tel 400-6027-270
Main Image
Anti-SH3PXD2A 兔多克隆抗体
¥1900
加入对比
货号: K1346140-100
亚细胞定位: 细胞质
别名: Adapter protein TKS5,FISH,KIAA0418,SH3 and PX domains 2A,SH3 multiple domains protein 1,SH3MD1,SH3PXD2A,TKS5
应用 | 种属
IHC/IF H
规格:
产品信息
蛋白质全称 含SH3和PX结构域的蛋白2A
别名 Adapter protein TKS5,FISH,KIAA0418,SH3 and PX domains 2A,SH3 multiple domains protein 1,SH3MD1,SH3PXD2A,TKS5
Uniprot ID O89032
免疫原 小鼠SH3PXD2A重组蛋白
抗体亚型 IgG
纯化方式 亲和纯化
亚细胞定位 细胞质
应用
IHC/IF 免疫组织化学/免疫荧光
物种:人
稀释比:1:500-1:1500
阳性样品:子宫内膜癌, 胃癌
背景
Adapter protein involved in invadopodia and podosome formation, extracellular matrix degradation and invasiveness of some cancer cells. Binds matrix metalloproteinases (ADAMs), NADPH oxidases (NOXs) and phosphoinositides. Acts as an organizer protein that allows NOX1- or NOX3-dependent reactive oxygen species (ROS) generation and ROS localization. In association with ADAM12, mediates the neurotoxic effect of amyloid-beta peptide.
储存条件
储存条件:储存条件在:-20℃下储存一年, 避免反复冻融.
储存缓冲液:含0.15% ProClin300防腐剂, 100 μg/mL牛血清白蛋白和50%甘油的磷酸盐缓冲液.
图像
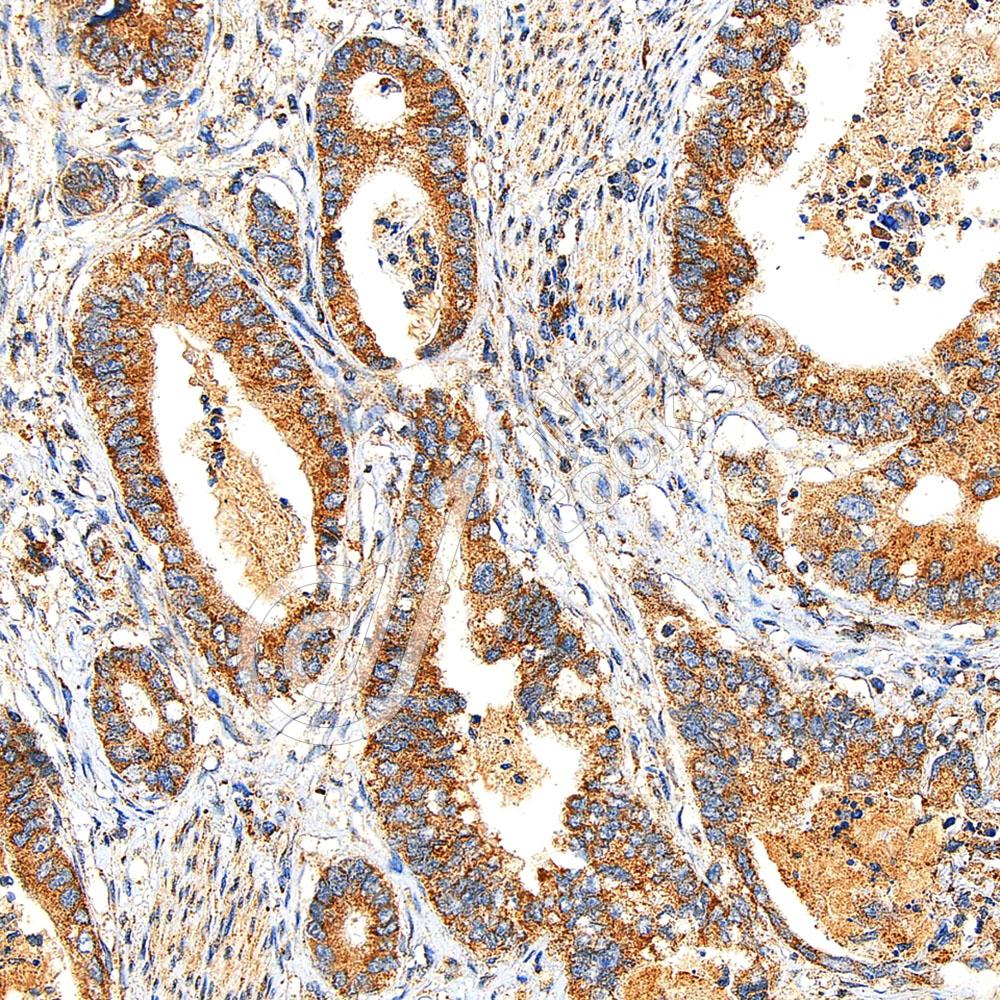
IHC检测SH3PXD2A蛋白(货号 K1346140).
样品: 人子宫内膜癌, 4%多聚甲醛 (货号KSG1101) 固定12-24小时.
抗原修复: Tris-EDTA抗原修复液(pH 9.0) (KSG1203), 98℃, 20分钟.
—抗: 1: 1000稀释, 4℃ 孵育过夜.
二抗: S-vision免疫组化多聚二抗(山羊抗兔),即用型 (货号KB3906), 室温孵育20分钟.
IHC检测SH3PXD2A蛋白(货号 K1346140).
样品: 人胃癌, 4%多聚甲醛 (货号KSG1101) 固定12-24小时.
抗原修复: Tris-EDTA抗原修复液(pH 9.0) (KSG1203), 98℃, 20分钟.
—抗: 1: 1000稀释, 4℃ 孵育过夜.
二抗: S-vision免疫组化多聚二抗(山羊抗兔),即用型 (货号KB3906), 室温孵育20分钟.

需要技术支持?

如果您有任何问题或如果您在实验过程中遇到问题,或需要更详细的技术指导,请联系我们的技术支持团队
电话 400-6027-270

联系我们

如果您对我们的公司或产品有任何疑问,欢迎随时联系我们