tel 400-6027-270
Main Image
Anti-Telomerase reverse transcriptase 兔多克隆抗体
¥1900
加入对比
货号: K135745-100
亚细胞定位: 细胞核
别名: Tert,TERT,CMM9,DKCA2,DKCB4,EST2,PFBMFT1,TCS1,TP2,TRT,hEST2,hTRT,Telomerase reverse transcriptase
应用 | 种属
IHC/IF R
规格:
产品信息
蛋白质全称 端粒酶逆转录酶
别名 Tert,TERT,CMM9,DKCA2,DKCB4,EST2,PFBMFT1,TCS1,TP2,TRT,hEST2,hTRT,Telomerase reverse transcriptase
Uniprot ID O70372
免疫原 KLH偶联的小鼠TERT合成肽
抗体亚型 IgG
纯化方式 亲和纯化
亚细胞定位 细胞核
应用
IHC/IF 免疫组织化学/免疫荧光
物种:大鼠
稀释比:1:500-1:3000
阳性样品:心, 肺
背景
Telomerase is a ribonucleoprotein enzyme essential for the replication of chromosome termini in most eukaryotes. Active in progenitor and cancer cells. Inactive, or very low activity, in normal somatic cells. Catalytic component of the teleromerase holoenzyme complex whose main activity is the elongation of telomeres by acting as a reverse transcriptase that adds simple sequence repeats to chromosome ends by copying a template sequence within the RNA component of the enzyme.
储存条件
储存条件:储存条件在:-20℃下储存一年, 避免反复冻融.
储存缓冲液:含0.15% ProClin300防腐剂, 100 μg/mL牛血清白蛋白和50%甘油的磷酸盐缓冲液.
图像
IHC检测Telomerase reverse transcriptase蛋白(货号 K135745).
样品: 大鼠心, 4%多聚甲醛 (货号KSG1101) 固定12-24小时.
抗原修复: 柠檬酸抗原修复液(干粉, pH 6.0) (KSG1201), 98℃, 20分钟.
—抗: 1: 1800稀释, 4℃ 孵育过夜.
二抗: S-vision免疫组化多聚二抗(山羊抗兔),即用型 (货号KB3906), 室温孵育20分钟.
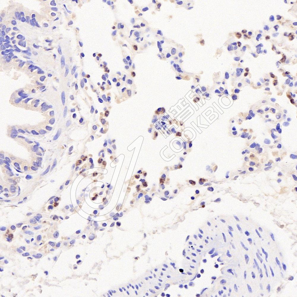
IHC检测Telomerase reverse transcriptase蛋白(货号 K135745).
样品: 大鼠肺, 4%多聚甲醛 (货号KSG1101) 固定12-24小时.
抗原修复: 柠檬酸抗原修复液(干粉, pH 6.0) (KSG1201), 98℃, 20分钟.
—抗: 1: 1800稀释, 4℃ 孵育过夜.
二抗: S-vision免疫组化多聚二抗(山羊抗兔),即用型 (货号KB3906), 室温孵育20分钟.

需要技术支持?

如果您有任何问题或如果您在实验过程中遇到问题,或需要更详细的技术指导,请联系我们的技术支持团队
电话 400-6027-270

联系我们

如果您对我们的公司或产品有任何疑问,欢迎随时联系我们