tel 400-6027-270
Main Image
Anti-Desmin 小鼠单克隆抗体
¥1900
加入对比
货号: K236222-100
亚细胞定位: 细胞质, 肌原纤维, 肌节, Z 线, 细胞核
别名: DES,CSM1,CSM2,LGMD2R,desmin,CMD1I
应用 | 种属
IHC/IF H,M,R
规格:
产品信息
蛋白质全称 结蛋白
别名 DES,CSM1,CSM2,LGMD2R,desmin,CMD1I
Uniprot ID P17661
免疫原 KLH偶联的人Desmin合成肽
抗体亚型 IgG2a, κ
克隆号 7G3-2F7-1
纯化方式 亲和纯化
亚细胞定位 细胞质, 肌原纤维, 肌节, Z 线, 细胞核
应用
IHC/IF 免疫组织化学/免疫荧光
物种:人,小鼠,大鼠
稀释比:1:200-1:2000
阳性样品:结肠, 食管
背景
Desmin are class-III intermediate filaments found in muscle cells. In adult striated muscle they form a fibrous network connecting myofibrils to each other and to the plasma membrane from the periphery of the Z-line structures . May act as a sarcomeric microtubule-anchoring protein: specifically associates with detyrosinated tubulin-alpha chains, leading to buckled microtubules and mechanical resistance to contraction.
储存条件
储存条件:储存条件在:-20℃下储存一年, 避免反复冻融.
储存缓冲液:含0.15% ProClin300防腐剂, 100 μg/mL牛血清白蛋白和50%甘油的磷酸盐缓冲液.
图像
IHC检测Desmin蛋白(货号 K236222).
样品: 人食管, 4%多聚甲醛 (货号KSG1101) 固定12-24小时.
抗原修复: 柠檬酸抗原修复液(干粉, pH 6.0) (KSG1201), 高压锅均匀喷气计时2分钟.
—抗: 1: 1100稀释, 4℃ 孵育过夜.
二抗: S-vision免疫组化多聚二抗(山羊抗小鼠), 即用型(货号KB3903), 室温孵育20分钟.
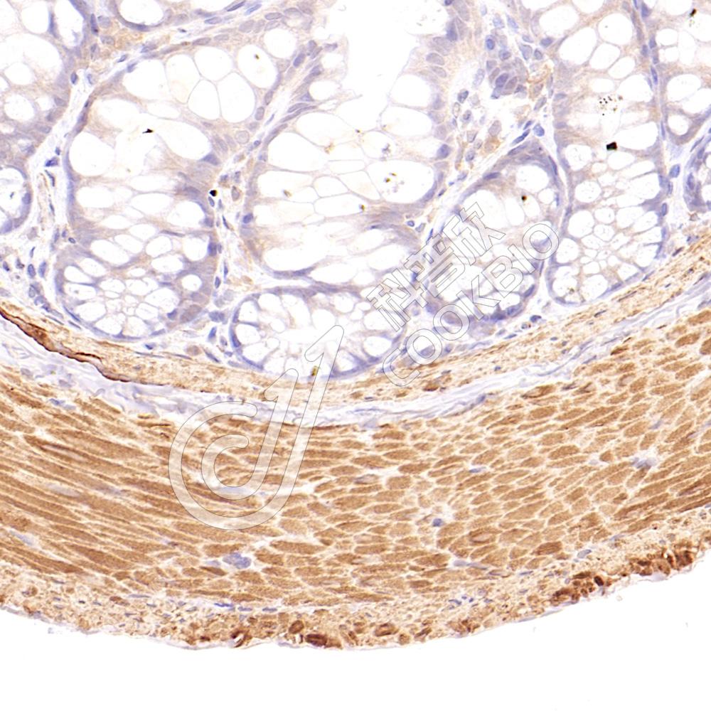
IHC检测Desmin蛋白(货号 K236222).
样品: 小鼠结肠, 4%多聚甲醛 (货号KSG1101) 固定12-24小时.
抗原修复: 柠檬酸抗原修复液(干粉, pH 6.0) (KSG1201), 高压锅均匀喷气计时2分钟.
—抗: 1: 1100稀释, 4℃ 孵育过夜.
二抗: S-vision免疫组化多聚二抗(山羊抗小鼠), 即用型(货号KB3903), 室温孵育20分钟.
IHC检测Desmin蛋白(货号 K236222).
样品: 大鼠结肠, 4%多聚甲醛 (货号KSG1101) 固定12-24小时.
抗原修复: 柠檬酸抗原修复液(干粉, pH 6.0) (KSG1201), 高压锅均匀喷气计时2分钟.
—抗: 1: 1100稀释, 4℃ 孵育过夜.
二抗: S-vision免疫组化多聚二抗(山羊抗小鼠), 即用型(货号KB3903), 室温孵育20分钟.

需要技术支持?

如果您有任何问题或如果您在实验过程中遇到问题,或需要更详细的技术指导,请联系我们的技术支持团队
电话 400-6027-270

联系我们

如果您对我们的公司或产品有任何疑问,欢迎随时联系我们