tel 400-6027-270
Main Image
Anti-HDAC4 兔多克隆抗体
¥1900
加入对比
货号: K1346728-100
亚细胞定位: 细胞核, 细胞质
别名: HA6116,HD4,HDAC A,HDAC4,HDACA,histone deacetylase 4,KIAA0288
应用 | 种属
IHC/IF H,M,R
规格:
产品信息
蛋白质全称 组蛋白去乙酰化酶4
别名 HA6116,HD4,HDAC A,HDAC4,HDACA,histone deacetylase 4,KIAA0288
Uniprot ID Q6NZM9
免疫原 KLH偶联的小鼠HDAC4合成肽
抗体亚型 IgG
纯化方式 亲和纯化
亚细胞定位 细胞核, 细胞质
应用
IHC/IF 免疫组织化学/免疫荧光
物种:人,小鼠,大鼠
稀释比:1:50-1:150
阳性样品:宫颈癌, 肾
背景
Responsible for the deacetylation of lysine residues on the N-terminal part of the core histones. Histone deacetylation gives a tag for epigenetic repression and plays an important role in transcriptional regulation, cell cycle progression and developmental events. Histone deacetylases act via the formation of large multiprotein complexes. Involved in muscle maturation via its interaction with the myocyte enhancer factors such as MEF2A, MEF2C and MEF2D. Deacetylates HSPA1A and HSPA1A at 'Lys-77' leading to their preferential binding to co-chaperone STUB1.
储存条件
储存条件:储存条件在:-20℃下储存一年, 避免反复冻融.
储存缓冲液:含0.15% ProClin300防腐剂, 100 μg/mL牛血清白蛋白和50%甘油的磷酸盐缓冲液.
图像
IHC检测HDAC4蛋白(货号 K1346728).
样品: 人宫颈癌, 4%多聚甲醛 (货号KSG1101) 固定12-24小时.
抗原修复: Tris-EDTA抗原修复液(pH 9.0) (KSG1203), 98℃, 20分钟.
—抗: 1: 100稀释, 4℃ 孵育过夜.
二抗: S-vision免疫组化多聚二抗(山羊抗兔),即用型 (货号KB3906), 室温孵育20分钟.
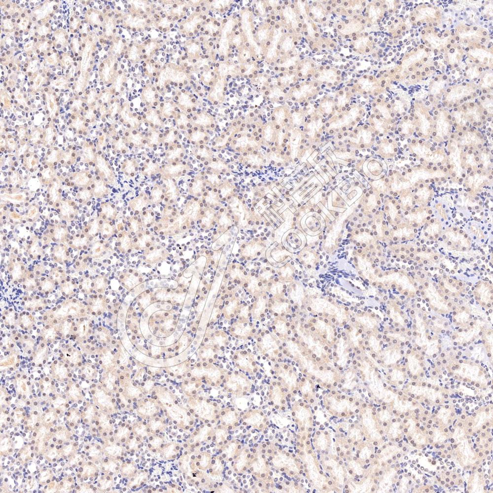
IHC检测HDAC4蛋白(货号 K1346728).
样品: 小鼠肾, 4%多聚甲醛 (货号KSG1101) 固定12-24小时.
抗原修复: Tris-EDTA抗原修复液(pH 9.0) (KSG1203), 98℃, 20分钟.
—抗: 1: 100稀释, 4℃ 孵育过夜.
二抗: S-vision免疫组化多聚二抗(山羊抗兔),即用型 (货号KB3906), 室温孵育20分钟.
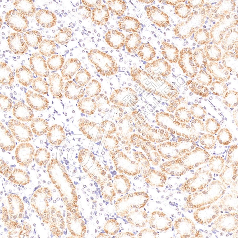
IHC检测HDAC4蛋白(货号 K1346728).
样品: 大鼠肾, 4%多聚甲醛 (货号KSG1101) 固定12-24小时.
抗原修复: Tris-EDTA抗原修复液(pH 9.0) (KSG1203), 98℃, 20分钟.
—抗: 1: 100稀释, 4℃ 孵育过夜.
二抗: S-vision免疫组化多聚二抗(山羊抗兔),即用型 (货号KB3906), 室温孵育20分钟.

需要技术支持?

如果您有任何问题或如果您在实验过程中遇到问题,或需要更详细的技术指导,请联系我们的技术支持团队
电话 400-6027-270

联系我们

如果您对我们的公司或产品有任何疑问,欢迎随时联系我们