tel 400-6027-270
Main Image
Anti-MYLK3/MLCK 兔多克隆抗体
¥1900
加入对比
货号: K1340074-100
预测分子量: 86 kDa
观测分子量: 100 kDa
亚细胞定位: 细胞质
别名: caMLCK,MLCK,MLCK2,MYLK3,myosin light chain kinase 3,Putative myosin light chain kinase 3
应用 | 种属
WB M
IHC/IF M
规格:
产品信息
蛋白质全称 肌球蛋白轻链激酶3
别名 caMLCK,MLCK,MLCK2,MYLK3,myosin light chain kinase 3,Putative myosin light chain kinase 3
Uniprot ID Q3UIZ8
免疫原 小鼠MYLK3/MLCK重组蛋白
抗体亚型 IgG
纯化方式 亲和纯化
亚细胞定位 细胞质
预测分子量./观测分子量. 86 kDa / 100 kDa
应用
WB 免疫印迹
物种:小鼠
稀释比:1:300-1:800
阳性样品:心
IHC/IF 免疫组织化学/免疫荧光
物种:小鼠
稀释比:1:300-1:800
阳性样品:心
背景
The Ca2+/calmodulin-dependent protein kinases (CaM kinases) are a structurally related subfamily of serine/threonine kinases that includes CaMKI, CaMKII, CaMKIV and Myosin light chain kinases (MYLKs, also designated MLCKs). The MYLK kinases phosphorylate Myosin regulatory light chains to catalyze Myosin interaction with Actin filaments, resulting in contractile activity. MYLK3 (Myosin light chain kinase 3) is a 795 amino acid cardiac-specific protein that contains one protein kinase domain and belongs to the protein kinase superfamily.
储存条件
储存条件:储存条件在:-20℃下储存一年, 避免反复冻融.
储存缓冲液:含0.15% ProClin300防腐剂, 100 μg/mL牛血清白蛋白和50%甘油的磷酸盐缓冲液.
图像
WB检测MYLK3/MLCK蛋白(货号 K1340074).
样品: 经RIPA裂解液(货号KSG2002)处理的蛋白质.
封闭: 3%脱脂牛奶(货号KSGC310001)溶于TBST溶液, 室温孵育1小时.
—抗: 1: 500稀释, 4℃ 孵育过夜.
二抗: HRP标记山羊抗兔IgG (H+L) (货号KB69909), 1: 5000稀释, 室温孵育1小时.
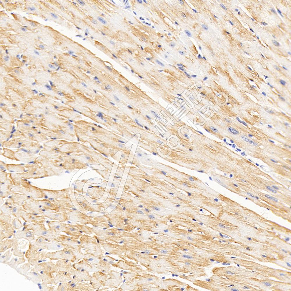
IHC检测MYLK3/MLCK蛋白(货号 K1340074).
样品: 小鼠心, 4%多聚甲醛 (货号KSG1101) 固定12-24小时.
抗原修复: 柠檬酸抗原修复液(干粉, pH 6.0) (KSG1201), 98℃, 20分钟.
—抗: 1: 600稀释, 4℃ 孵育过夜.
二抗: S-vision免疫组化多聚二抗(山羊抗兔),即用型 (货号KB3906), 室温孵育20分钟.
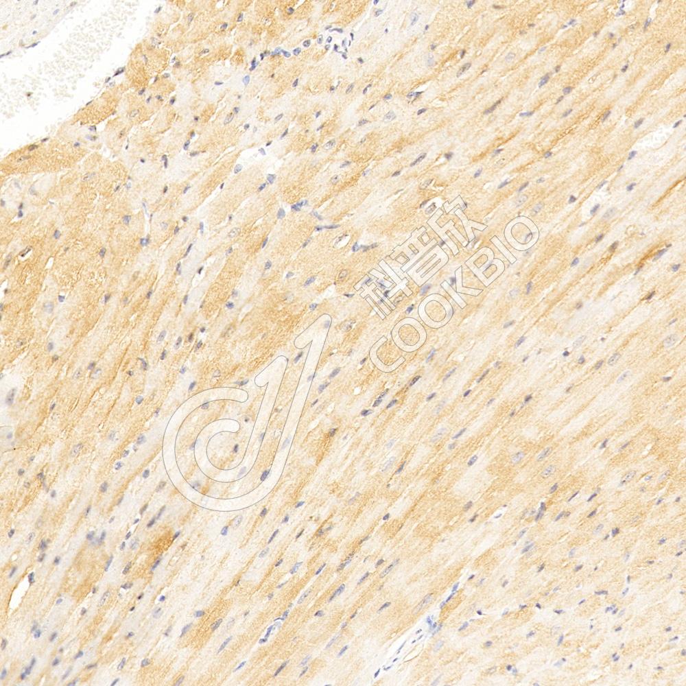
IHC检测MYLK3/MLCK蛋白(货号 K1340074).
样品: 小鼠心, 4%多聚甲醛 (货号KSG1101) 固定12-24小时.
抗原修复: 柠檬酸抗原修复液(干粉, pH 6.0) (KSG1201), 98℃, 20分钟.
—抗: 1: 600稀释, 4℃ 孵育过夜.
二抗: S-vision免疫组化多聚二抗(山羊抗兔),即用型 (货号KB3906), 室温孵育20分钟.

需要技术支持?

如果您有任何问题或如果您在实验过程中遇到问题,或需要更详细的技术指导,请联系我们的技术支持团队
电话 400-6027-270

联系我们

如果您对我们的公司或产品有任何疑问,欢迎随时联系我们