tel 400-6027-270
Main Image
Anti-GRB7 兔多克隆抗体
¥1900
加入对比
货号: K1343491-100
亚细胞定位: 细胞质
别名: B47,GRB7,GRB7 adapter protein
应用 | 种属
IHC/IF H
规格:
产品信息
蛋白质全称 生长因子受体结合蛋白7
别名 B47,GRB7,GRB7 adapter protein
Uniprot ID Q03160
免疫原 小鼠GRB7重组蛋白
抗体亚型 IgG
纯化方式 亲和纯化
亚细胞定位 细胞质
应用
IHC/IF 免疫组织化学/免疫荧光
物种:人
稀释比:1:500-1:1000
阳性样品:乳腺癌, 结肠癌
背景
Adapter protein that interacts with the cytoplasmic domain of numerous receptor kinases and modulates down-stream signaling. Promotes activation of down-stream protein kinases, including STAT3, AKT1, MAPK1 and/or MAPK3. Promotes activation of HRAS. Plays a role in signal transduction in response to EGF. Plays a role in the regulation of cell proliferation and cell migration (By similarity). Plays a role in the assembly and stability of RNA stress granules. Binds to the 5'UTR of target mRNA molecules and represses translation of target mRNA species, when not phosphorylated.
储存条件
储存条件:储存条件在:-20℃下储存一年, 避免反复冻融.
储存缓冲液:含0.15% ProClin300防腐剂, 100 μg/mL牛血清白蛋白和50%甘油的磷酸盐缓冲液.
图像
IHC检测GRB7蛋白(货号 K1343491).
样品: 人乳腺癌, 4%多聚甲醛 (货号KSG1101) 固定12-24小时.
抗原修复: 柠檬酸抗原修复液(干粉, pH 6.0) (KSG1201), 98℃, 20分钟.
—抗: 1: 800稀释, 4℃ 孵育过夜.
二抗: S-vision免疫组化多聚二抗(山羊抗兔),即用型 (货号KB3906), 室温孵育20分钟.
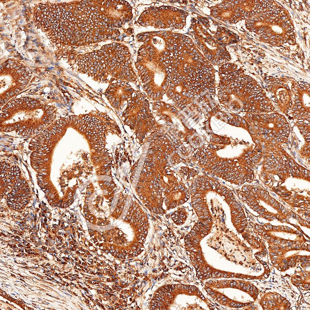
IHC检测GRB7蛋白(货号 K1343491).
样品: 人结肠癌, 4%多聚甲醛 (货号KSG1101) 固定12-24小时.
抗原修复: 柠檬酸抗原修复液(干粉, pH 6.0) (KSG1201), 98℃, 20分钟.
—抗: 1: 800稀释, 4℃ 孵育过夜.
二抗: S-vision免疫组化多聚二抗(山羊抗兔),即用型 (货号KB3906), 室温孵育20分钟.

需要技术支持?

如果您有任何问题或如果您在实验过程中遇到问题,或需要更详细的技术指导,请联系我们的技术支持团队
电话 400-6027-270

联系我们

如果您对我们的公司或产品有任何疑问,欢迎随时联系我们