tel 400-6027-270
Main Image
Anti-Collagen III 小鼠单克隆抗体
¥1900
加入对比
货号: K2363969-100
亚细胞定位: 胞外基质, 细胞质
别名: Col3a1,EDS4A,type III preprocollagen alpha 1 chain,Type III collagen,Collagen III alpha 1 chain precursor,Collagen III alpha 1 polypeptide
应用 | 种属
IHC/IF H,M,R
规格:
产品信息
蛋白质全称 III型胶原蛋白α1链
别名 Col3a1,EDS4A,type III preprocollagen alpha 1 chain,Type III collagen,Collagen III alpha 1 chain precursor,Collagen III alpha 1 polypeptide
Uniprot ID P08121
免疫原 小鼠Collagen III重组蛋白
抗体亚型 IgG1, κ
克隆号 3D12G12
纯化方式 亲和纯化
亚细胞定位 胞外基质, 细胞质
应用
IHC/IF 免疫组织化学/免疫荧光
物种:人,小鼠,大鼠
稀释比:1:500-1:1000
阳性样品:结肠, 肾
背景
Collagen type III occurs in most soft connective tissues along with type I collagen. Involved in regulation of cortical development. Is the major ligand of ADGRG1 in the developing brain and binding to ADGRG1 inhibits neuronal migration and activates the RhoA pathway by coupling ADGRG1 to GNA13 and possibly GNA12.
储存条件
储存条件:储存条件在:-20℃下储存一年, 避免反复冻融.
储存缓冲液:含0.15% ProClin300防腐剂, 100 μg/mL牛血清白蛋白和50%甘油的磷酸盐缓冲液.
图像
IHC检测Collagen III蛋白(货号 K2363969).
样品: 人结肠, 4%多聚甲醛 (货号KSG1101) 固定12-24小时.
抗原修复: 柠檬酸抗原修复液(干粉, pH 6.0) (KSG1201), 高压锅均匀喷气计时2分钟.
—抗: 1: 800稀释, 4℃ 孵育过夜.
二抗: S-vision免疫组化多聚二抗(山羊抗小鼠), 即用型(货号KB3903), 室温孵育20分钟.
IHC检测Collagen III蛋白(货号 K2363969).
样品: 小鼠肾, 4%多聚甲醛 (货号KSG1101) 固定12-24小时.
抗原修复: 柠檬酸抗原修复液(干粉, pH 6.0) (KSG1201), 高压锅均匀喷气计时2分钟.
—抗: 1: 800稀释, 4℃ 孵育过夜.
二抗: S-vision免疫组化多聚二抗(山羊抗小鼠), 即用型(货号KB3903), 室温孵育20分钟.
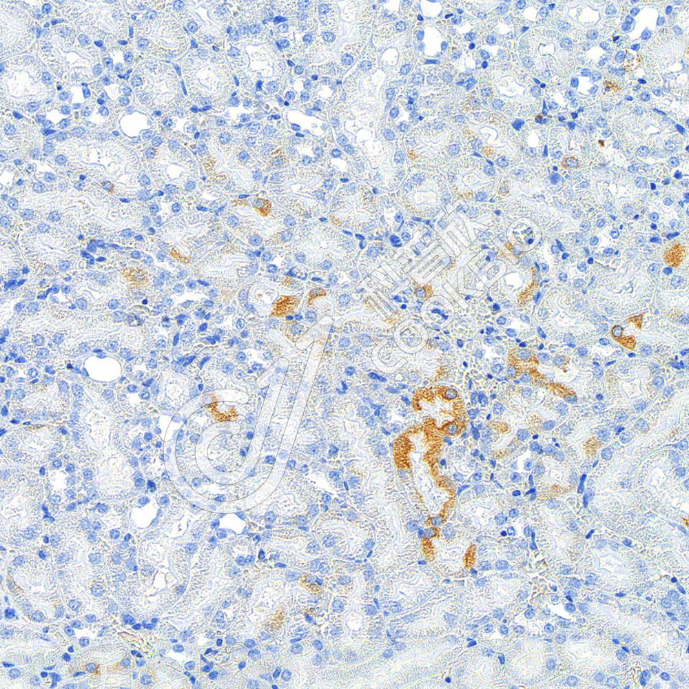
IHC检测Collagen III蛋白(货号 K2363969).
样品: 大鼠肾, 4%多聚甲醛 (货号KSG1101) 固定12-24小时.
抗原修复: 柠檬酸抗原修复液(干粉, pH 6.0) (KSG1201), 高压锅均匀喷气计时2分钟.
—抗: 1: 800稀释, 4℃ 孵育过夜.
二抗: S-vision免疫组化多聚二抗(山羊抗小鼠), 即用型(货号KB3903), 室温孵育20分钟.

需要技术支持?

如果您有任何问题或如果您在实验过程中遇到问题,或需要更详细的技术指导,请联系我们的技术支持团队
电话 400-6027-270

联系我们

如果您对我们的公司或产品有任何疑问,欢迎随时联系我们