tel 400-6027-270
Main Image
Anti-RUNX2 小鼠单克隆抗体
¥1900
加入对比
货号: K2376893-100
亚细胞定位: 细胞核
别名: AML3,CBF alpha 1,CBFA1,CCD,CCD1,Oncogene AML 3,OSF 2,OSF2,PEA2 alpha A,PEA2aA,PEBP2 alpha A,PEBP2A,PEBP2A1,PEBP2A2,PEBP2aA,PEBP2aA1,RUNX2
应用 | 种属
IHC/IF H,M,R
规格:
产品信息
蛋白质全称 Runt相关转录因子2
别名 AML3,CBF alpha 1,CBFA1,CCD,CCD1,Oncogene AML 3,OSF 2,OSF2,PEA2 alpha A,PEA2aA,PEBP2 alpha A,PEBP2A,PEBP2A1,PEBP2A2,PEBP2aA,PEBP2aA1,RUNX2
Uniprot ID Q08775
免疫原 小鼠RUNX2重组蛋白
抗体亚型 IgG1, κ
克隆号 7B4A8
纯化方式 亲和纯化
亚细胞定位 细胞核
应用
IHC/IF 免疫组织化学/免疫荧光
物种:人,小鼠,大鼠
稀释比:1:500-1:1500
阳性样品:骨, 扁桃体
背景
Transcription factor involved in osteoblastic differentiation and skeletal morphogenesis.Essential for the maturation of osteoblasts and both intramembranous and endochondral ossification.CBF binds to the core site, 5'-PYGPYGGT-3', of a number of enhancers and promoters, including murine leukemia virus, polyomavirus enhancer, T-cell receptor enhancers, osteocalcin, osteopontin, bone sialoprotein, alpha 1(I) collagen, LCK, IL-3 and GM-CSF promoters.In osteoblasts, supports transcription