tel 400-6027-270
Main Image
Anti-YAP1 兔多克隆抗体
¥1900
加入对比
货号: K1341925-100
预测分子量: 54 kDa
观测分子量: 78 kDa
亚细胞定位: 细胞核, 细胞质
别名: YAP1,COB1,YAP,YAP2,YAP65,YKI,Yes associated protein 1,Yap,65 kDa Yes associated protein,Yorkie homolog
应用 | 种属
WB H,M,R
IHC/IF H
ICC/IF H
规格:
产品信息
蛋白质全称 转录共激活因子YAP1
别名 YAP1,COB1,YAP,YAP2,YAP65,YKI,Yes associated protein 1,Yap,65 kDa Yes associated protein,Yorkie homolog
Uniprot ID P46937
免疫原 人YAP1重组蛋白
抗体亚型 IgG
纯化方式 亲和纯化
亚细胞定位 细胞核, 细胞质
预测分子量./观测分子量. 54 kDa / 78 kDa
应用
WB 免疫印迹
物种:人,小鼠,大鼠
稀释比:1:500-1:1000
阳性样品:—
IHC/IF 免疫组织化学/免疫荧光
物种:人
稀释比:1:1000-1:1500
阳性样品:结肠癌, 食管癌
ICC/IF 免疫细胞化学/免疫荧光
物种:人
稀释比:1:500-1:1000
阳性样品:—
背景
YAP1 is a transcriptional co-activator and its proliferative and oncogenic activity is driven by its association with the TEAD family of transcription factors, which up-regulate genes that promote cell growth and inhibit apoptosis. Several other functional partners of YAP1 were identified, including RUNX, SMADs, p73, ErbB4,TP53BP, LATS1/2, PTPN14, AMOTs, and ZO1/2. YAP1 and its close paralog, TAZ (WWTR1), are the main effectors of the Hippo tumor suppressor pathway.
储存条件
储存条件:储存条件在:-20℃下储存一年, 避免反复冻融.
储存缓冲液:含0.15% ProClin300防腐剂, 100 μg/mL牛血清白蛋白和50%甘油的磷酸盐缓冲液.
图像
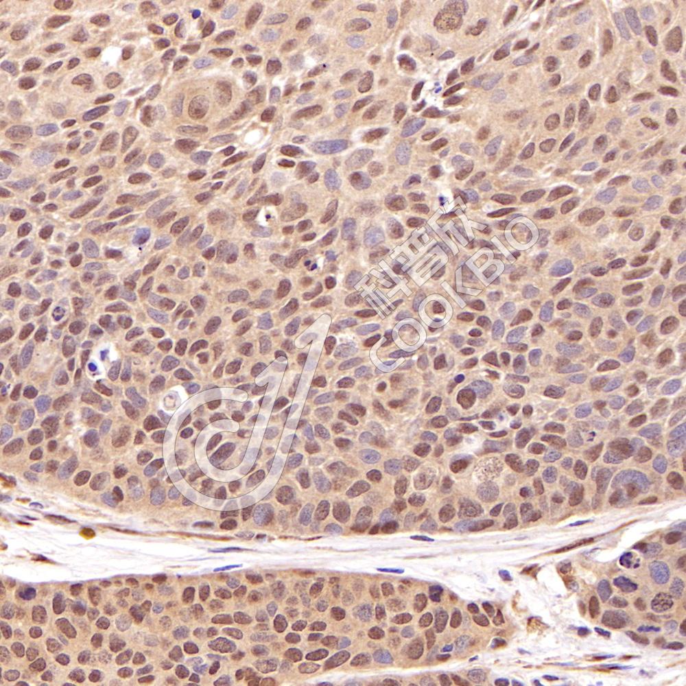
IHC检测YAP1蛋白(货号 K1341925).
样品: 人结肠癌, 4%多聚甲醛 (货号KSG1101) 固定12-24小时.
抗原修复: 柠檬酸抗原修复液(干粉, pH 6.0) (KSG1201), 98℃, 20分钟.
—抗: 1: 1300稀释, 4℃ 孵育过夜.
二抗: S-vision免疫组化多聚二抗(山羊抗兔),即用型 (货号KB3906), 室温孵育20分钟.
IHC检测YAP1蛋白(货号 K1341925).
样品: 人食管癌, 4%多聚甲醛 (货号KSG1101) 固定12-24小时.
抗原修复: 柠檬酸抗原修复液(干粉, pH 6.0) (KSG1201), 98℃, 20分钟.
—抗: 1: 1300稀释, 4℃ 孵育过夜.
二抗: S-vision免疫组化多聚二抗(山羊抗兔),即用型 (货号KB3906), 室温孵育20分钟.

需要技术支持?

如果您有任何问题或如果您在实验过程中遇到问题,或需要更详细的技术指导,请联系我们的技术支持团队
电话 400-6027-270

联系我们

如果您对我们的公司或产品有任何疑问,欢迎随时联系我们