tel 400-6027-270
Main Image
Anti-CNDP1/CN1 兔多克隆抗体
¥1900
加入对比
货号: K1341301-100
亚细胞定位: 细胞质
别名: Carnosine dipeptidase 1,CN1,CNDP dipeptidase 1,CNDP1,CPGL2,HsT2308,Serum carnosinase
应用 | 种属
IHC/IF M,R
规格:
产品信息
蛋白质全称 β-丙氨酰组氨酸二肽酶
别名 Carnosine dipeptidase 1,CN1,CNDP dipeptidase 1,CNDP1,CPGL2,HsT2308,Serum carnosinase
Uniprot ID Q8BUG2
免疫原 KLH偶联的小鼠CNDP1/CN1合成肽
抗体亚型 IgG
纯化方式 亲和纯化
亚细胞定位 细胞质
应用
IHC/IF 免疫组织化学/免疫荧光
物种:小鼠,大鼠
稀释比:1:300-1:600
阳性样品:海马区
背景
This gene encodes a member of the M20 metalloprotease family. The encoded protein is specifically expressed in the brain, is a homodimeric dipeptidase which was identified as human carnosinase. This gene contains trinucleotide (CTG) repeat length polymorphism in the coding region.
储存条件
储存条件:储存条件在:-20℃下储存一年, 避免反复冻融.
储存缓冲液:含0.15% ProClin300防腐剂, 100 μg/mL牛血清白蛋白和50%甘油的磷酸盐缓冲液.
图像
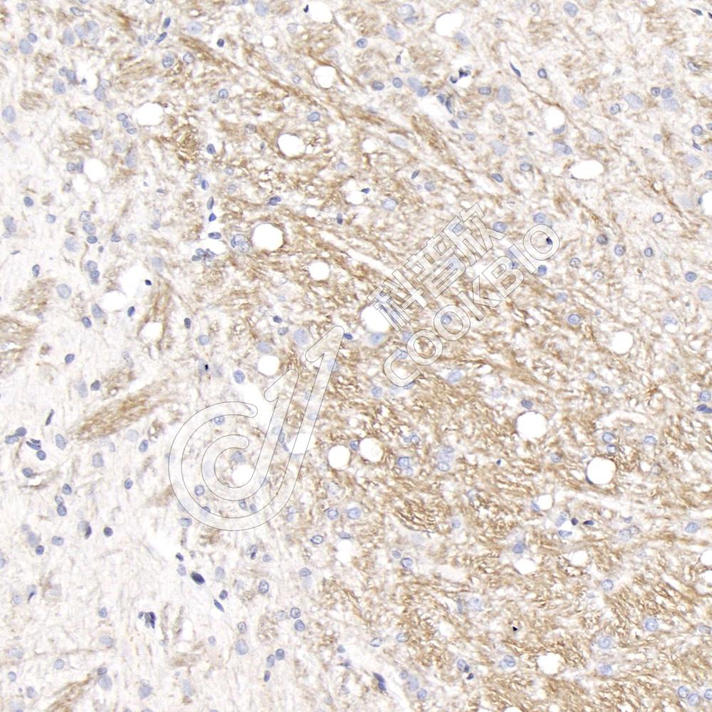
IHC检测CNDP1/CN1蛋白(货号 K1341301).
样品: 小鼠海马区, 4%多聚甲醛 (货号KSG1101) 固定12-24小时.
抗原修复: 柠檬酸抗原修复液(干粉, pH 6.0) (KSG1201), 98℃, 20分钟.
—抗: 1: 500稀释, 4℃ 孵育过夜.
二抗: S-vision免疫组化多聚二抗(山羊抗兔),即用型 (货号KB3906), 室温孵育20分钟.
IHC检测CNDP1/CN1蛋白(货号 K1341301).
样品: 大鼠海马区, 4%多聚甲醛 (货号KSG1101) 固定12-24小时.
抗原修复: 柠檬酸抗原修复液(干粉, pH 6.0) (KSG1201), 98℃, 20分钟.
—抗: 1: 500稀释, 4℃ 孵育过夜.
二抗: S-vision免疫组化多聚二抗(山羊抗兔),即用型 (货号KB3906), 室温孵育20分钟.

需要技术支持?

如果您有任何问题或如果您在实验过程中遇到问题,或需要更详细的技术指导,请联系我们的技术支持团队
电话 400-6027-270

联系我们

如果您对我们的公司或产品有任何疑问,欢迎随时联系我们