activation: synergizes with SPEN/MINT to enhance FGFR2-mediated activation of the osteocalcin FGF-responsive element (OCFRE).Inhibits KAT6B-dependent transcriptional activation.
储存条件
储存条件:储存条件在:-20℃下储存一年, 避免反复冻融.
储存缓冲液:含0.15% ProClin300防腐剂, 100 μg/mL牛血清白蛋白和50%甘油的磷酸盐缓冲液.
图像
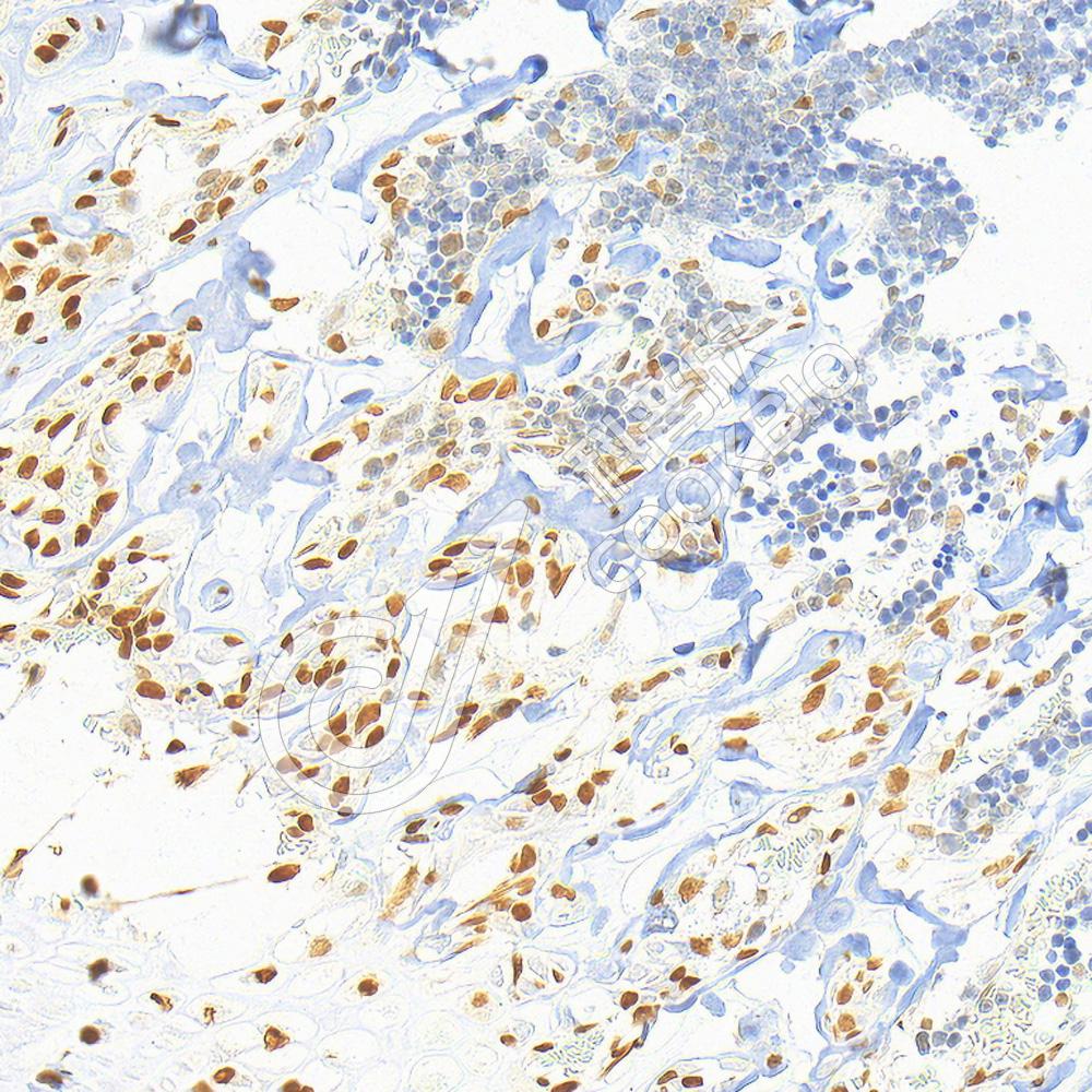
IHC检测RUNX2蛋白(货号 K2376893).
样品: 人扁桃体, 4%多聚甲醛 (货号KSG1101) 固定12-24小时.
抗原修复: 柠檬酸抗原修复液(干粉, pH 6.0) (KSG1201), 高压锅均匀喷气计时2分钟.
—抗: 1: 1000稀释, 4℃ 孵育过夜.
二抗: S-vision免疫组化多聚二抗(山羊抗小鼠), 即用型(货号KB3903), 室温孵育20分钟.
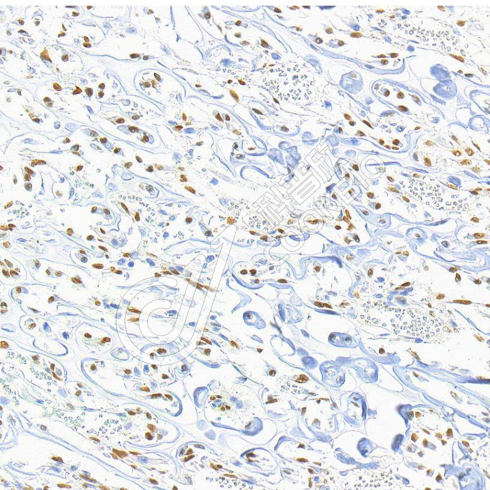
IHC检测RUNX2蛋白(货号 K2376893).
样品: 小鼠骨, 4%多聚甲醛 (货号KSG1101) 固定12-24小时.
抗原修复: 柠檬酸抗原修复液(干粉, pH 6.0) (KSG1201), 高压锅均匀喷气计时2分钟.
—抗: 1: 1000稀释, 4℃ 孵育过夜.
二抗: S-vision免疫组化多聚二抗(山羊抗小鼠), 即用型(货号KB3903), 室温孵育20分钟.
IHC检测RUNX2蛋白(货号 K2376893).
样品: 大鼠骨, 4%多聚甲醛 (货号KSG1101) 固定12-24小时.
抗原修复: 柠檬酸抗原修复液(干粉, pH 6.0) (KSG1201), 高压锅均匀喷气计时2分钟.
—抗: 1: 1000稀释, 4℃ 孵育过夜.
二抗: S-vision免疫组化多聚二抗(山羊抗小鼠), 即用型(货号KB3903), 室温孵育20分钟.

需要技术支持?

如果您有任何问题或如果您在实验过程中遇到问题,或需要更详细的技术指导,请联系我们的技术支持团队
电话 400-6027-270

联系我们

如果您对我们的公司或产品有任何疑问,欢迎随时联系我们