tel 400-6027-270
Main Image
Anti-PIP5KL1 兔多克隆抗体
¥1900
加入对比
货号: K1344091-100
亚细胞定位: 细胞质, 膜
别名: PI(4)P 5 kinase like protein 1,PIP5KL1,PIPKH
应用 | 种属
IHC/IF H,M,R
规格:
产品信息
蛋白质全称 磷脂酰肌醇4-磷酸5-激酶样蛋白1
别名 PI(4)P 5 kinase like protein 1,PIP5KL1,PIPKH
Uniprot ID Q6U7H8
免疫原 小鼠PIP5KL1重组蛋白
抗体亚型 IgG
纯化方式 亲和纯化
亚细胞定位 细胞质, 膜
应用
IHC/IF 免疫组织化学/免疫荧光
物种:人,小鼠,大鼠
稀释比:1:1000-1:3000
阳性样品:肾
背景
May act as a scaffold to localize and regulate type I PI(4)P 5-kinases to specific compartments within the cell, where they generate PI(4,5)P2 for actin nucleation, signaling and scaffold protein recruitment and conversion to PI(3,4,5)P3.
储存条件
储存条件:储存条件在:-20℃下储存一年, 避免反复冻融.
储存缓冲液:含0.15% ProClin300防腐剂, 100 μg/mL牛血清白蛋白和50%甘油的磷酸盐缓冲液.
图像
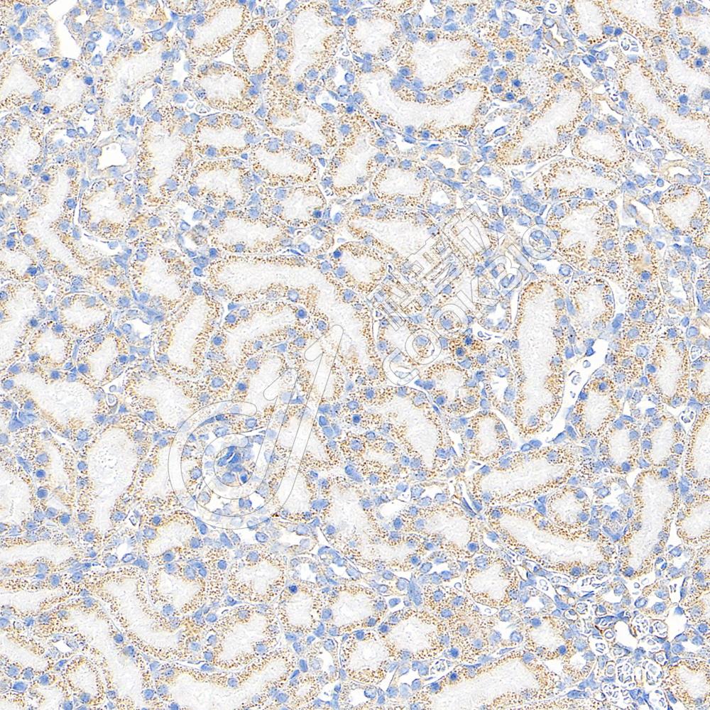
IHC检测PIP5KL1蛋白(货号 K1344091).
样品: 小鼠肾, 4%多聚甲醛 (货号KSG1101) 固定12-24小时.
抗原修复: 柠檬酸抗原修复液(干粉, pH 6.0) (KSG1201), 98℃, 20分钟.
—抗: 1: 2000稀释, 4℃ 孵育过夜.
二抗: S-vision免疫组化多聚二抗(山羊抗兔),即用型 (货号KB3906), 室温孵育20分钟.
IHC检测PIP5KL1蛋白(货号 K1344091).
样品: 大鼠肾, 4%多聚甲醛 (货号KSG1101) 固定12-24小时.
抗原修复: 柠檬酸抗原修复液(干粉, pH 6.0) (KSG1201), 98℃, 20分钟.
—抗: 1: 2000稀释, 4℃ 孵育过夜.
二抗: S-vision免疫组化多聚二抗(山羊抗兔),即用型 (货号KB3906), 室温孵育20分钟.

需要技术支持?

如果您有任何问题或如果您在实验过程中遇到问题,或需要更详细的技术指导,请联系我们的技术支持团队
电话 400-6027-270

联系我们

如果您对我们的公司或产品有任何疑问,欢迎随时联系我们