tel 400-6027-270
Main Image
Anti-ARPC5/p16 ARC 兔多克隆抗体
¥1900
加入对比
货号: K1343257-100
预测分子量: 16 kDa
观测分子量: 17 kDa
亚细胞定位: 细胞质, 细胞骨架, 细胞突起, 细胞核
别名: ARC16,ARPC5,p16 Arc
应用 | 种属
WB H,M,R
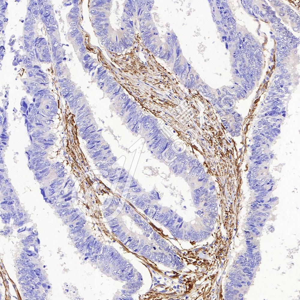
IHC/IF H
规格:
产品信息
蛋白质全称 肌动蛋白相关蛋白2/3复合体亚基5
别名 ARC16,ARPC5,p16 Arc
Uniprot ID Q9CPW4
免疫原 小鼠ARPC5重组蛋白
抗体亚型 IgG
纯化方式 亲和纯化
亚细胞定位 细胞质, 细胞骨架, 细胞突起, 细胞核
预测分子量./观测分子量. 16 kDa / 17 kDa
应用
WB 免疫印迹
物种:人,小鼠,大鼠
稀释比:1:300-1:500
阳性样品:脑, 睾丸
IHC/IF 免疫组织化学/免疫荧光
物种:人
稀释比:1:900-1:1800
阳性样品:—
背景
Component of the Arp2/3 complex, a multiprotein complex that mediates actin polymerization upon stimulation by nucleation-promoting factor (NPF). The Arp2/3 complex mediates the formation of branched actin networks in the cytoplasm, providing the force for cell motility. In addition to its role in the cytoplasmic cytoskeleton, the Arp2/3 complex also promotes actin polymerization in the nucleus, thereby regulating gene transcription and repair of damaged DNA. The Arp2/3 complex promotes homologous recombination (HR) repair in response to DNA damage by promoting nuclear actin polymerization, leading to drive motility of double-strand breaks (DSBs).
储存条件
储存条件:储存条件在:-20℃下储存一年, 避免反复冻融.
储存缓冲液:含0.15% ProClin300防腐剂, 100 μg/mL牛血清白蛋白和50%甘油的磷酸盐缓冲液.
图像
WB检测ARPC5/p16 ARC蛋白(货号 K1343257).
样品: 经RIPA裂解液(货号KSG2002)处理的蛋白质.
封闭: 3%脱脂牛奶(货号KSGC310001)溶于TBST溶液, 室温孵育1小时.
—抗: 1: 300稀释, 4℃ 孵育过夜.
二抗: HRP标记山羊抗兔IgG (H+L) (货号KB69909), 1: 5000稀释, 室温孵育1小时.

需要技术支持?

如果您有任何问题或如果您在实验过程中遇到问题,或需要更详细的技术指导,请联系我们的技术支持团队
电话 400-6027-270

联系我们

如果您对我们的公司或产品有任何疑问,欢迎随时联系我们