tel 400-6027-270
Main Image
Anti-GIV 兔多克隆抗体
¥1900
加入对比
货号: K135724-100
亚细胞定位: 细胞质, 细胞膜
别名: Ccdc88a,CCDC88A,APE,GIRDIN,GIV,GRDN,HkRP1,KIAA1212,Coiled-coil domain containing 88A,PEHO,PEHOL,Girdin
应用 | 种属
IHC/IF R
规格:
产品信息
蛋白质全称 Girdin支架蛋白
别名 Ccdc88a,CCDC88A,APE,GIRDIN,GIV,GRDN,HkRP1,KIAA1212,Coiled-coil domain containing 88A,PEHO,PEHOL,Girdin
Uniprot ID Q5SNZ0
免疫原 小鼠Girdin重组蛋白
抗体亚型 IgG
纯化方式 亲和纯化
亚细胞定位 细胞质, 细胞膜
应用
IHC/IF 免疫组织化学/免疫荧光
物种:大鼠
稀释比:1:500-1:2000
阳性样品:脾, 睾丸
背景
Plays a role as a key modulator of the AKT-mTOR signaling pathway controlling the tempo of the process of newborn neurons integration during adult neurogenesis, including correct neuron positioning, dendritic development and synapse formation. Enhances phosphoinositide 3-kinase (PI3K)-dependent phosphorylation and kinase activity of AKT1/PKB, but does not possess kinase activity itself. Phosphorylation of AKT1/PKB thereby induces the phosphorylation of downstream effectors GSK3 and FOXO1/FKHR, and regulates DNA replication and cell proliferation (By similarity).
储存条件
储存条件:储存条件在:-20℃下储存一年, 避免反复冻融.
储存缓冲液:含0.15% ProClin300防腐剂, 100 μg/mL牛血清白蛋白和50%甘油的磷酸盐缓冲液.
图像
IHC检测GIV蛋白(货号 K135724).
样品: 大鼠脾, 4%多聚甲醛 (货号KSG1101) 固定12-24小时.
抗原修复: 柠檬酸抗原修复液(干粉, pH 6.0) (KSG1201), 98℃, 20分钟.
—抗: 1: 1300稀释, 4℃ 孵育过夜.
二抗: S-vision免疫组化多聚二抗(山羊抗兔),即用型 (货号KB3906), 室温孵育20分钟.
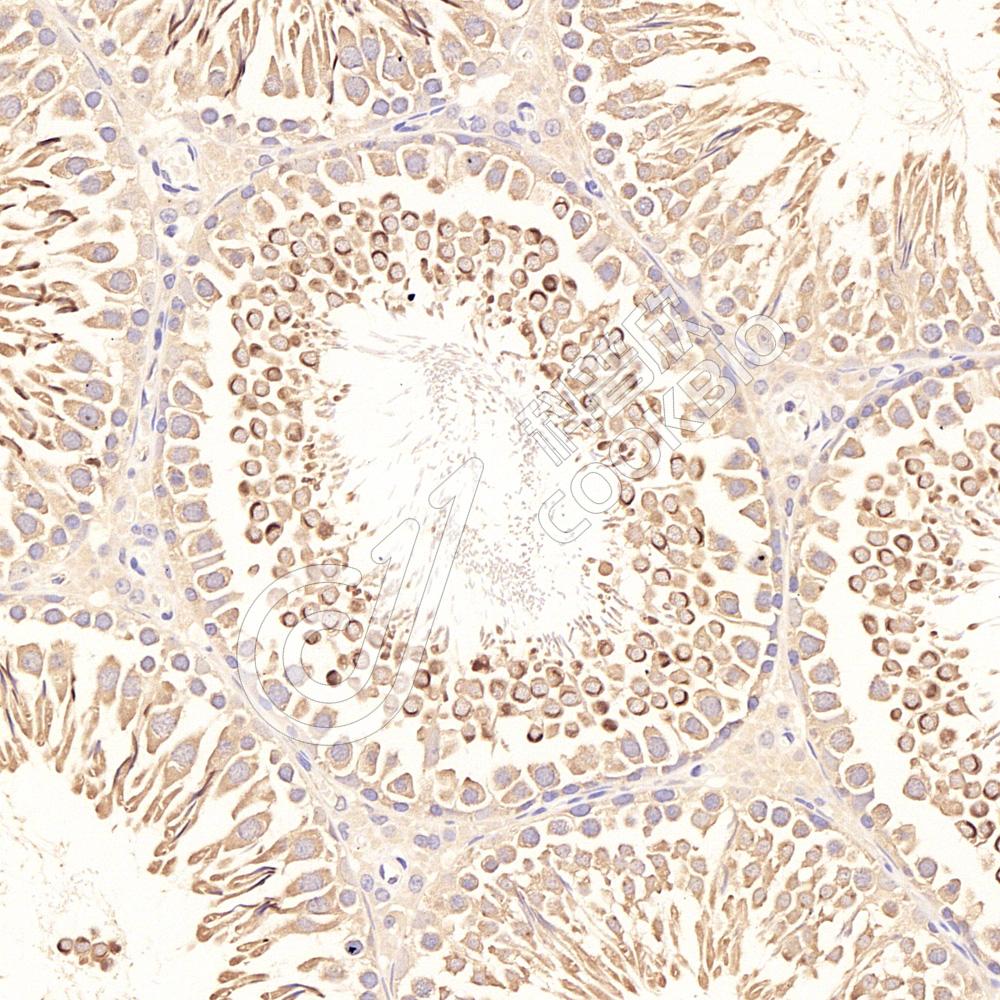
IHC检测GIV蛋白(货号 K135724).
样品: 大鼠睾丸, 4%多聚甲醛 (货号KSG1101) 固定12-24小时.
抗原修复: 柠檬酸抗原修复液(干粉, pH 6.0) (KSG1201), 98℃, 20分钟.
—抗: 1: 1300稀释, 4℃ 孵育过夜.
二抗: S-vision免疫组化多聚二抗(山羊抗兔),即用型 (货号KB3906), 室温孵育20分钟.

需要技术支持?

如果您有任何问题或如果您在实验过程中遇到问题,或需要更详细的技术指导,请联系我们的技术支持团队
电话 400-6027-270

联系我们

如果您对我们的公司或产品有任何疑问,欢迎随时联系我们