tel 400-6027-270
Main Image
Anti-FLAP 兔多克隆抗体
¥1900
加入对比
货号: K1345171-100
亚细胞定位: 细胞核, 膜
别名: DNase IV,FEN 1,FEN1,Flap endonuclease 1,flap structure endonuclease 1,hFEN 1,Maturation factor 1,MF1,RAD2
应用 | 种属
IHC/IF M
ICC/IF H
规格:
产品信息
蛋白质全称 花生四烯酸5-脂氧合酶激活蛋白
别名 DNase IV,FEN 1,FEN1,Flap endonuclease 1,flap structure endonuclease 1,hFEN 1,Maturation factor 1,MF1,RAD2
Uniprot ID P30355
免疫原 KLH偶联的小鼠FLAP合成肽
抗体亚型 IgG
纯化方式 亲和纯化
亚细胞定位 细胞核, 膜
应用
IHC/IF 免疫组织化学/免疫荧光
物种:小鼠
稀释比:1:500-1:2000
阳性样品:肺, 脾
ICC/IF 免疫细胞化学/免疫荧光
物种:人
稀释比:1:100-1:600
阳性样品:—
背景
Required for leukotriene biosynthesis by ALOX5 (5-lipoxygenase). Anchors ALOX5 to the membrane. Binds arachidonic acid, and could play an essential role in the transfer of arachidonic acid to ALOX5. Binds to MK-886, a compound that blocks the biosynthesis of leukotrienes (By similarity).
储存条件
储存条件:储存条件在:-20℃下储存一年, 避免反复冻融.
储存缓冲液:含0.15% ProClin300防腐剂, 100 μg/mL牛血清白蛋白和50%甘油的磷酸盐缓冲液.
图像
IHC检测FLAP蛋白(货号 K1345171).
样品: 小鼠肺, 4%多聚甲醛 (货号KSG1101) 固定12-24小时.
抗原修复: Tris-EDTA抗原修复液(pH 9.0) (KSG1203), 98℃, 20分钟.
—抗: 1: 1300稀释, 4℃ 孵育过夜.
二抗: S-vision免疫组化多聚二抗(山羊抗兔),即用型 (货号KB3906), 室温孵育20分钟.
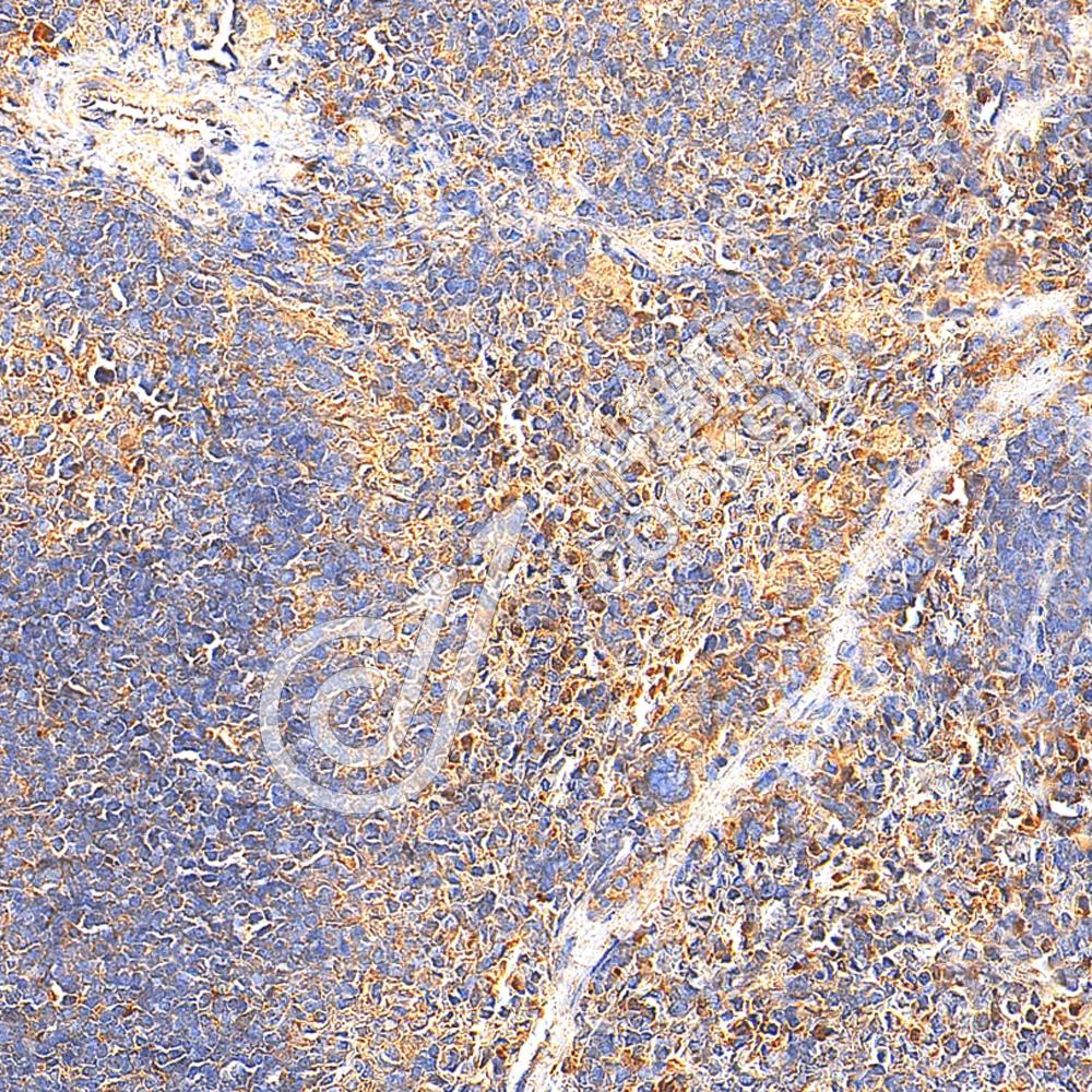
IHC检测FLAP蛋白(货号 K1345171).
样品: 小鼠脾, 4%多聚甲醛 (货号KSG1101) 固定12-24小时.
抗原修复: Tris-EDTA抗原修复液(pH 9.0) (KSG1203), 98℃, 20分钟.
—抗: 1: 1300稀释, 4℃ 孵育过夜.
二抗: S-vision免疫组化多聚二抗(山羊抗兔),即用型 (货号KB3906), 室温孵育20分钟.

需要技术支持?

如果您有任何问题或如果您在实验过程中遇到问题,或需要更详细的技术指导,请联系我们的技术支持团队
电话 400-6027-270

联系我们

如果您对我们的公司或产品有任何疑问,欢迎随时联系我们