tel 400-6027-270
Main Image
Anti-RPS6KL1 兔多克隆抗体
¥1900
加入对比
货号: K1344403-100
预测分子量: 60 kDa
观测分子量: 55 kDa
亚细胞定位: 细胞质, 细胞核
别名: FLJ35734,MGC11287
应用 | 种属
WB M,R
IHC/IF H,M,R
规格:
产品信息
蛋白质全称 核糖体蛋白S6激酶样1
别名 FLJ35734,MGC11287
Uniprot ID Q8R2S1
免疫原 KLH偶联的小鼠RPS6KL1合成肽
抗体亚型 IgG
纯化方式 亲和纯化
亚细胞定位 细胞质, 细胞核
预测分子量./观测分子量. 60 kDa / 55 kDa
应用
WB 免疫印迹
物种:小鼠,大鼠
稀释比:1:800-1:1200
阳性样品:—
IHC/IF 免疫组织化学/免疫荧光
物种:人,小鼠,大鼠
稀释比:1:1000-1:3000
阳性样品:阿尔茨海默病脑, 睾丸
背景
RPS6KL1 is a 549 amino acid protein that belongs to the Ser/Thr protein kinase family, S6 kinase subfamily and protein kinase superfamily. Existing as three alternatively spliced isoforms, RPS6KL1 contains one MIT domain and a protein kinase domain. The gene encoding RPS6KL1 maps to human chromosome 14, which houses over 700 genes and comprises nearly 3.5% of the human genome.
储存条件
储存条件:储存条件在:-20℃下储存一年, 避免反复冻融.
储存缓冲液:含0.15% ProClin300防腐剂, 100 μg/mL牛血清白蛋白和50%甘油的磷酸盐缓冲液.
图像
IHC检测RPS6KL1蛋白(货号 K1344403).
样品: 小鼠阿尔茨海默病脑, 4%多聚甲醛 (货号KSG1101) 固定12-24小时.
抗原修复: 柠檬酸抗原修复液(干粉, pH 6.0) (KSG1201), 98℃, 20分钟.
—抗: 1: 2000稀释, 4℃ 孵育过夜.
二抗: S-vision免疫组化多聚二抗(山羊抗兔),即用型 (货号KB3906), 室温孵育20分钟.
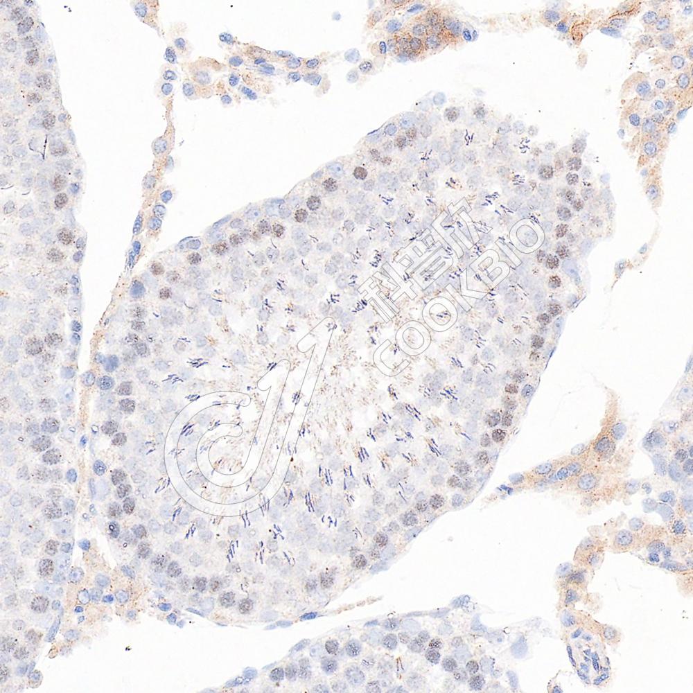
IHC检测RPS6KL1蛋白(货号 K1344403).
样品: 大鼠睾丸, 4%多聚甲醛 (货号KSG1101) 固定12-24小时.
抗原修复: 柠檬酸抗原修复液(干粉, pH 6.0) (KSG1201), 98℃, 20分钟.
—抗: 1: 2000稀释, 4℃ 孵育过夜.
二抗: S-vision免疫组化多聚二抗(山羊抗兔),即用型 (货号KB3906), 室温孵育20分钟.

需要技术支持?

如果您有任何问题或如果您在实验过程中遇到问题,或需要更详细的技术指导,请联系我们的技术支持团队
电话 400-6027-270

联系我们

如果您对我们的公司或产品有任何疑问,欢迎随时联系我们