tel 400-6027-270
Main Image
Anti-FGF2 兔多克隆抗体
¥1900
加入对比
货号: K1341910-100
亚细胞定位: 细胞核, 分泌型
别名: FGFB,FGF-2,Basic fibroblast growth factor,HBGH2,HBGF-2,Prostatropin,Heparin binding growth factor 2 precursor,BFGF,FGF2,Basic FGF
应用 | 种属
IHC/IF H,M,R
规格:
产品信息
蛋白质全称 成纤维细胞生长因子2
别名 FGFB,FGF-2,Basic fibroblast growth factor,HBGH2,HBGF-2,Prostatropin,Heparin binding growth factor 2 precursor,BFGF,FGF2,Basic FGF
Uniprot ID P09038
免疫原 KLH偶联的人FGF2合成肽
抗体亚型 IgG
纯化方式 亲和纯化
亚细胞定位 细胞核, 分泌型
应用
IHC/IF 免疫组织化学/免疫荧光
物种:人, 大鼠 (预测: 小鼠)
稀释比:1:1000-1:2000
阳性样品:胎盘
背景
The protein encoded by this gene is a member of the fibroblast growth factor (FGF) family. FGF family members bind heparin and possess broad mitogenic and angiogenic activities. This protein has been implicated in diverse biological processes, such as limb and nervous system development, wound healing, and tumor growth. The mRNA for this gene contains multiple polyadenylation sites, and is alternatively translated from non-AUG (CUG) and AUG initiation codons, resulting in five different isoforms with distinct properties.
储存条件
储存条件:储存条件在:-20℃下储存一年, 避免反复冻融.
储存缓冲液:含0.15% ProClin300防腐剂, 100 μg/mL牛血清白蛋白和50%甘油的磷酸盐缓冲液.
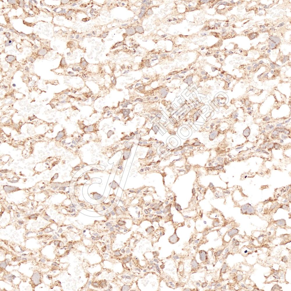
图像
IHC检测FGF2蛋白(货号 K1341910).
样品: 人胎盘, 4%多聚甲醛 (货号KSG1101) 固定12-24小时.
抗原修复: 柠檬酸抗原修复液(干粉, pH 6.0) (KSG1201), 98℃, 20分钟.
—抗: 1: 1500稀释, 4℃ 孵育过夜.
二抗: S-vision免疫组化多聚二抗(山羊抗兔),即用型 (货号KB3906), 室温孵育20分钟.
IHC检测FGF2蛋白(货号 K1341910).
样品: 大鼠胎盘, 4%多聚甲醛 (货号KSG1101) 固定12-24小时.
抗原修复: 柠檬酸抗原修复液(干粉, pH 6.0) (KSG1201), 98℃, 20分钟.
—抗: 1: 1500稀释, 4℃ 孵育过夜.
二抗: S-vision免疫组化多聚二抗(山羊抗兔),即用型 (货号KB3906), 室温孵育20分钟.

需要技术支持?

如果您有任何问题或如果您在实验过程中遇到问题,或需要更详细的技术指导,请联系我们的技术支持团队
电话 400-6027-270

联系我们

如果您对我们的公司或产品有任何疑问,欢迎随时联系我们