tel 400-6027-270
Main Image
Anti-Osteoprotegerin 兔多克隆抗体
¥1900
加入对比
货号: K1347118-100
亚细胞定位: 分泌型
别名: Osteoclastogenesis inhibitory factor,Tnfrsf11b,Ocif,Opg,PDB5,TR1,TNFRSF11B,OCIF,OPG,PDB5
应用 | 种属
IHC/IF M,R
规格:
产品信息
蛋白质全称 肿瘤坏死因子受体超家族成员11B
别名 Osteoclastogenesis inhibitory factor,Tnfrsf11b,Ocif,Opg,PDB5,TR1,TNFRSF11B,OCIF,OPG,PDB5
Uniprot ID O00300
免疫原 人Osteoprotegerin重组蛋白
抗体亚型 IgG
纯化方式 亲和纯化
亚细胞定位 分泌型
应用
IHC/IF 免疫组织化学/免疫荧光
物种:小鼠,大鼠
稀释比:1:500-1:1000
阳性样品:骨
背景
Acts as decoy receptor for TNFSF11/RANKL and thereby neutralizes its function in osteoclastogenesis. Inhibits the activation of osteoclasts and promotes osteoclast apoptosis in vitro. Bone homeostasis seems to depend on the local ratio between TNFSF11 and TNFRSF11B. May also play a role in preventing arterial calcification. May act as decoy receptor for TNFSF10/TRAIL and protect against apoptosis. TNFSF10/TRAIL binding blocks the inhibition of osteoclastogenesis.
储存条件
储存条件:储存条件在:-20℃下储存一年, 避免反复冻融.
储存缓冲液:含0.15% ProClin300防腐剂, 100 μg/mL牛血清白蛋白和50%甘油的磷酸盐缓冲液.
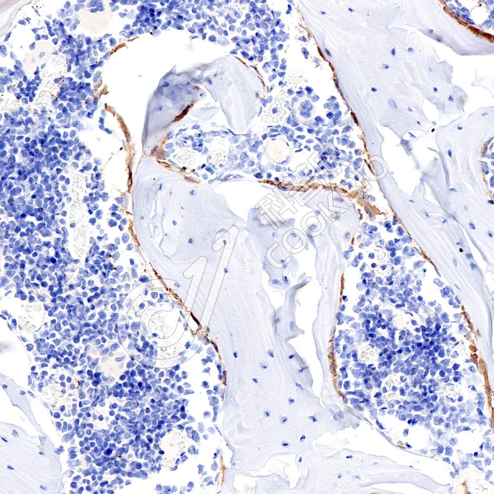
图像
IHC检测Osteoprotegerin蛋白(货号 K1347118).
样品: 小鼠骨, 4%多聚甲醛 (货号KSG1101) 固定12-24小时.
抗原修复: 柠檬酸抗原修复液(干粉, pH 6.0) (KSG1201), 95℃, 20分钟.
—抗: 1: 800稀释, 4℃ 孵育过夜.
二抗: S-vision免疫组化多聚二抗(山羊抗兔),即用型 (货号KB3906), 室温孵育20分钟.
IHC检测Osteoprotegerin蛋白(货号 K1347118).
样品: 大鼠骨, 4%多聚甲醛 (货号KSG1101) 固定12-24小时.
抗原修复: 柠檬酸抗原修复液(干粉, pH 6.0) (KSG1201), 95℃, 20分钟.
—抗: 1: 800稀释, 4℃ 孵育过夜.
二抗: S-vision免疫组化多聚二抗(山羊抗兔),即用型 (货号KB3906), 室温孵育20分钟.

需要技术支持?

如果您有任何问题或如果您在实验过程中遇到问题,或需要更详细的技术指导,请联系我们的技术支持团队
电话 400-6027-270

联系我们

如果您对我们的公司或产品有任何疑问,欢迎随时联系我们