tel 400-6027-270
Main Image
Anti-BEND6 兔多克隆抗体
¥1900
加入对比
货号: K1345237-100
亚细胞定位: 细胞核
别名: bA203B9.1,C6orf65,FLJ30162
应用 | 种属
IHC/IF M,R
规格:
产品信息
蛋白质全称 含BEN结构域的蛋白6
别名 bA203B9.1,C6orf65,FLJ30162
Uniprot ID Q6PFX2
免疫原 KLH偶联的小鼠BEND6合成肽
抗体亚型 IgG
纯化方式 亲和纯化
亚细胞定位 细胞核
应用
IHC/IF 免疫组织化学/免疫荧光
物种:小鼠,大鼠
稀释比:1:500-1:2000
阳性样品:肝
背景
Acts as a corepressor of recombining binding protein suppressor hairless (RBPJ) and inhibits Notch signaling in neural stem cells, thereby opposing their self-renewal and promoting neurogenesis.
储存条件
储存条件:储存条件在:-20℃下储存一年, 避免反复冻融.
储存缓冲液:含0.15% ProClin300防腐剂, 100 μg/mL牛血清白蛋白和50%甘油的磷酸盐缓冲液.
图像
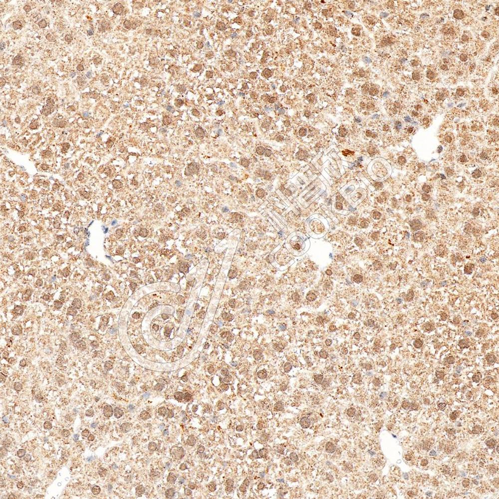
IHC检测BEND6蛋白(货号 K1345237).
样品: 小鼠肝, 4%多聚甲醛 (货号KSG1101) 固定12-24小时.
抗原修复: Tris-EDTA抗原修复液(pH 9.0) (KSG1203), 98℃, 20分钟.
—抗: 1: 1300稀释, 4℃ 孵育过夜.
二抗: S-vision免疫组化多聚二抗(山羊抗兔),即用型 (货号KB3906), 室温孵育20分钟.
IHC检测BEND6蛋白(货号 K1345237).
样品: 小鼠肝, 4%多聚甲醛 (货号KSG1101) 固定12-24小时.
抗原修复: Tris-EDTA抗原修复液(pH 9.0) (KSG1203), 98℃, 20分钟.
—抗: 1: 1300稀释, 4℃ 孵育过夜.
二抗: S-vision免疫组化多聚二抗(山羊抗兔),即用型 (货号KB3906), 室温孵育20分钟.

需要技术支持?

如果您有任何问题或如果您在实验过程中遇到问题,或需要更详细的技术指导,请联系我们的技术支持团队
电话 400-6027-270

联系我们

如果您对我们的公司或产品有任何疑问,欢迎随时联系我们