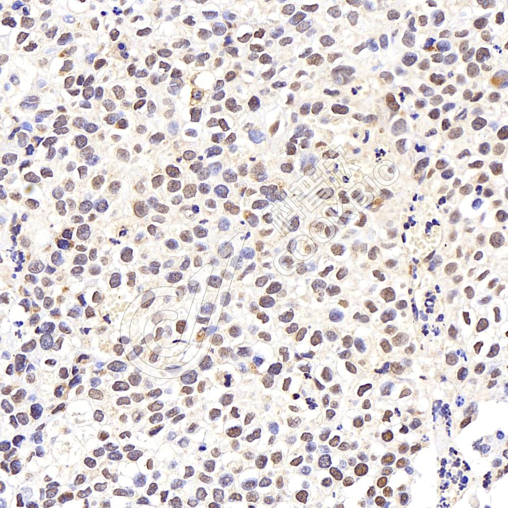
IHC检测Spinophilin/Neurabin 2蛋白(货号 K134959).
样品: 人胃癌, 4%多聚甲醛 (货号KSG1101) 固定12-24小时.
抗原修复: 柠檬酸抗原修复液(干粉, pH 6.0) (KSG1201), 98℃, 20分钟.
—抗: 1: 1300稀释, 4℃ 孵育过夜.
二抗: S-vision免疫组化多聚二抗(山羊抗兔),即用型 (货号KB3906), 室温孵育20分钟.
IHC检测Spinophilin/Neurabin 2蛋白(货号 K134959).
样品: 人胃癌, 4%多聚甲醛 (货号KSG1101) 固定12-24小时.
抗原修复: 柠檬酸抗原修复液(干粉, pH 6.0) (KSG1201), 98℃, 20分钟.
—抗: 1: 1300稀释, 4℃ 孵育过夜.
二抗: S-vision免疫组化多聚二抗(山羊抗兔),即用型 (货号KB3906), 室温孵育20分钟.

需要技术支持?

如果您有任何问题或如果您在实验过程中遇到问题,或需要更详细的技术指导,请联系我们的技术支持团队
电话 400-6027-270

联系我们

如果您对我们的公司或产品有任何疑问,欢迎随时联系我们