tel 400-6027-270
Main Image
Anti-PLK5 兔多克隆抗体
¥1900
加入对比
货号: K1340116-100
亚细胞定位: 细胞质, 细胞核
别名: PLK5,PLK5P,polo like kinase 5 pseudogene,SgK384ps
应用 | 种属
IHC/IF M
规格:
产品信息
蛋白质全称 失活PLK5激酶
别名 PLK5,PLK5P,polo like kinase 5 pseudogene,SgK384ps
Uniprot ID Q4FZD7
免疫原 KLH偶联的小鼠PLK5合成肽
抗体亚型 IgG
纯化方式 亲和纯化
亚细胞定位 细胞质, 细胞核
应用
IHC/IF 免疫组织化学/免疫荧光
物种:小鼠
稀释比:1:2000-1:4000
阳性样品:脑, 小脑
背景
PLK5, also named as PLK5P, is an inactive serine/threonine-protein kinase that plays a role in cell cycle progression and neuronal differentiation. Compared with mouse Plk5, the protein kinase domain of human PLK5 is truncated. This is the reason that the MW of mouse Plk5 is about 50-70 kDa, the MW of human PLK5 is about 32-40 kDa. This antibody detects both PLK5 gene of human and mouse.
储存条件
储存条件:储存条件在:-20℃下储存一年, 避免反复冻融.
储存缓冲液:含0.15% ProClin300防腐剂, 100 μg/mL牛血清白蛋白和50%甘油的磷酸盐缓冲液.
图像
IHC检测PLK5蛋白(货号 K1340116).
样品: 小鼠脑, 4%多聚甲醛 (货号KSG1101) 固定12-24小时.
抗原修复: Tris-EDTA抗原修复液(pH 9.0) (KSG1203), 98℃, 20分钟.
—抗: 1: 3000稀释, 4℃ 孵育过夜.
二抗: S-vision免疫组化多聚二抗(山羊抗兔),即用型 (货号KB3906), 室温孵育20分钟.
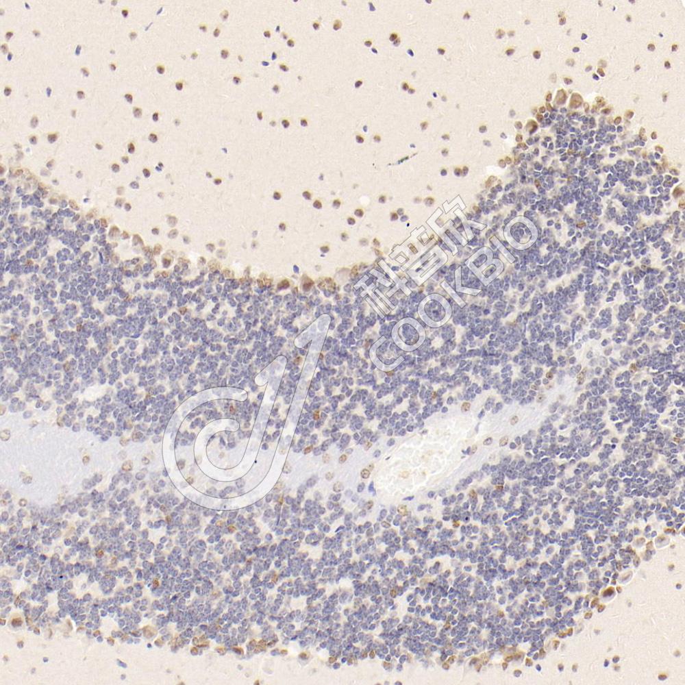
IHC检测PLK5蛋白(货号 K1340116).
样品: 小鼠小脑, 4%多聚甲醛 (货号KSG1101) 固定12-24小时.
抗原修复: Tris-EDTA抗原修复液(pH 9.0) (KSG1203), 98℃, 20分钟.
—抗: 1: 3000稀释, 4℃ 孵育过夜.
二抗: S-vision免疫组化多聚二抗(山羊抗兔),即用型 (货号KB3906), 室温孵育20分钟.

需要技术支持?

如果您有任何问题或如果您在实验过程中遇到问题,或需要更详细的技术指导,请联系我们的技术支持团队
电话 400-6027-270

联系我们

如果您对我们的公司或产品有任何疑问,欢迎随时联系我们