tel 400-6027-270
Main Image
Anti-CPI-17 兔多克隆抗体
¥1900
加入对比
货号: K1335037-100
预测分子量: 17 kDa
观测分子量: 17 kDa
亚细胞定位: 细胞质
别名: 17 kDa PKC-potentiated inhibitory protein of PP1,Protein kinase C-potentiated inhibitor protein of 17 kDa,CPI-17,Ppp1r14a,Cpi17CPI17 alpha,PPP1INL,Regulatory subunit 14A
应用 | 种属
WB M,R
IHC/IF M,R
规格:
产品信息
蛋白质全称 蛋白磷酸酶1调节亚基14A
别名 17 kDa PKC-potentiated inhibitory protein of PP1,Protein kinase C-potentiated inhibitor protein of 17 kDa,CPI-17,Ppp1r14a,Cpi17CPI17 alpha,PPP1INL,Regulatory subunit 14A
Uniprot ID Q91VC7
免疫原 小鼠CPI-17重组蛋白
抗体亚型 IgG
纯化方式 亲和纯化
亚细胞定位 细胞质
预测分子量./观测分子量. 17 kDa / 17 kDa
应用
WB 免疫印迹
物种:小鼠,大鼠
稀释比:1:500-1:1000
阳性样品:—
IHC/IF 免疫组织化学/免疫荧光
物种:小鼠,大鼠
稀释比:1:700-1:2000
阳性样品:脑
背景
PPP1R14A, also named as CPI17, belongs to the protein phosphatase 1 (PP1) inhibitor family. This protein is an inhibitor of smooth muscle myosin phosphatase, and has higher inhibitory activity when phosphorylated. Inhibition of myosin phosphatase leads to increased myosin phosphorylation and enhanced smooth muscle contraction. CPI17 has two isoforms:CPI-17alpha (17 kDa) and CPI-17beta (13 kDa).
储存条件
储存条件:储存条件在:-20℃下储存一年, 避免反复冻融.
储存缓冲液:含0.15% ProClin300防腐剂, 100 μg/mL牛血清白蛋白和50%甘油的磷酸盐缓冲液.
图像
IHC检测CPI-17蛋白(货号 K1335037).
样品: 小鼠脑, 4%多聚甲醛 (货号KSG1101) 固定12-24小时.
抗原修复: 柠檬酸抗原修复液(干粉, pH 6.0) (KSG1201), 98℃, 20分钟.
—抗: 1: 1400稀释, 4℃ 孵育过夜.
二抗: S-vision免疫组化多聚二抗(山羊抗兔),即用型 (货号KB3906), 室温孵育20分钟.
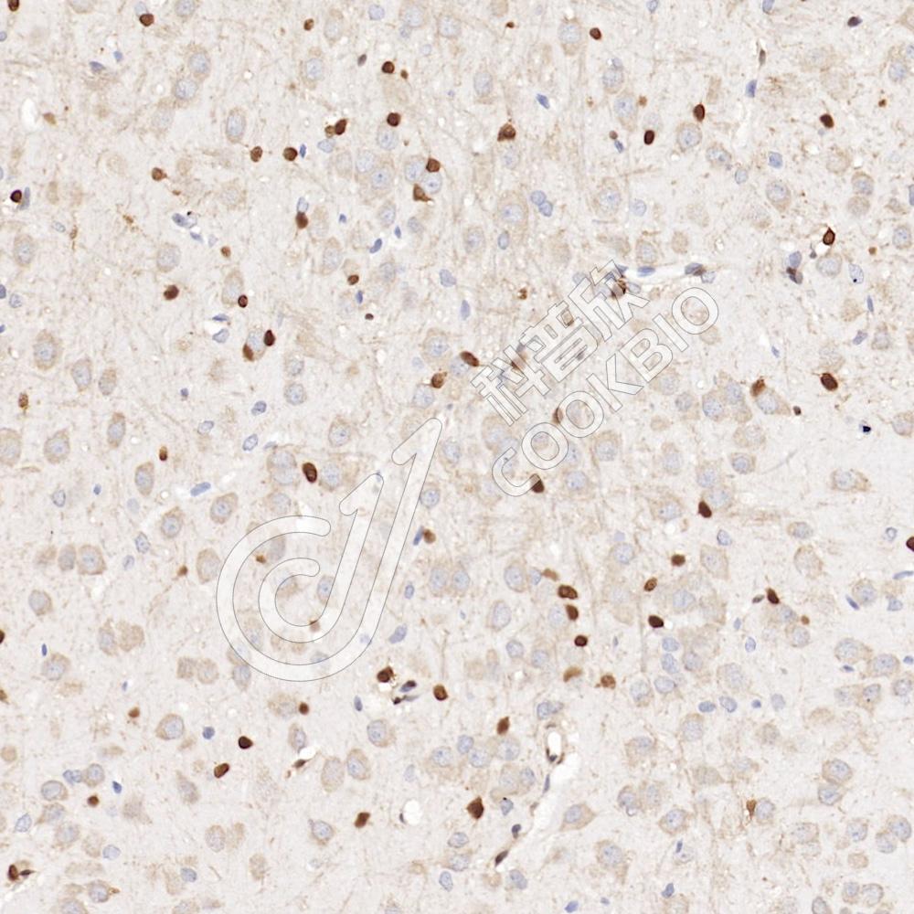
IHC检测CPI-17蛋白(货号 K1335037).
样品: 大鼠脑, 4%多聚甲醛 (货号KSG1101) 固定12-24小时.
抗原修复: 柠檬酸抗原修复液(干粉, pH 6.0) (KSG1201), 98℃, 20分钟.
—抗: 1: 1400稀释, 4℃ 孵育过夜.
二抗: S-vision免疫组化多聚二抗(山羊抗兔),即用型 (货号KB3906), 室温孵育20分钟.

需要技术支持?

如果您有任何问题或如果您在实验过程中遇到问题,或需要更详细的技术指导,请联系我们的技术支持团队
电话 400-6027-270

联系我们

如果您对我们的公司或产品有任何疑问,欢迎随时联系我们